Product & ReviewsAntibodies
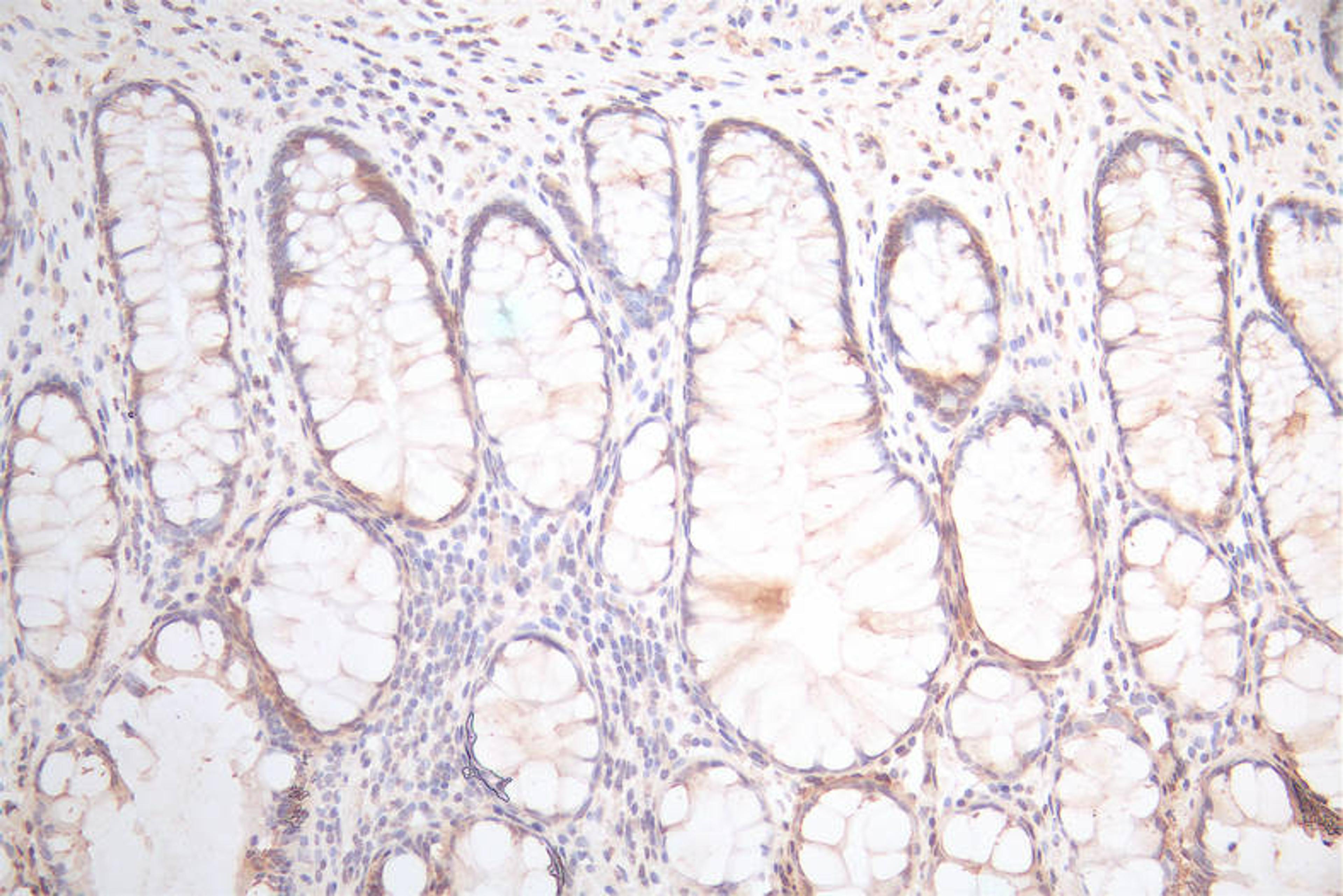
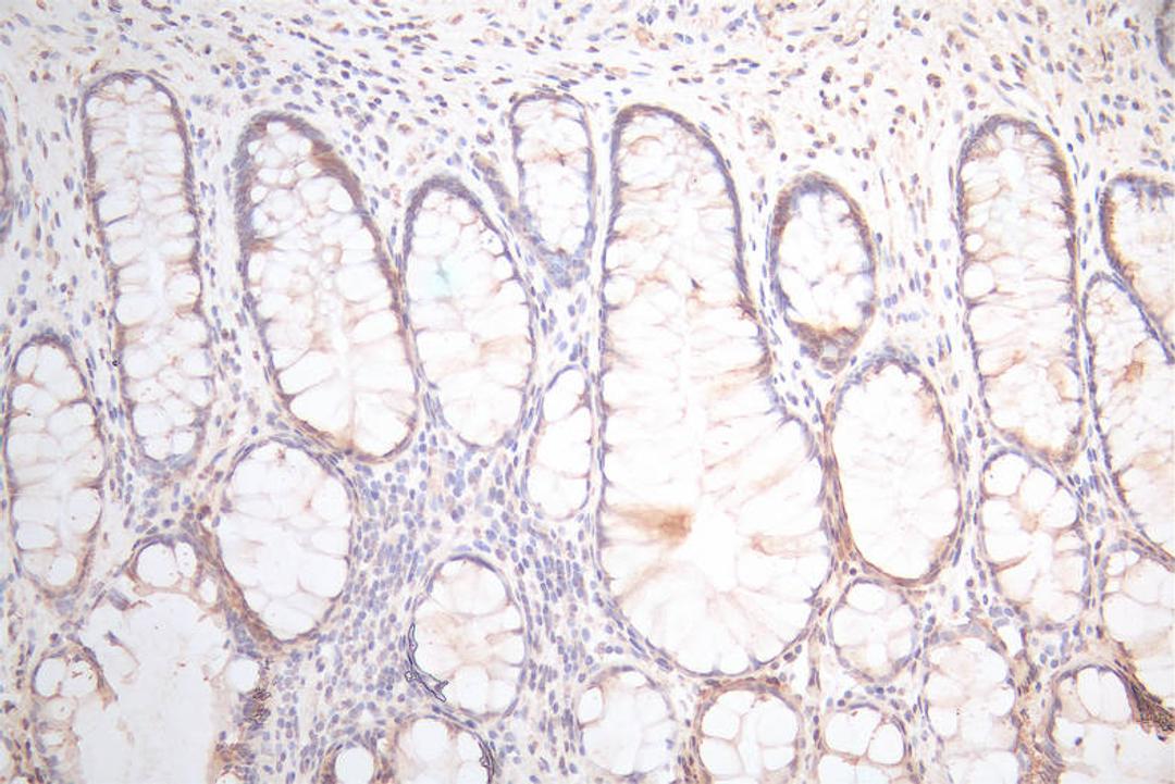
UBE2C Recombinant Monoclonal Antibody
Product Details
- Cat. No.
- CSB-RA025440MA1HU
- Type
- Primary Antibody
- Clonality
- Monoclonal

The supplier does not provide quotations for this antibody through SelectScience. You can search for similar antibodies in our Antibody Directory.
Biological Information
- Clonality: Monoclonal
- Reactivity: Human
- Antigen: Recombinant Human UBE2C protein
- Clone: 22E1
- Conjugate: Non-conjugated
- Isotype: Mouse IgG2a
- Modifications: Non-modification
- Source: Affinity-chromatography
- Gene: O00762
Handling
- Quantity: 100ul
- Storage: Upon receipt, store at -20°C or -80°C. Avoid repeated freeze.
- Buffer: Preservative: 0.03% Proclin 300<br />Constituents: 50% Glycerol, 0.01M PBS, PH 7.4
Applications
- ELISA (ELISA)
- Immunohistochemistry (IHC)
- Flow Cytometry (FC)


