Product & ReviewsAntibodies
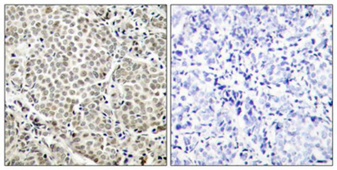
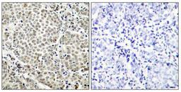
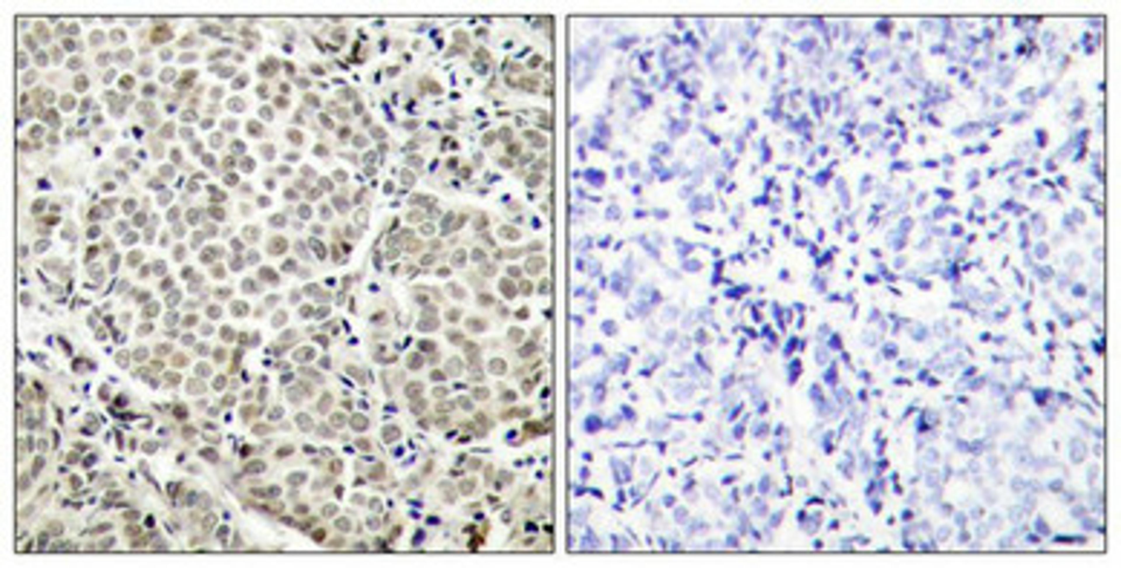
Phospho-RELA (Ser529) Antibody
Product Details
- Cat. No.
- CSB-PA794822
- Type
- Primary Antibody
- Clonality
- Polyclonal
- Host
- Rabbit

The supplier does not provide quotations for this antibody through SelectScience. You can search for similar antibodies in our Antibody Directory.
Biological Information
- Clonality: Polyclonal
- Host: Rabbit
- Reactivity: Human, Mouse, Rat
- Antigen: Peptide sequence around phosphorylation site of serine 529 (L-L-S(p)-G-D) derived from Human NFkB-p65.
- Clone: N/A
- Conjugate: Non-conjugated
- Isotype: IgG
- Modifications: Phosphorylated
- Source: Antibodies were produced by immunizing rabbits with synthetic phosphopeptide and KLH conjugateds. Antibodies were purified by affinity-chromatography using epitope-specific phosphopeptide. Non-phospho specific antibodies were removed by chromatogramphy usi
- Gene: Q04206
Handling
- Quantity: 100ul
- Storage: Upon receipt, store at -20°C or -80°C. Avoid repeated freeze.
- Buffer: Supplied at 1.0mg/mL in phosphate buffered saline (without Mg2+ and Ca2+), pH 7.4, 150mM NaCl, 0.02% sodium azide and 50% glycerol.
Applications
- ELISA (ELISA)
- Western Blotting (WB)
- Immunohistochemistry (IHC)
- Immunofluorescence (IF)


