Product & ReviewsAntibodies
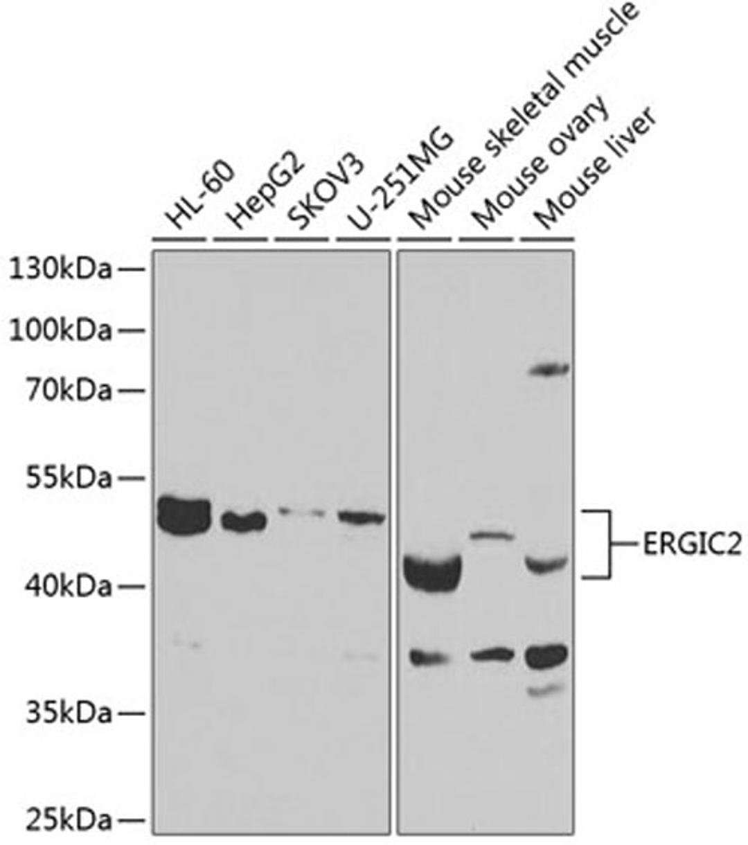
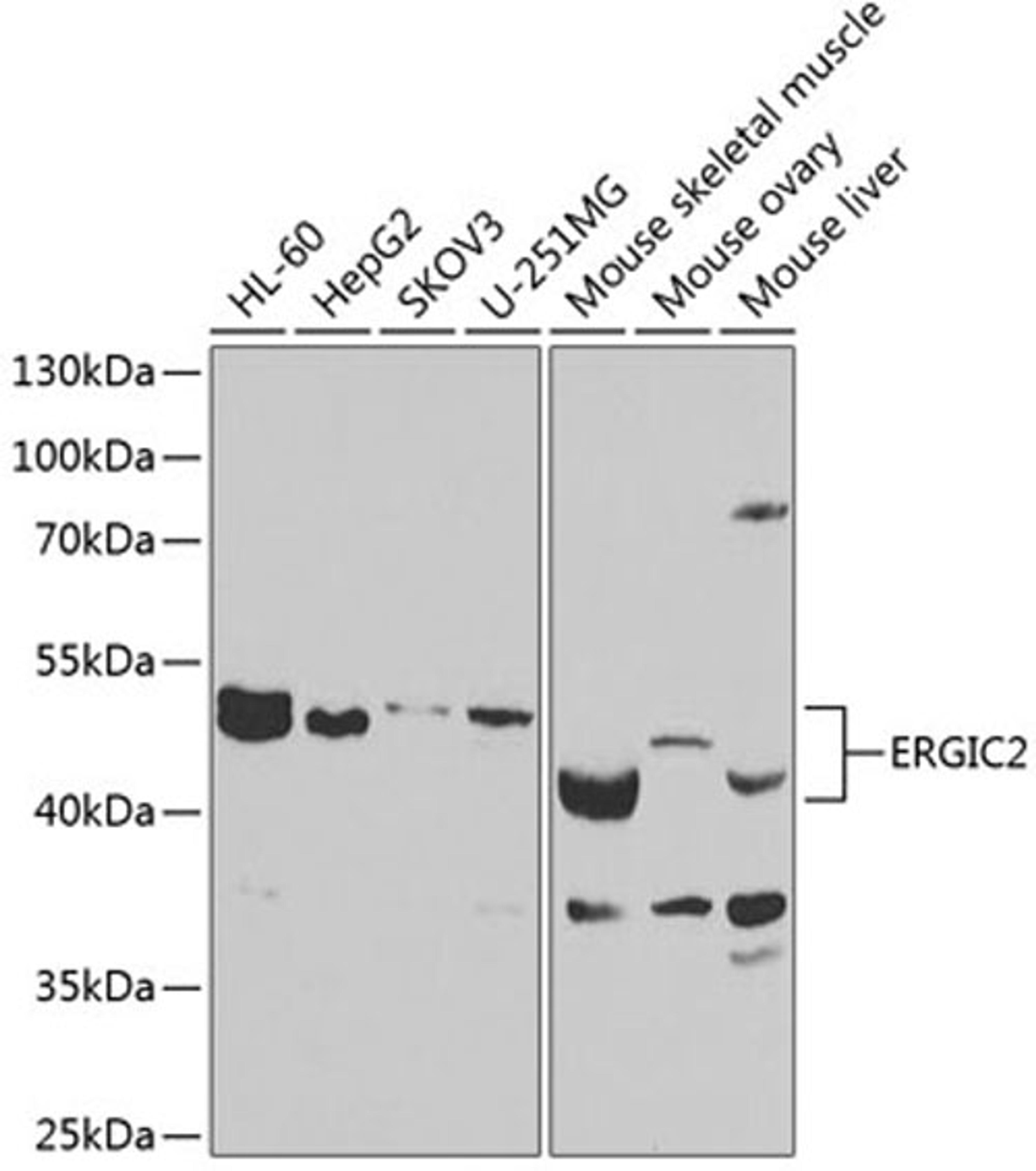
ERGIC2 Rabbit pAb
Product Details
- Cat. No.
- A7369
- Type
- Primary Antibody
- Clonality
- Polyclonal
- Host
- Rabbit

The supplier does not provide quotations for this antibody through SelectScience. You can search for similar antibodies in our Antibody Directory.
Description
ERGIC2, or PTX1, is a ubiquitously expressed nuclear protein that is downregulated in prostate carcinoma (Kwok et al., 2001 [PubMed 11445006]).[supplied by OMIM, Aug 2008]
Biological Information
- Clonality: Polyclonal
- Host: Rabbit
- Reactivity: Human, Mouse


