Product & ReviewsAntibodies
ESD Rabbit pAb
Product Details
- Cat. No.
- A6228
- Type
- Primary Antibody
- Clonality
- Polyclonal
- Host
- Rabbit

The supplier does not provide quotations for this antibody through SelectScience. You can search for similar antibodies in our Antibody Directory.
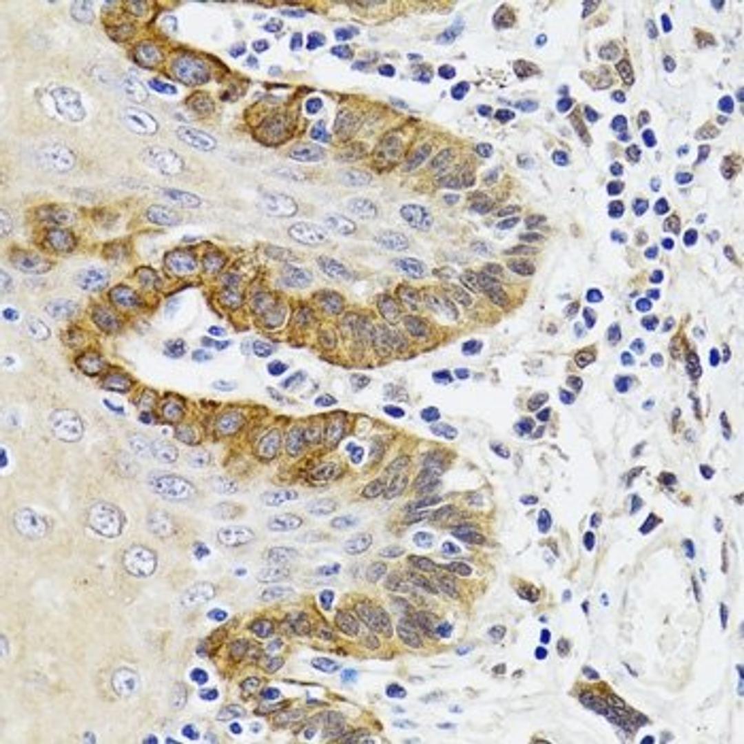
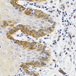
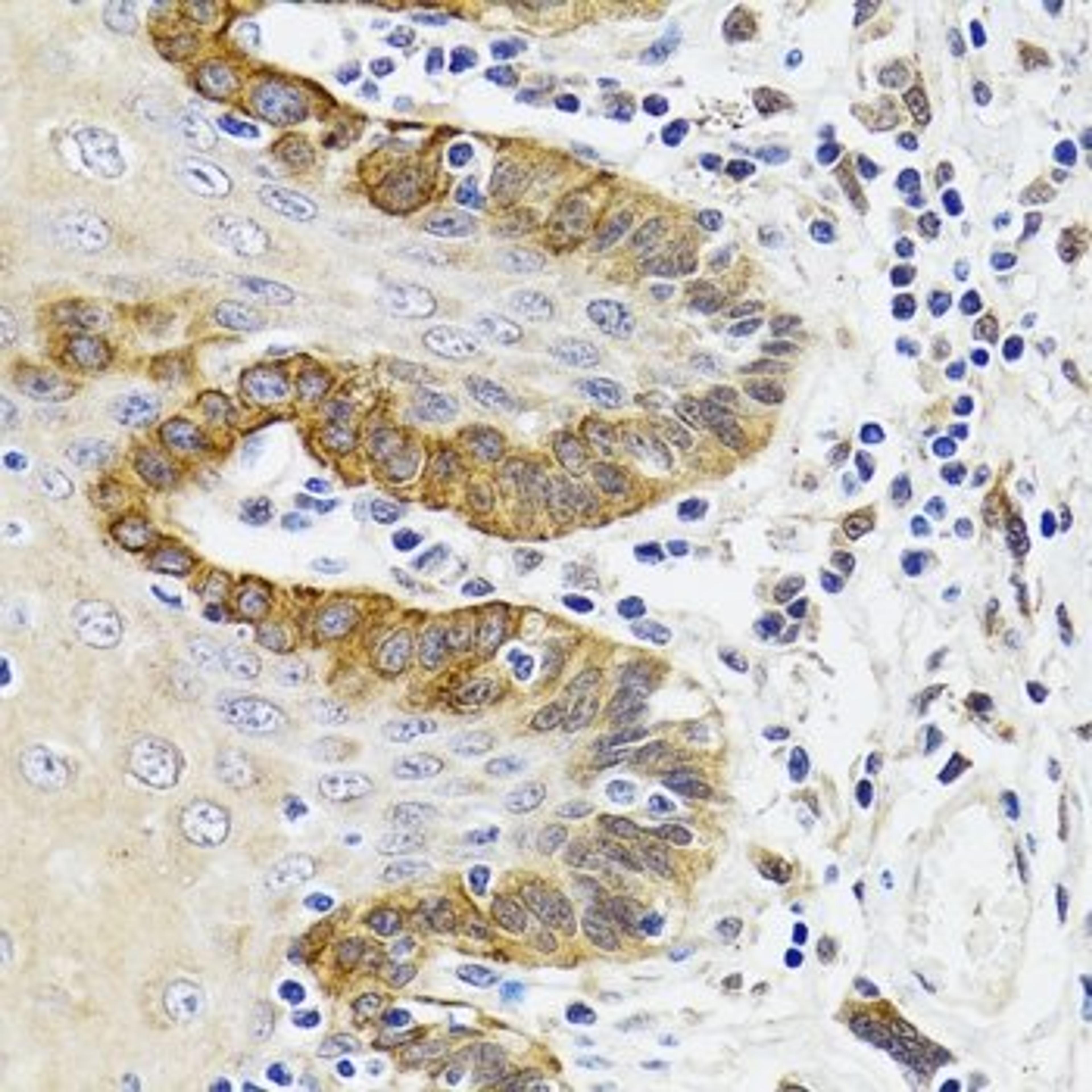
Description
This gene encodes a serine hydrolase that belongs to the esterase D family. The encoded enzyme is active toward numerous substrates including O-acetylated sialic acids, and it may be involved in the recycling of sialic acids. This gene is used as a genetic marker for retinoblastoma and Wilson's disease.
Biological Information
- Clonality: Polyclonal
- Host: Rabbit
- Reactivity: Human, Mouse


