Product & ReviewsAntibodies
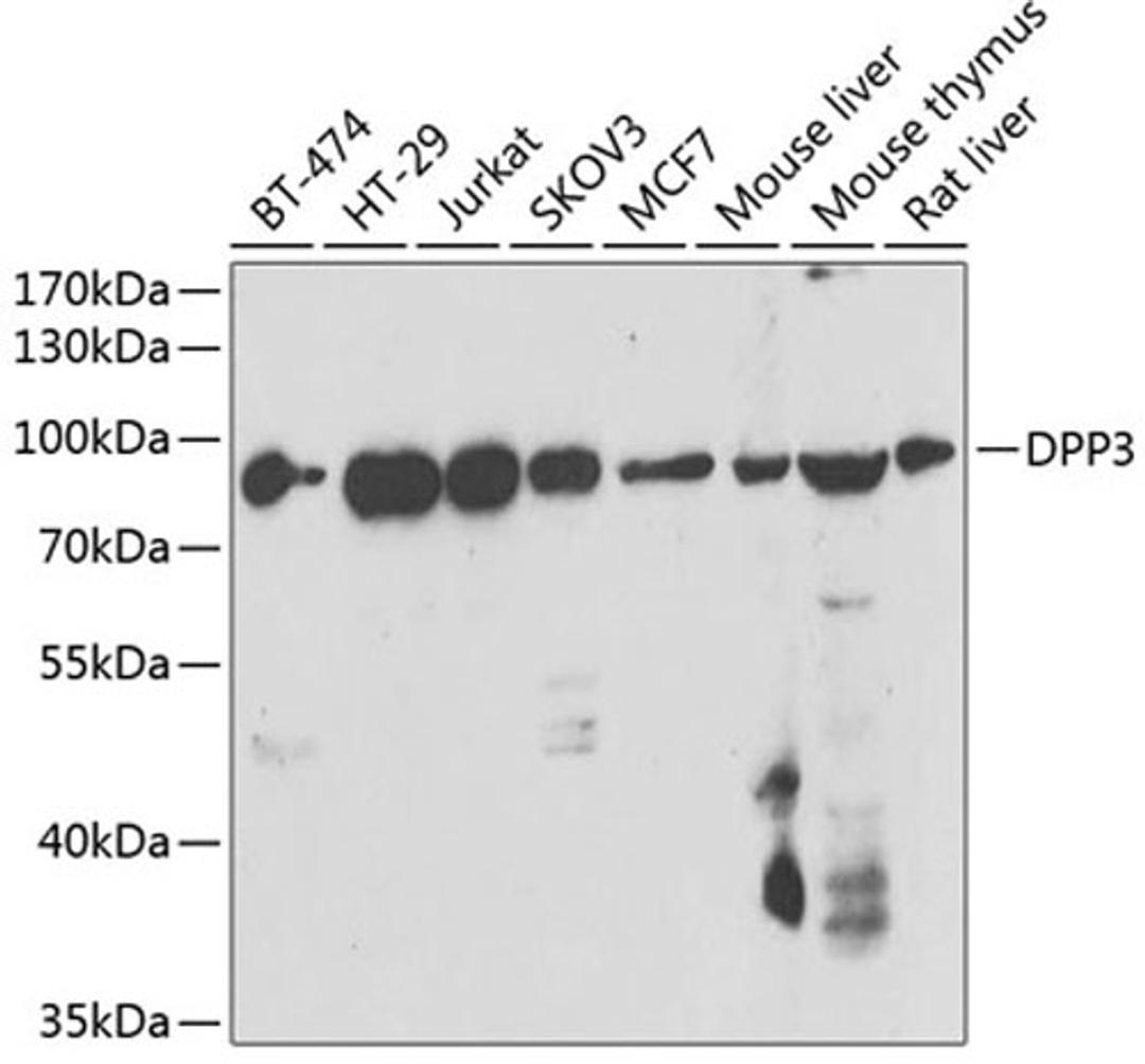
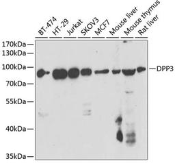
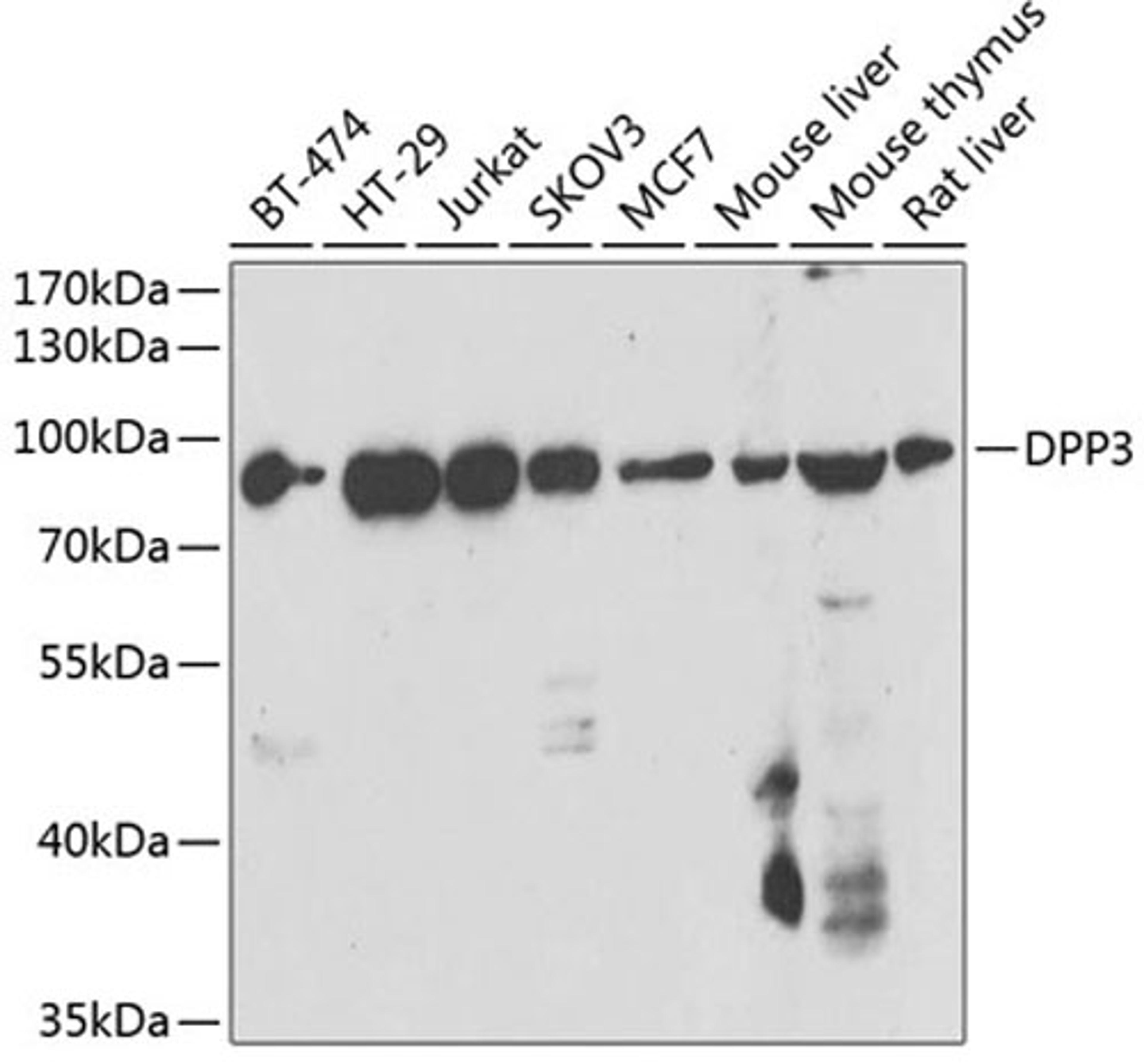
DPP3 Rabbit pAb
Product Details
- Cat. No.
- A7054
- Type
- Primary Antibody
- Clonality
- Polyclonal
- Host
- Rabbit

The supplier does not provide quotations for this antibody through SelectScience. You can search for similar antibodies in our Antibody Directory.
Description
This gene encodes a protein that is a member of the M49 family of metallopeptidases. This cytoplasmic protein binds a single zinc ion with its zinc-binding motif (HELLGH) and has post-proline dipeptidyl aminopeptidase activity, cleaving Xaa-Pro dipeptides from the N-termini of proteins. Increased activity of this protein is associated with endometrial and ovarian cancers. Alternatively spliced transcript variants have been found for this gene.
Biological Information
- Clonality: Polyclonal
- Host: Rabbit
- Reactivity: Human, Mouse, Rat


