Product & ReviewsAntibodies
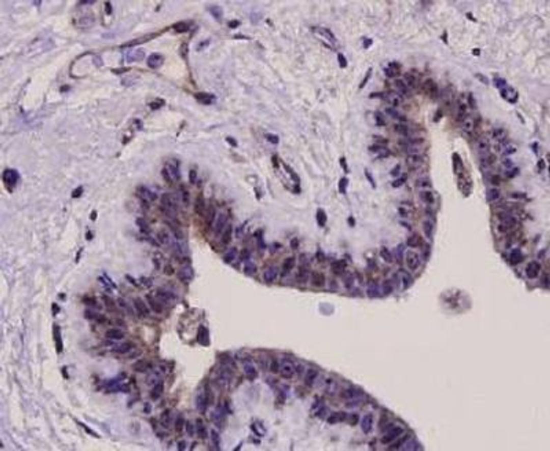
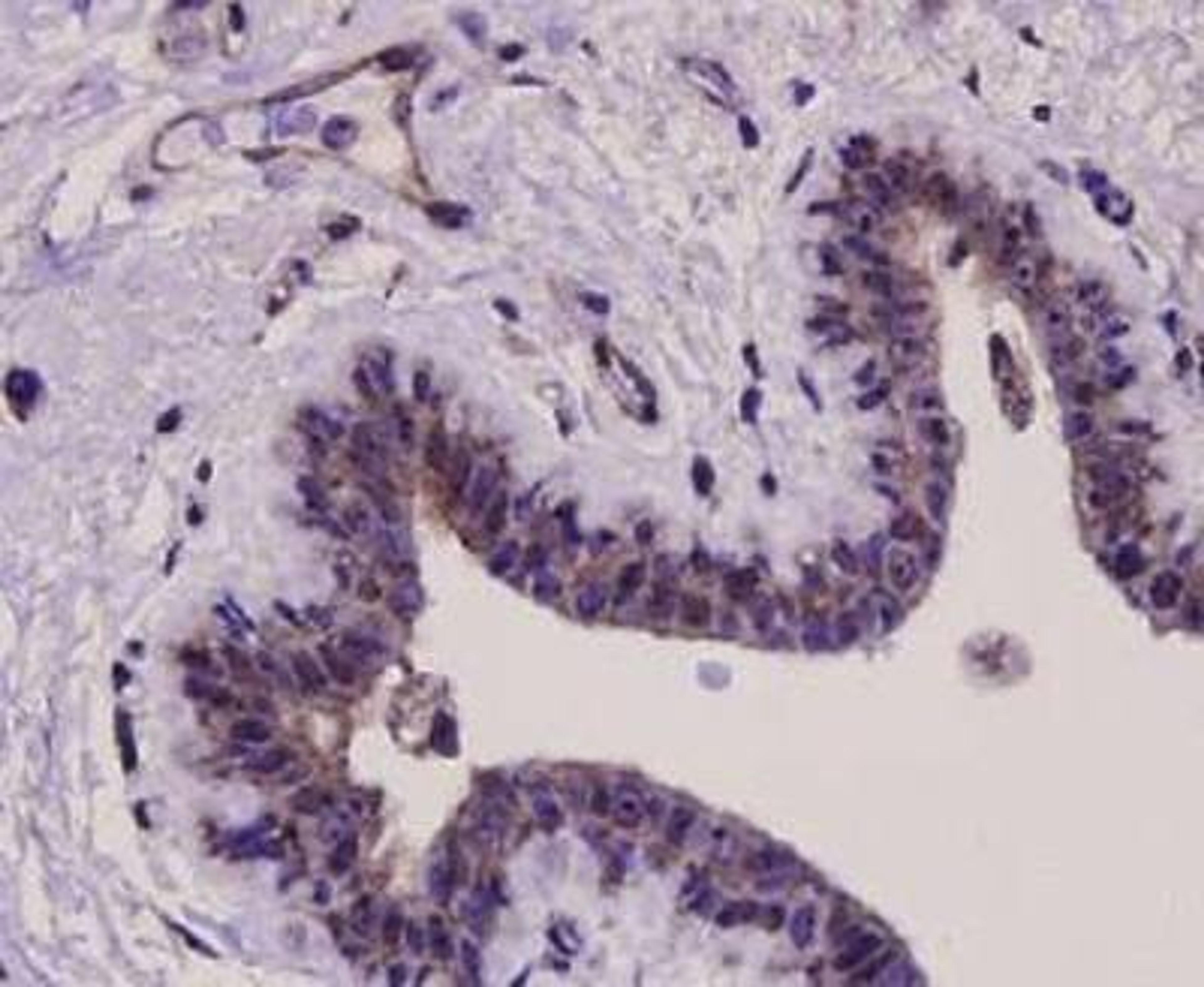
E-Cadherin antibody
Product Details
- Cat. No.
- orb378741
- Type
- Primary Antibody
- Clonality
- Polyclonal
- Host
- Mouse

The supplier does not provide quotations for this antibody through SelectScience. You can search for similar antibodies in our Antibody Directory.
Description
Mouse monoclonal antibody to E-Cadherin
Biological Information
- Clonality: Polyclonal
- Host: Mouse
- Reactivity: Human
- Clone: A0-G11
- Isotype: IgG1
Handling
- Quantity: 100 µg
- Storage: Store at 4°C for up to two weeks. For long term storage, aliquot and store at -20°C, avoid freeze/thaw cycles.
- Buffer: PBS
Applications
- Flow Cytometry (FC)
- Immunofluorescence (Paraffin-Embedded Sections) (IF (P))
- Immunohistochemistry (Paraffin-Embedded Sections) (IHC (P))
- Western Blotting (WB)


