Product & ReviewsAntibodies
CSK
Product Details
- Cat. No.
- AHP733
- Type
- Primary Antibody
- Clonality
- Polyclonal
- Host
- Goat

The supplier does not provide quotations for this antibody through SelectScience. You can search for similar antibodies in our Antibody Directory.
Description
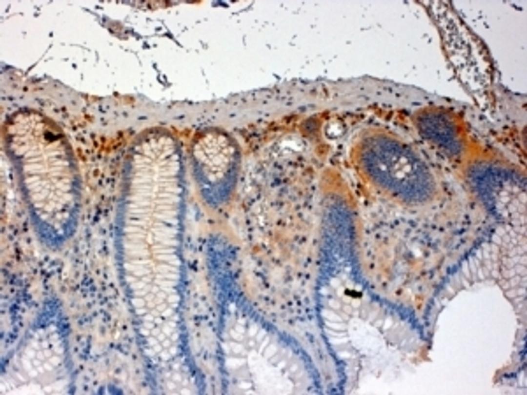
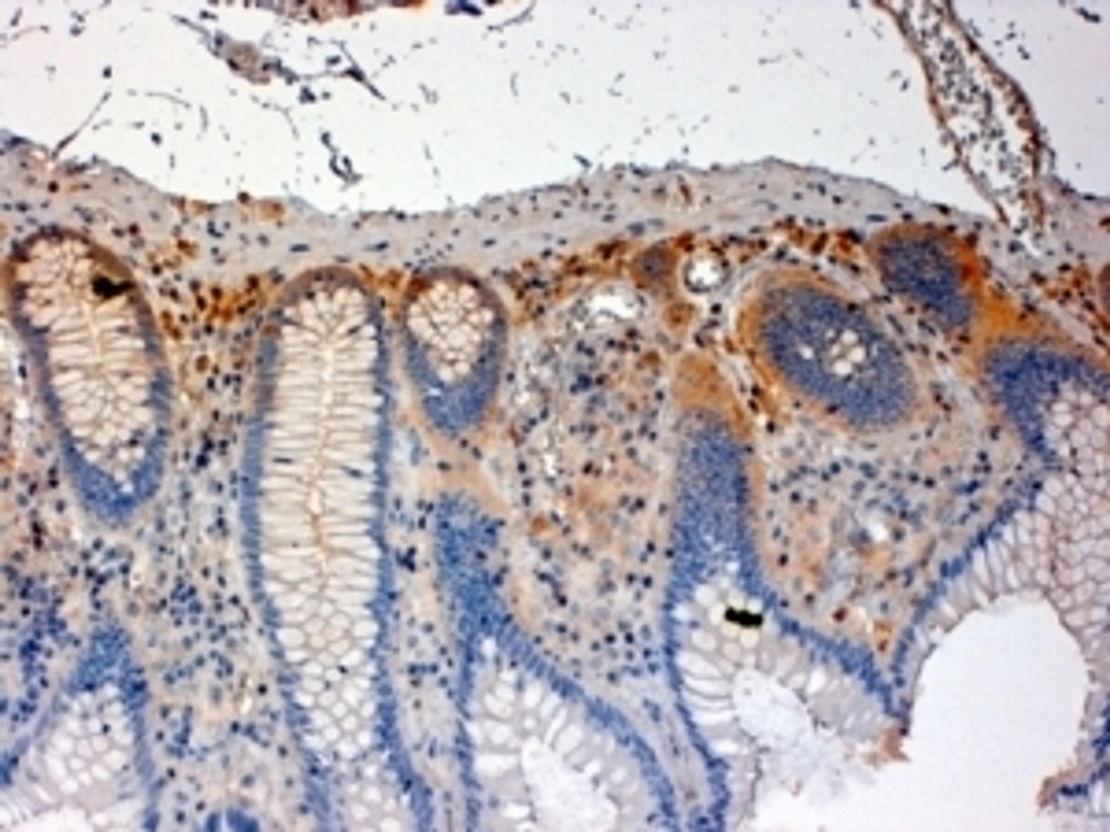
