Product & ReviewsAntibodies
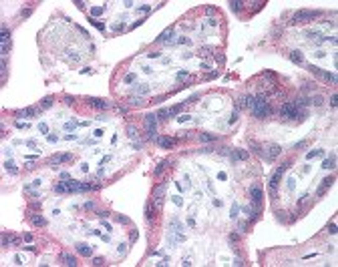
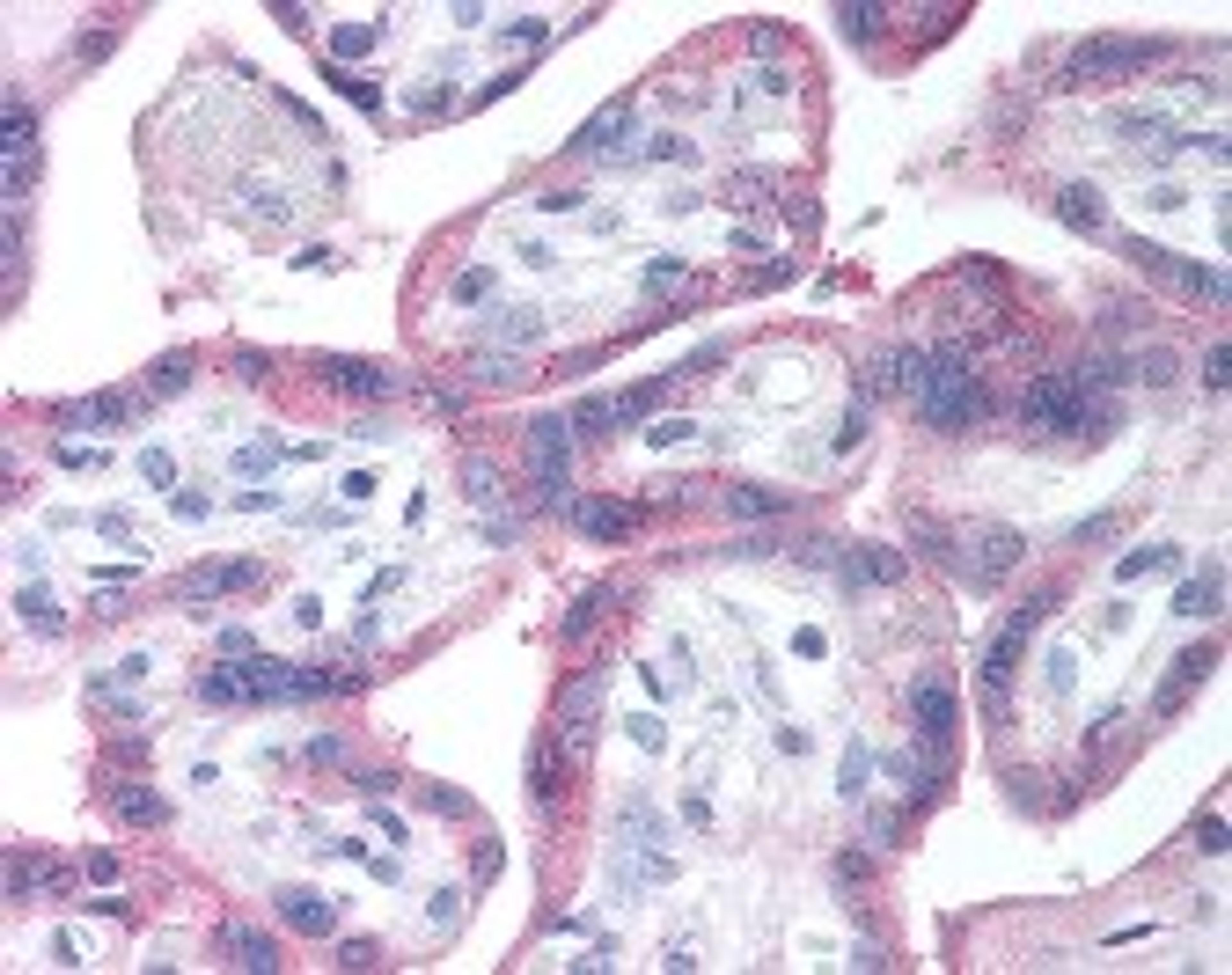
EGF Receptor Antibody
Product Details
- Cat. No.
- 49-546
- Type
- Primary Antibody
- Clonality
- Polyclonal
- Host
- Rabbit

The supplier does not provide quotations for this antibody through SelectScience. You can search for similar antibodies in our Antibody Directory.
Biological Information
- Clonality: Polyclonal
- Host: Rabbit
- Reactivity: Human, Mouse, Rat
- Antigen: EGFR
- Gene: 1956
Handling
- Quantity: 0.05 mg
- Storage: Store EGF Receptor antibody at 4 °C or -20 °C. As with all antibodies avoid freeze/thaw cycles.
- Buffer: 0.02 M potassium phosphate, 0.15 M sodium chloride, pH 7.2, 0.01% sodium azide.
Applications
- ELISA (ELISA)
- Immunohistochemistry (IHC)
- Western Blotting (WB)


