Product & ReviewsAntibodies
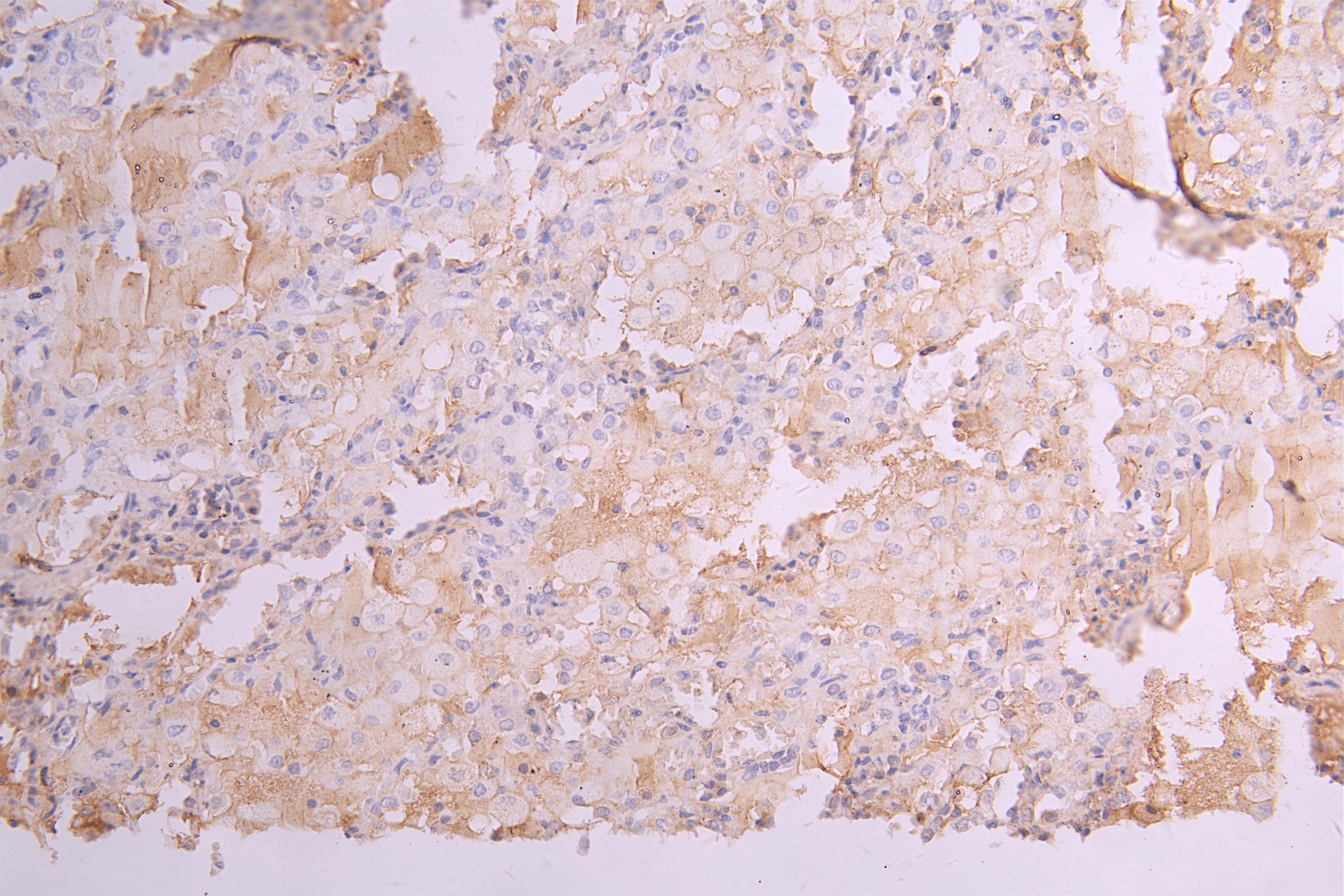
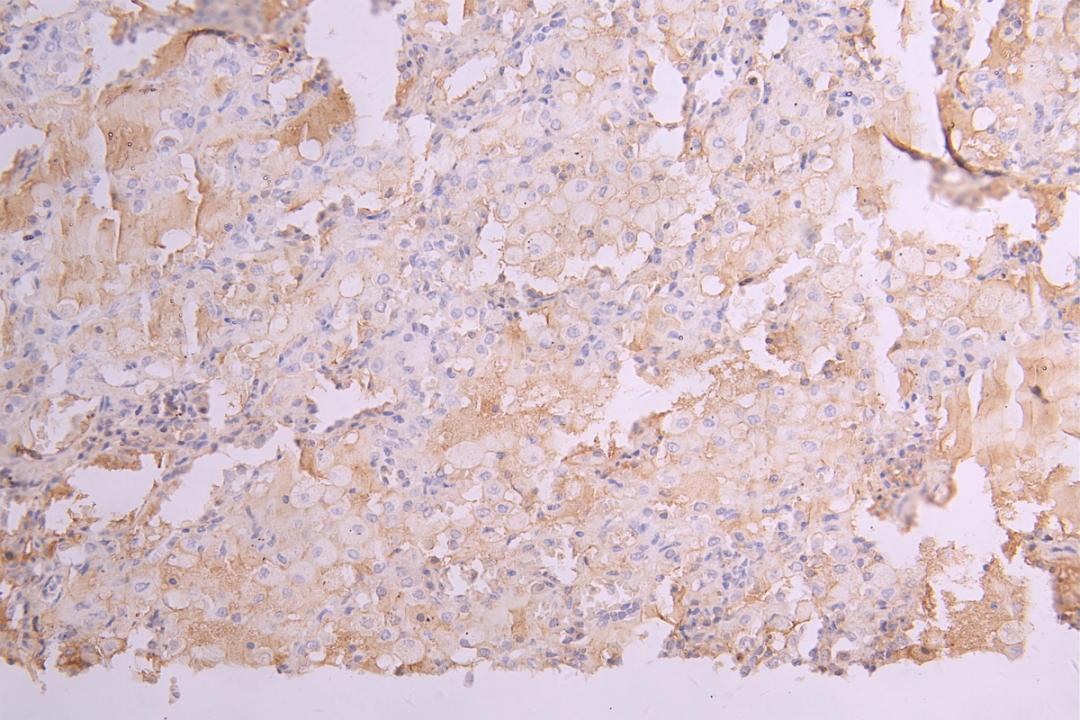
KIR2DL1 Recombinant Monoclonal Antibody
Product Details
- Cat. No.
- CSB-RA012352MA1HU
- Type
- Primary Antibody
- Clonality
- Monoclonal

The supplier does not provide quotations for this antibody through SelectScience. You can search for similar antibodies in our Antibody Directory.
Biological Information
- Clonality: Monoclonal
- Reactivity: Human
- Antigen: Recombinant Human KIR2DL1 protein
- Clone: 2F3
- Conjugate: Non-conjugated
- Isotype: hIgG4(S228P)
- Modifications: Non-modification
- Source: Affinity-chromatography
- Gene: P43626
Handling
- Quantity: 100ul
- Storage: Upon receipt, store at -20°C or -80°C. Avoid repeated freeze.
- Buffer: Preservative: 0.03% Proclin 300<br />Constituents: 50% Glycerol, 0.01M PBS, PH 7.4
Applications
- ELISA (ELISA)
- Immunohistochemistry (IHC)