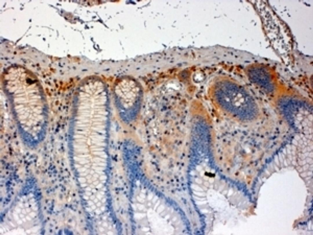
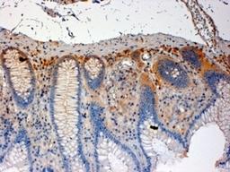
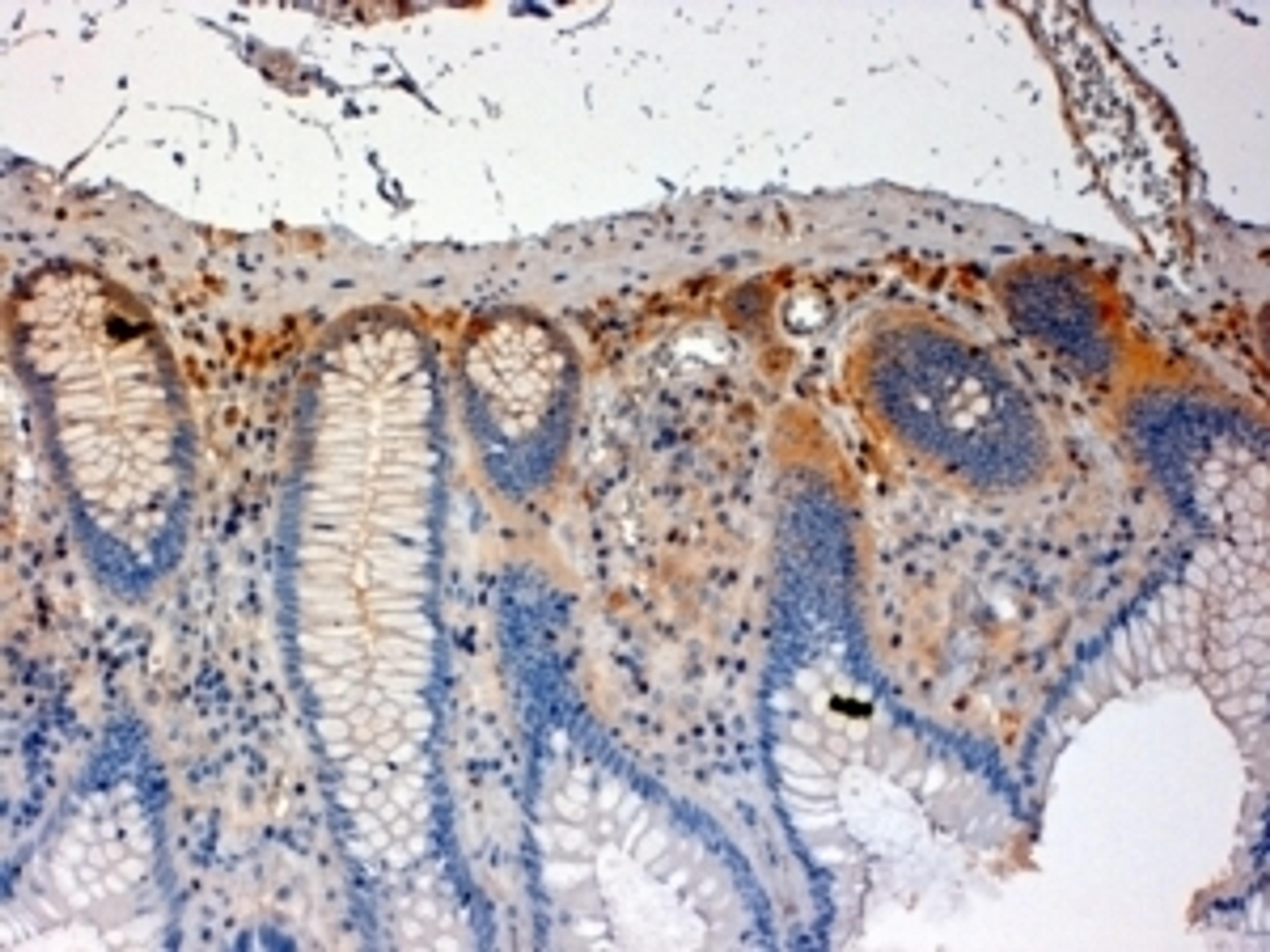
GOAT ANTI HUMAN CSK (C-TERMINAL)
Biological Information
- Clonality: Polyclonal
- Host: Goat
- Reactivity: Human
Handling
- Quantity: 0.1 mg
Applications
- ELISA (ELISA)
- Immunohistochemistry (Paraffin-Embedded Sections) (IHC (P))
- Western Blotting (WB)


