Product & ReviewsAntibodies
Filaggrin Polyclonal Antibody, Purified
Product Details
- Cat. No.
- 905801
- Type
- Primary Antibody
- Clonality
- Polyclonal
- Host
- Rabbit

The supplier does not provide quotations for this antibody through SelectScience. You can search for similar antibodies in our Antibody Directory.
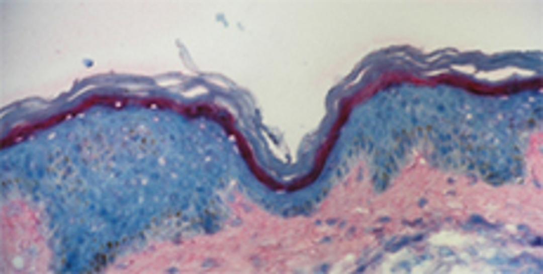
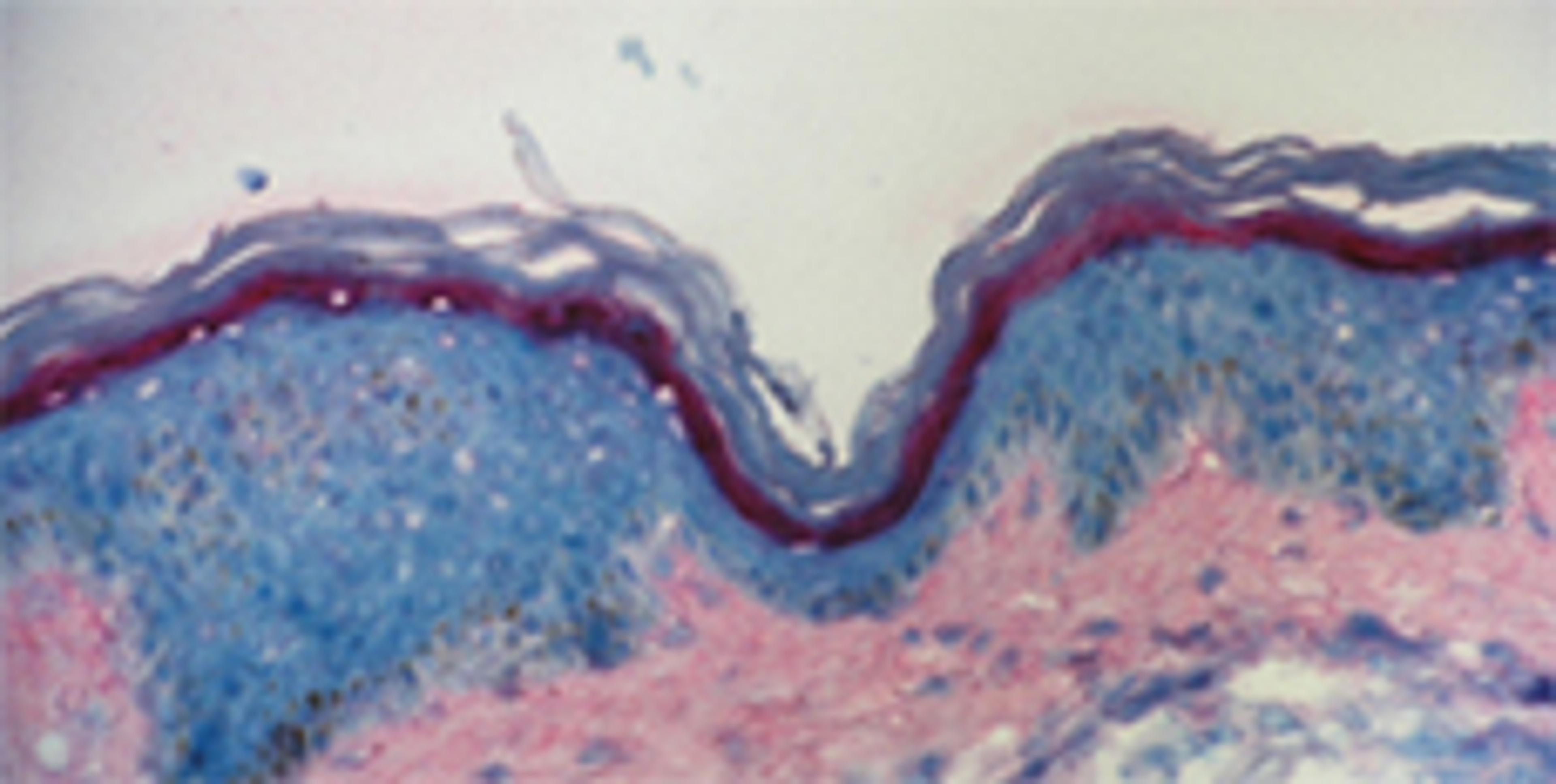
Description
Filaggrin Polyclonal Antibody, Purified; Clone: Poly19058; Reactivity: Human, Mouse, Primate; Apps: IHC; Size: 100 μl
Biological Information
- Clonality: Polyclonal
- Host: Rabbit
- Reactivity: Human, Mouse, Primate
- Clone: Poly19058
- Conjugate: PURE
- Isotype: Rabbit Polyclonal
- Gene: 2312
Handling
- Quantity: 100 microl
- Storage: -20°C
Applications
- Immunohistochemistry (IHC)


