Product & ReviewsAntibodies
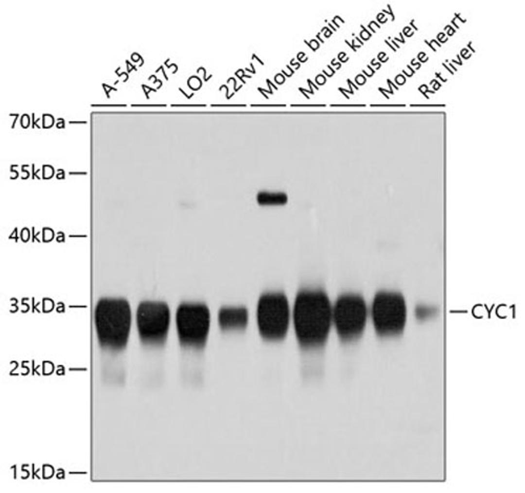
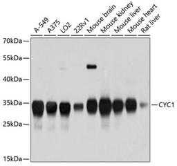
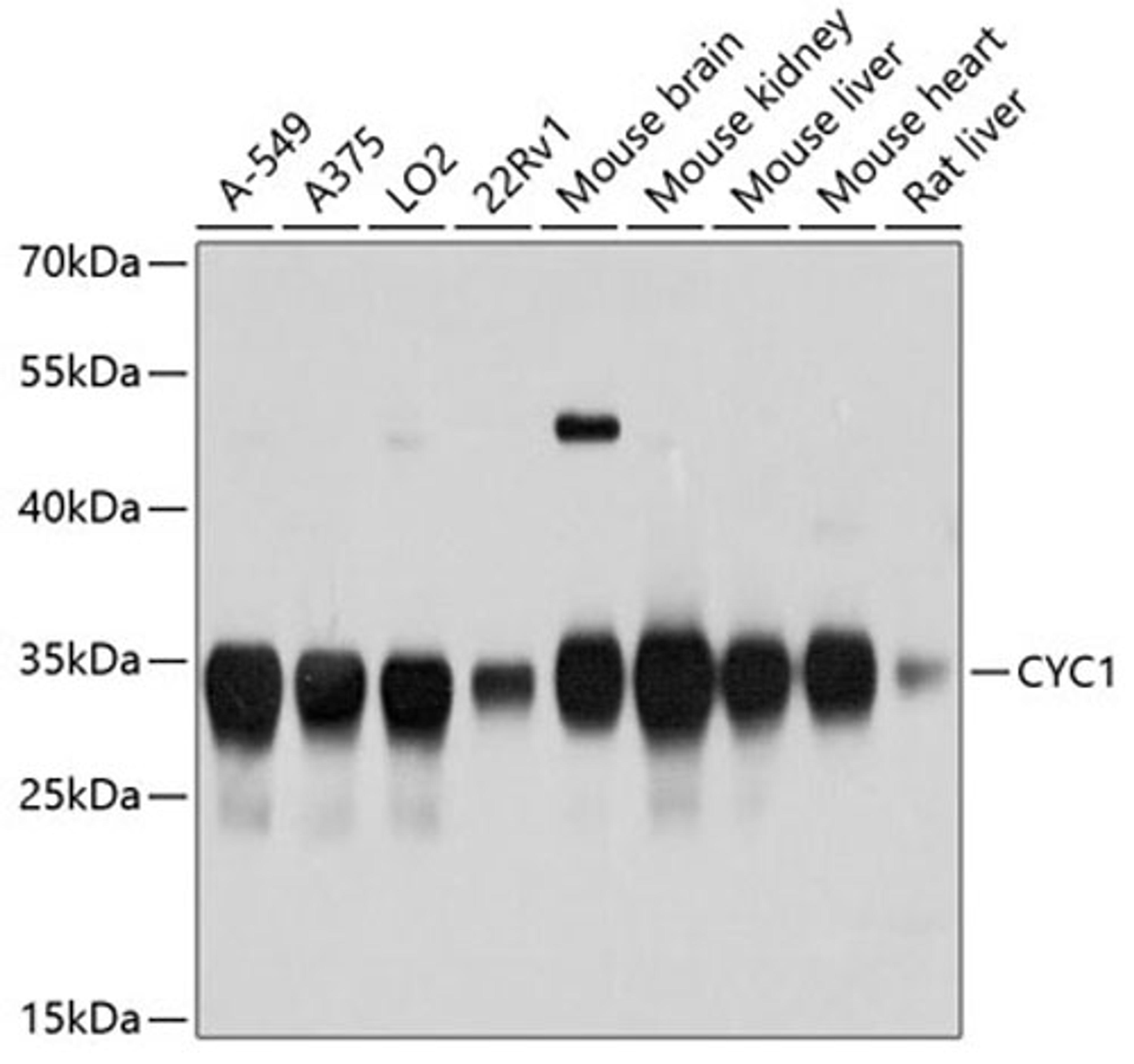
CYC1 Rabbit pAb
Product Details
- Cat. No.
- A10449
- Type
- Primary Antibody
- Clonality
- Polyclonal
- Host
- Rabbit

The supplier does not provide quotations for this antibody through SelectScience. You can search for similar antibodies in our Antibody Directory.
Description
This gene encodes a subunit of the cytochrome bc1 complex, which plays an important role in the mitochondrial respiratory chain by transferring electrons from the Rieske iron-sulfur protein to cytochrome c. Mutations in this gene may cause mitochondrial complex III deficiency, nuclear type 6.
Biological Information
- Clonality: Polyclonal
- Host: Rabbit
- Reactivity: Human, Mouse, Rat


