Product & ReviewsAntibodies
HSPA8 Antibody
Product Details
- Cat. No.
- CSB-PA575152
- Type
- Primary Antibody
- Clonality
- Polyclonal
- Host
- Rabbit

The supplier does not provide quotations for this antibody through SelectScience. You can search for similar antibodies in our Antibody Directory.
Biological Information
- Clonality: Polyclonal
- Host: Rabbit
- Reactivity: Human, Mouse, Rat
- Antigen: Recombinant Protein of Heat shock cognate 71 kDa protein (Heat shock 70 kDa protein 8)
- Clone: N/A
- Conjugate: Non-conjugated
- Isotype: IgG
- Modifications: Non-modification
- Source: The antibody was affinity-purified from rabbit serum by affinity-chromatography using specific immunogen.
- Gene: P11142
Handling
- Quantity: 100ug
- Storage: Upon receipt, store at -20°C or -80°C. Avoid repeated freeze.
- Buffer: PBS, pH 7.4, containing 0.02% sodium azide as Preservative and 50% Glycerol.
Applications
- ELISA (ELISA)
- Western Blotting (WB)
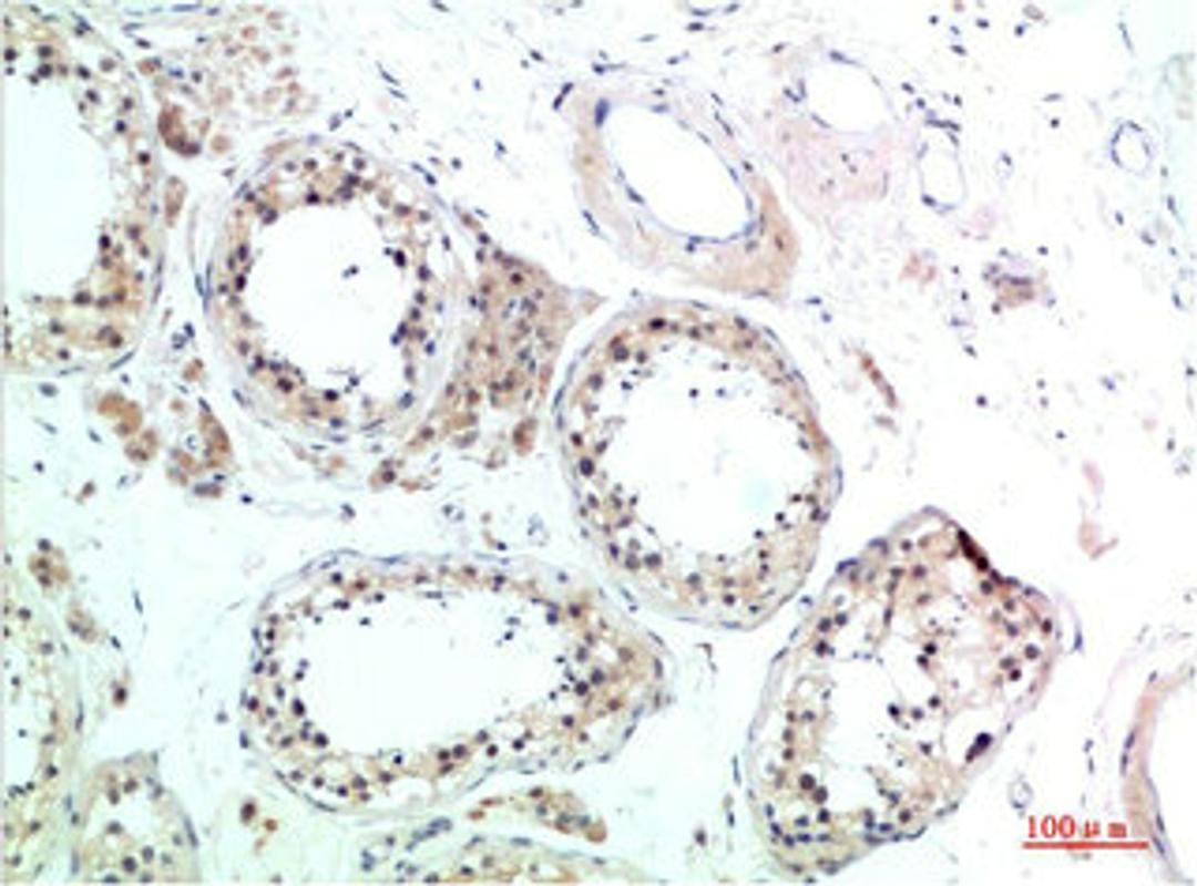
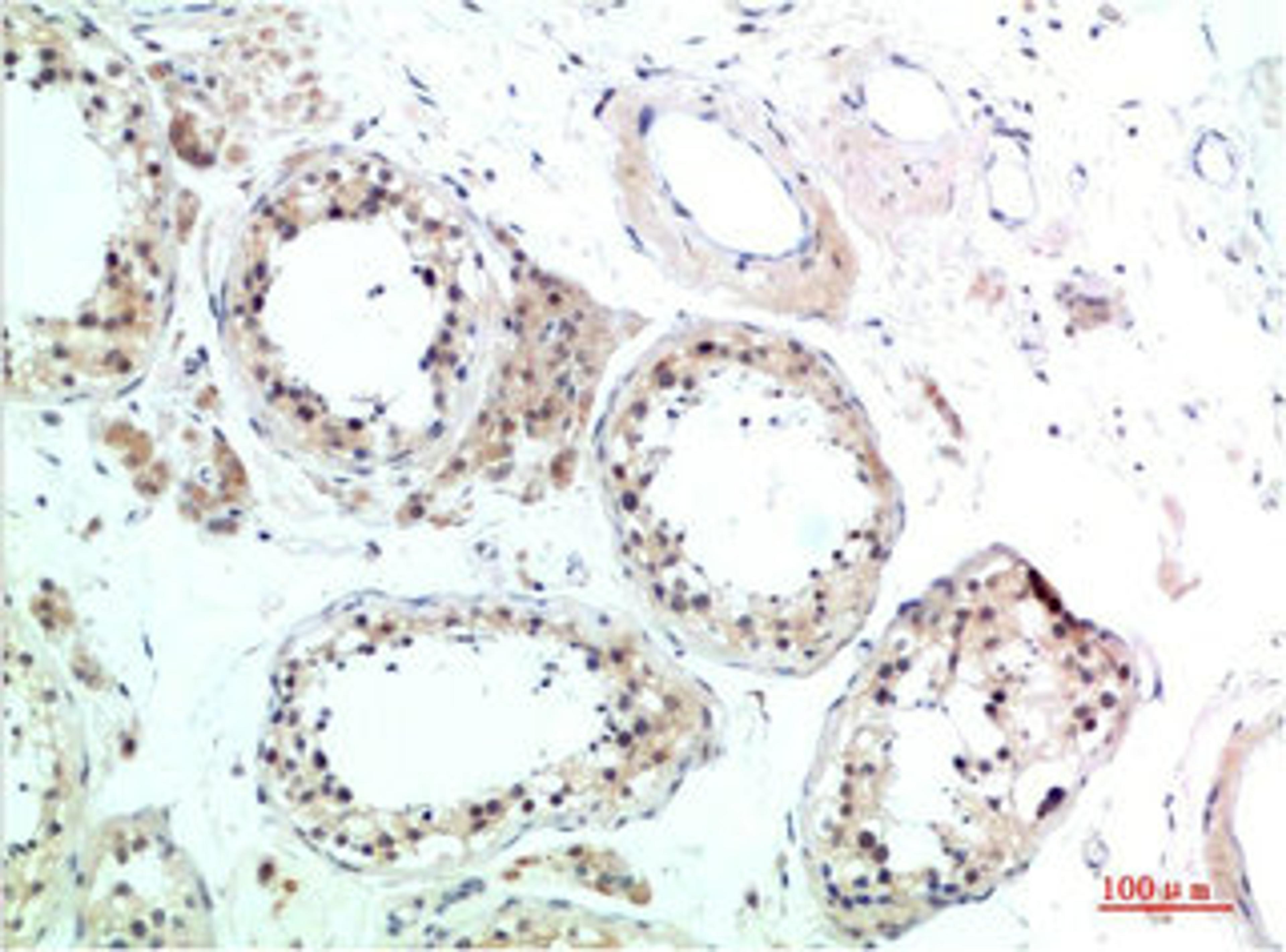
- Immunohistochemistry (IHC)


