Product & ReviewsAntibodies
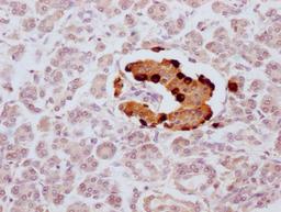
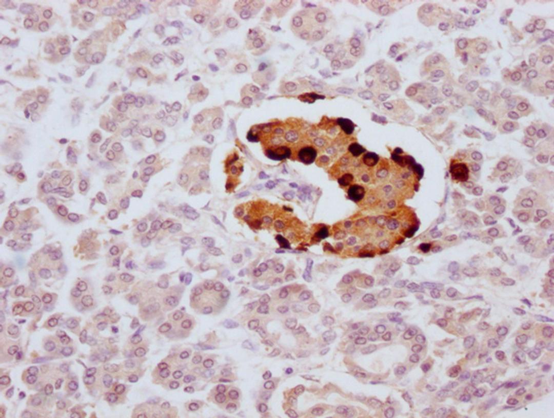
GCG Monoclonal Antibody
Product Details
- Cat. No.
- CSB-MA935920
- Type
- Primary Antibody
- Clonality
- Monoclonal
- Host
- Mouse

The supplier does not provide quotations for this antibody through SelectScience. You can search for similar antibodies in our Antibody Directory.
Biological Information
- Clonality: Monoclonal
- Host: Mouse
- Reactivity: Human
- Antigen: Synthesized peptide derived from human Glucagon
- Clone: 26E10
- Conjugate: Non-conjugated
- Isotype: IgG2b, Kappa
- Modifications: Non-modification
- Source: The antibody was affinity-purified from mouse ascites by affinity-chromatography using specific immunogen.
- Gene: P01275
Handling
- Quantity: 100ul
- Storage: Upon receipt, store at -20°C or -80°C. Avoid repeated freeze.
- Buffer: Liquid in PBS containing 50% glycerol, 0.5% BSA and 0.02% sodium azide.
Applications
- ELISA (ELISA)
- Immunohistochemistry (IHC)


