Product & ReviewsAntibodies
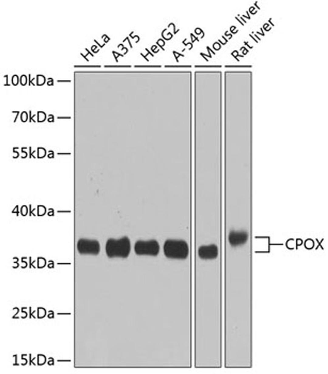
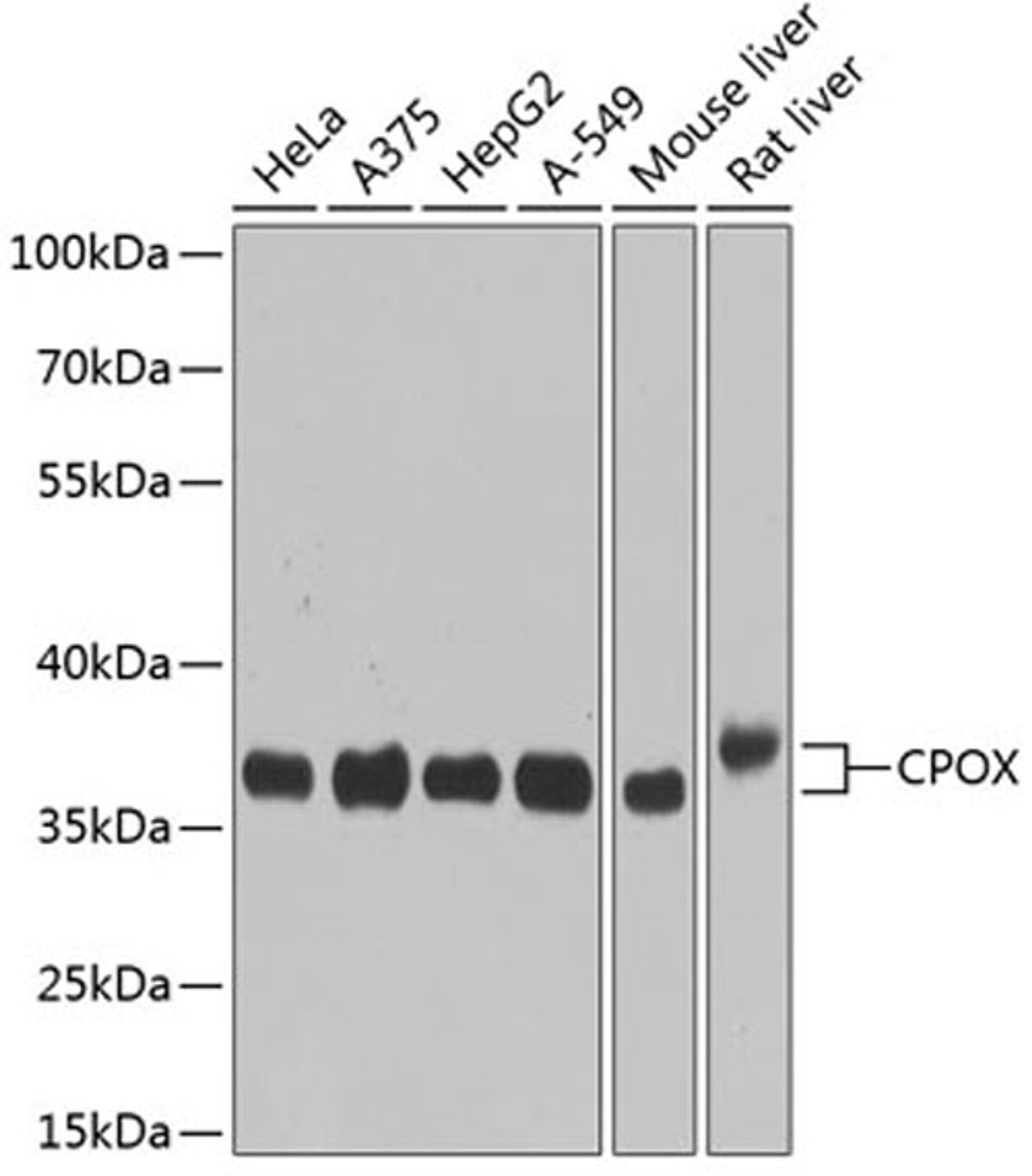
CPOX Rabbit pAb
Product Details
- Cat. No.
- A3807
- Type
- Primary Antibody
- Clonality
- Polyclonal
- Host
- Rabbit

The supplier does not provide quotations for this antibody through SelectScience. You can search for similar antibodies in our Antibody Directory.
Description
The protein encoded by this gene is the sixth enzyme of the heme biosynthetic pathway. The encoded enzyme is soluble and found in the intermembrane space of mitochondria. This enzyme catalyzes the stepwise oxidative decarboxylation of coproporphyrinogen III to protoporphyrinogen IX, a precursor of heme. Defects in this gene are a cause of hereditary coproporphyria (HCP).
Biological Information
- Clonality: Polyclonal
- Host: Rabbit
- Reactivity: Human, Mouse, Rat


