Product & ReviewsAntibodies
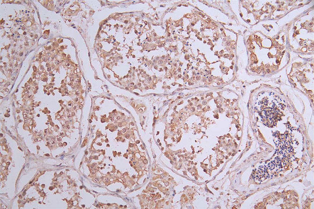
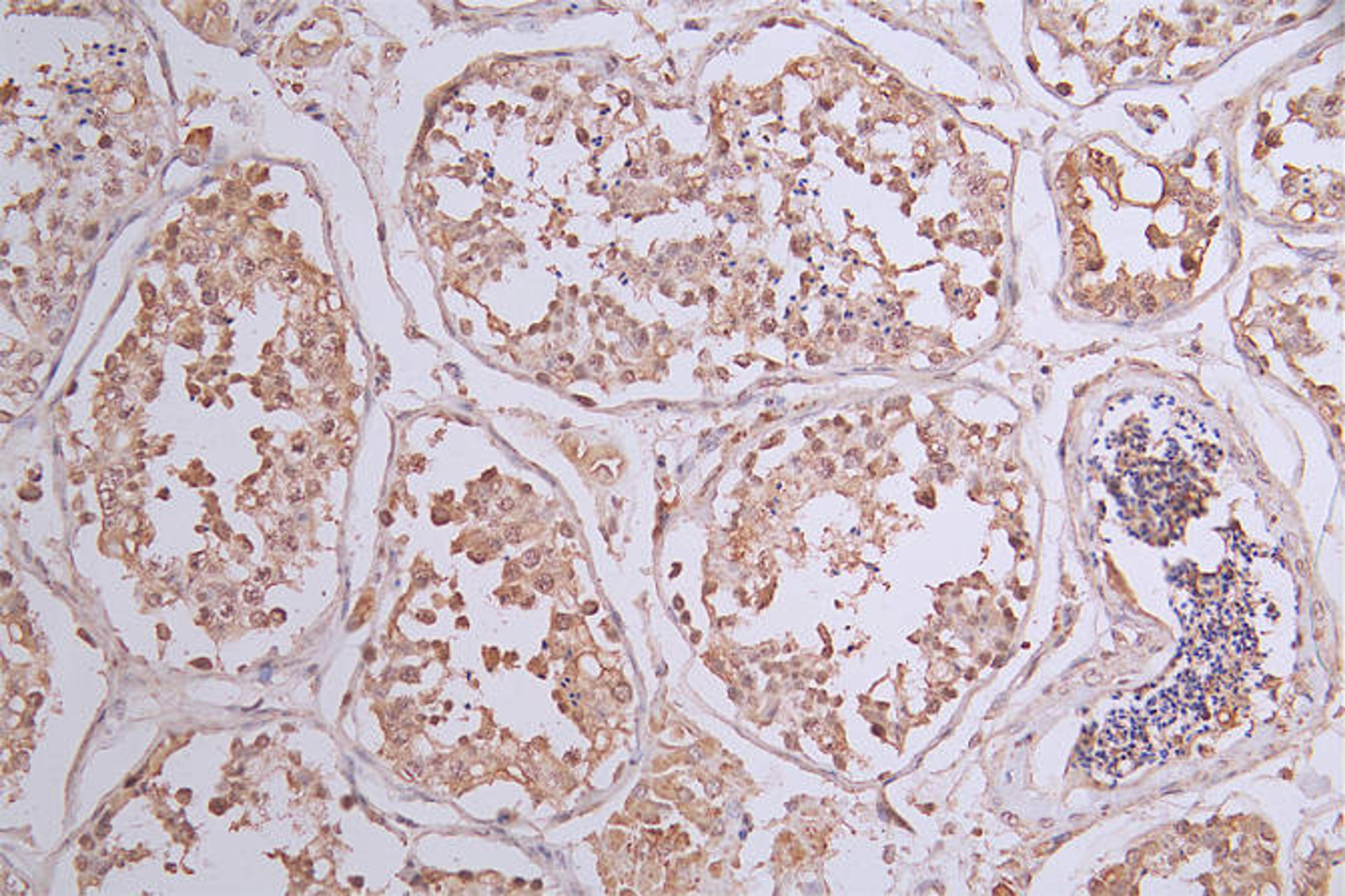
Phospho-ERBB2 (Y1139) Recombinant Monoclonal Antibody
Product Details
- Cat. No.
- CSB-RA588766A0HU
- Type
- Primary Antibody
- Clonality
- Monoclonal

The supplier does not provide quotations for this antibody through SelectScience. You can search for similar antibodies in our Antibody Directory.
Biological Information
- Clonality: Monoclonal
- Reactivity: Human
- Antigen: A synthesized peptide derived from Human ERBB2
- Clone: 10G9
- Conjugate: Non-conjugated
- Isotype: Rabbit IgG
- Modifications: Phosphorylated
- Source: Affinity-chromatography
- Gene: P04626
Handling
- Quantity: 100ul
- Storage: Upon receipt, store at -20°C or -80°C. Avoid repeated freeze.
- Buffer: Rabbit IgG in phosphate buffered saline, pH 7.4, 150mM NaCl, 0.02% sodium azide and 50% glycerol.
Applications
- ELISA (ELISA)
- Immunohistochemistry (IHC)
- Immunofluorescence (IF)


