Product & ReviewsAntibodies
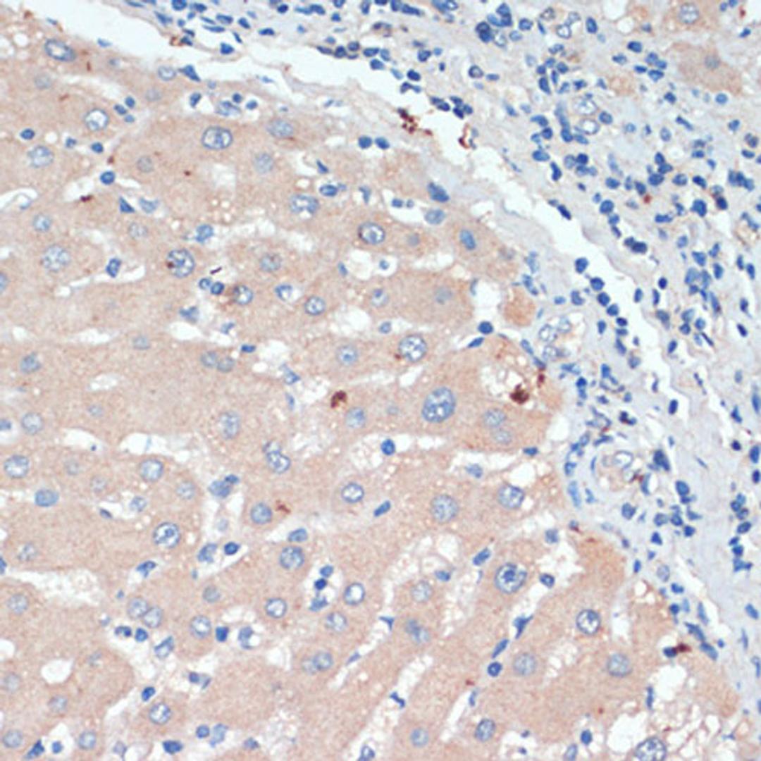
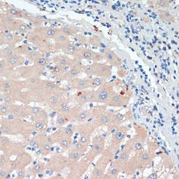
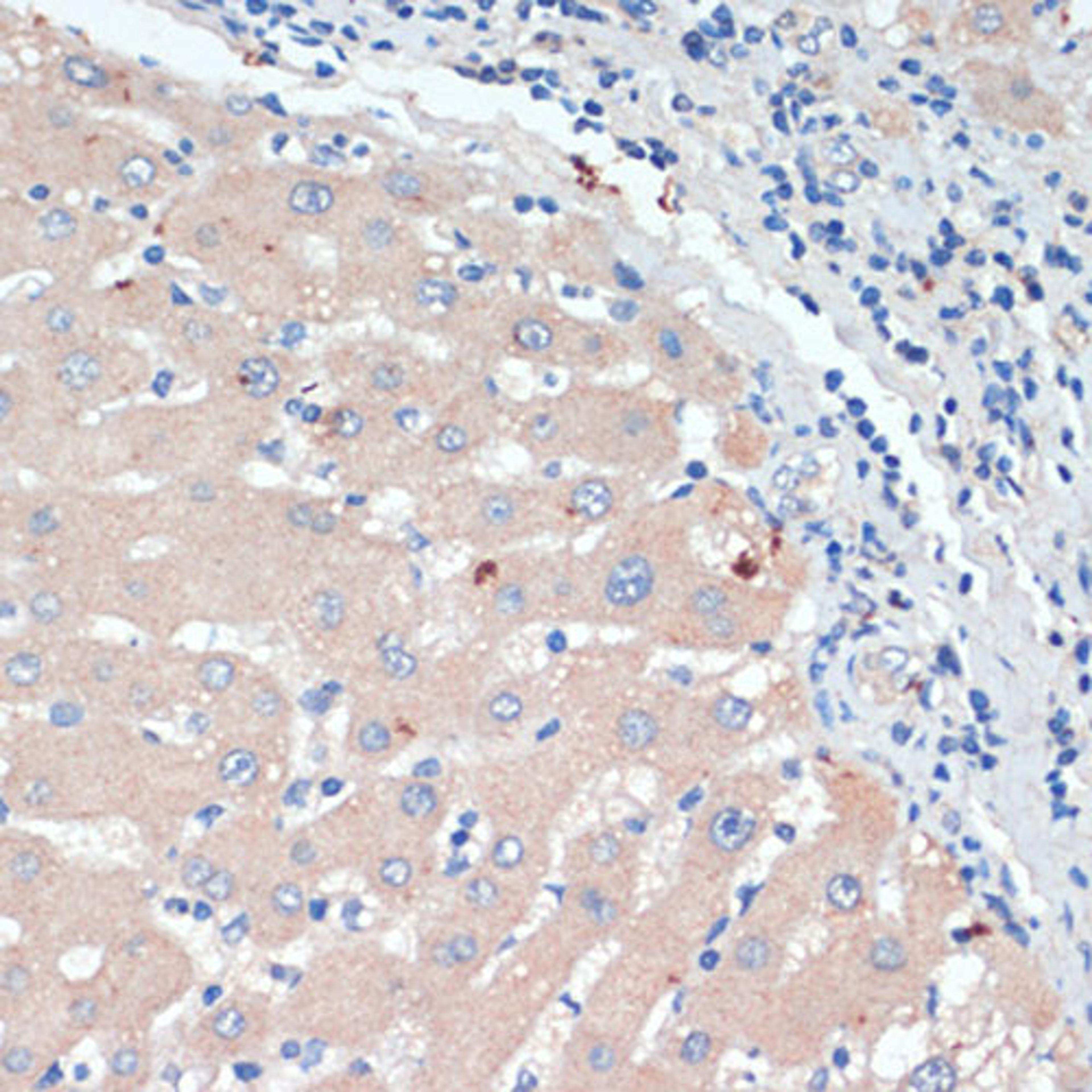
DBH Rabbit pAb
Product Details
- Cat. No.
- A13971
- Type
- Primary Antibody
- Clonality
- Polyclonal
- Host
- Rabbit

The supplier does not provide quotations for this antibody through SelectScience. You can search for similar antibodies in our Antibody Directory.
Description
The protein encoded by this gene is an oxidoreductase belonging to the copper type II, ascorbate-dependent monooxygenase family. It is present in the synaptic vesicles of postganglionic sympathetic neurons and converts dopamine to norepinephrine. It exists in both soluble and membrane-bound forms, depending on the absence or presence, respectively, of a signal peptide.
Biological Information
- Clonality: Polyclonal
- Host: Rabbit
- Reactivity: Human, Mouse, Rat


