Product & ReviewsAntibodies
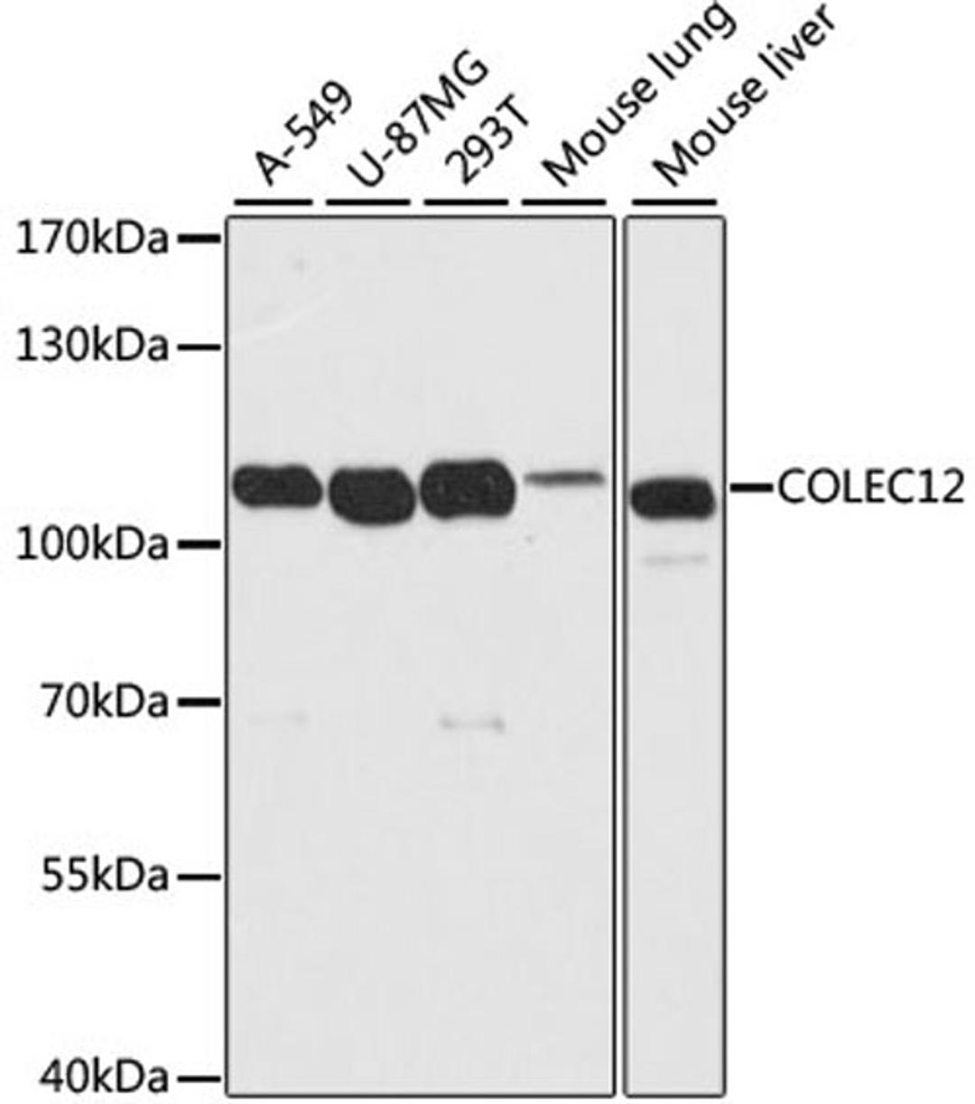
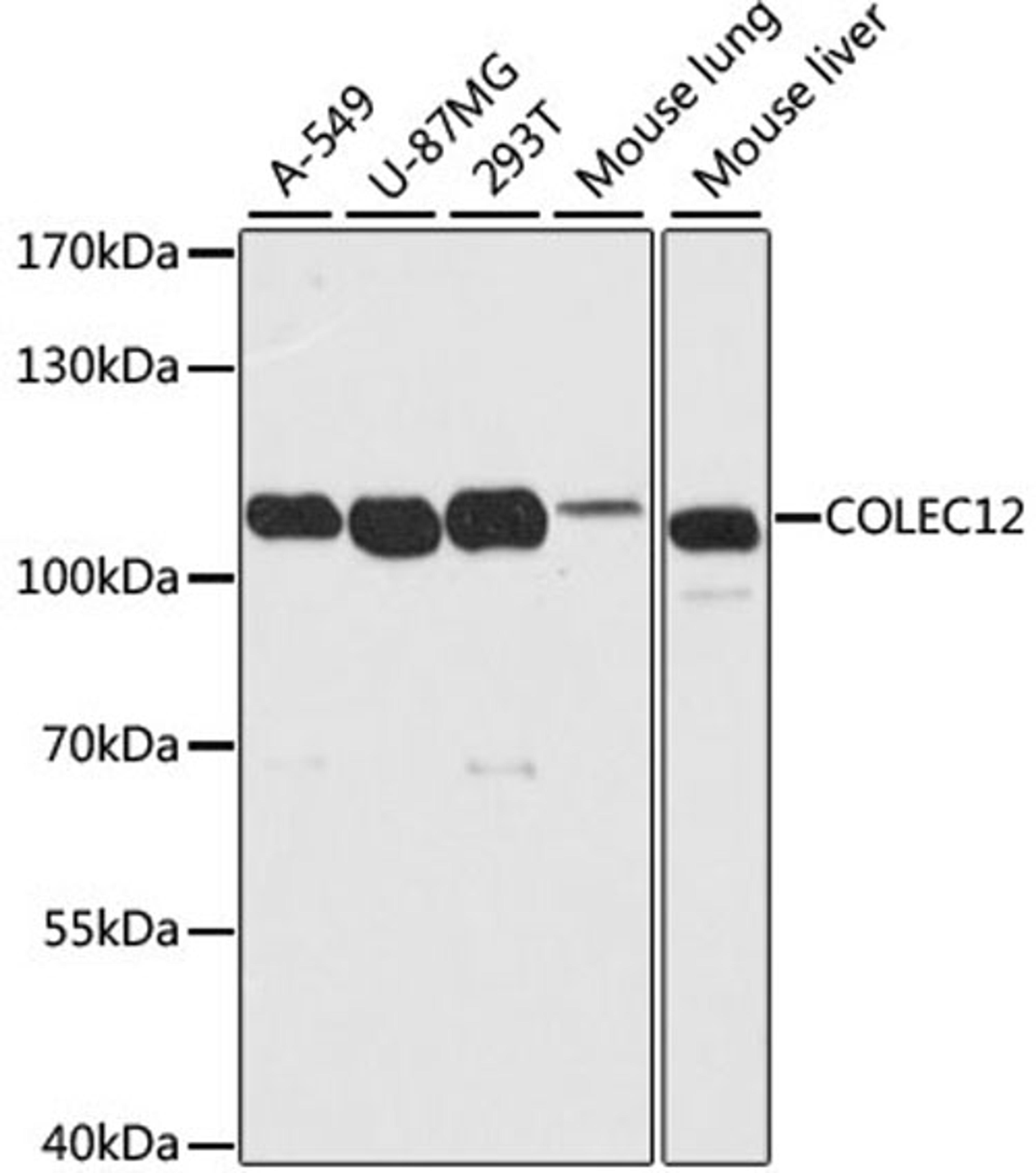
COLEC12 Rabbit pAb
Product Details
- Cat. No.
- A10422
- Type
- Primary Antibody
- Clonality
- Polyclonal
- Host
- Rabbit

The supplier does not provide quotations for this antibody through SelectScience. You can search for similar antibodies in our Antibody Directory.
Description
This gene encodes a member of the C-lectin family, proteins that possess collagen-like sequences and carbohydrate recognition domains. This protein is a scavenger receptor, a cell surface glycoprotein that displays several functions associated with host defense. It can bind to carbohydrate antigens on microorganisms, facilitating their recognition and removal. It also mediates the recognition, internalization, and degradation of oxidatively modified low density lipoprotein by vascular endothelial cells.
Biological Information
- Clonality: Polyclonal
- Host: Rabbit
- Reactivity: Human, Mouse


