Product & ReviewsAntibodies
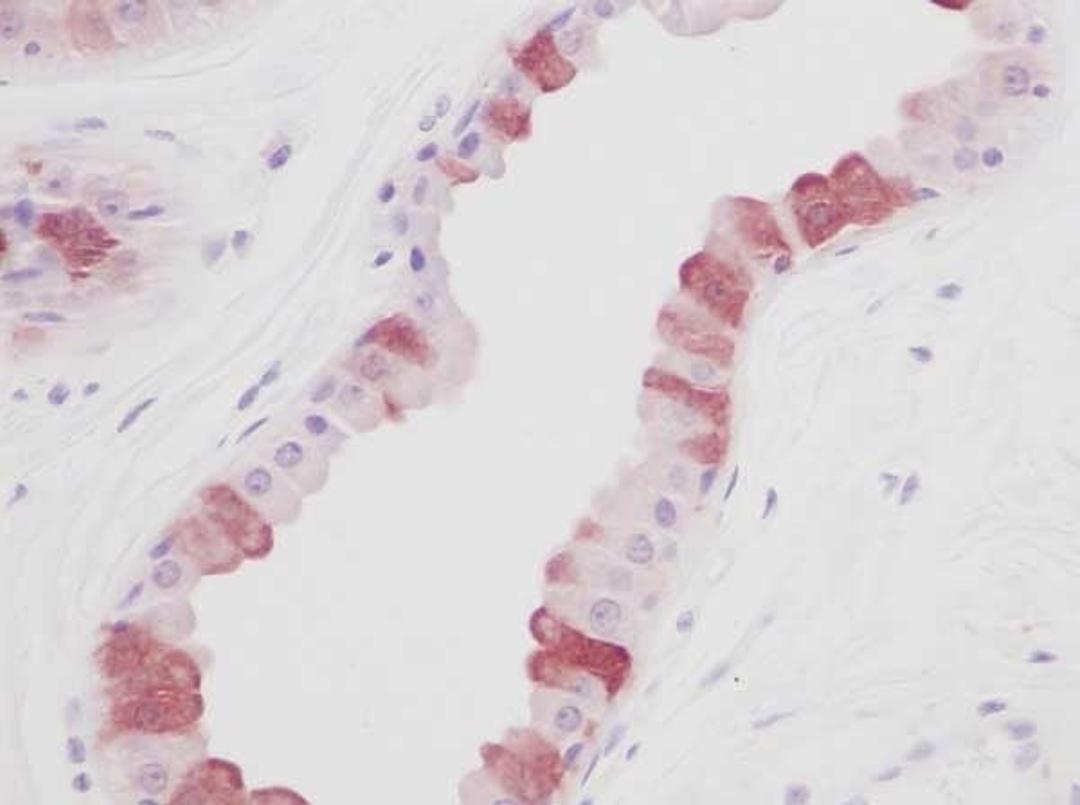
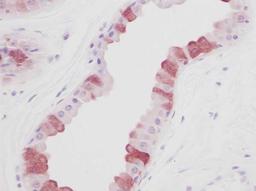
EGF
Product Details
- Cat. No.
- AHP767B
- Type
- Primary Antibody
- Clonality
- Polyclonal
- Host
- Rabbit

The supplier does not provide quotations for this antibody through SelectScience. You can search for similar antibodies in our Antibody Directory.
Description
RABBIT ANTI HUMAN EGF:BIOTIN
Biological Information
- Clonality: Polyclonal
- Host: Rabbit
- Conjugate: Biotin
Handling
- Quantity: 50 µg


