Product & ReviewsAntibodies
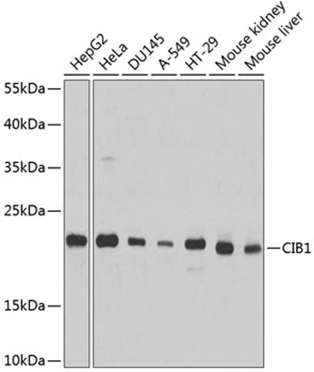
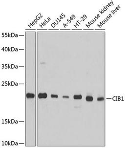
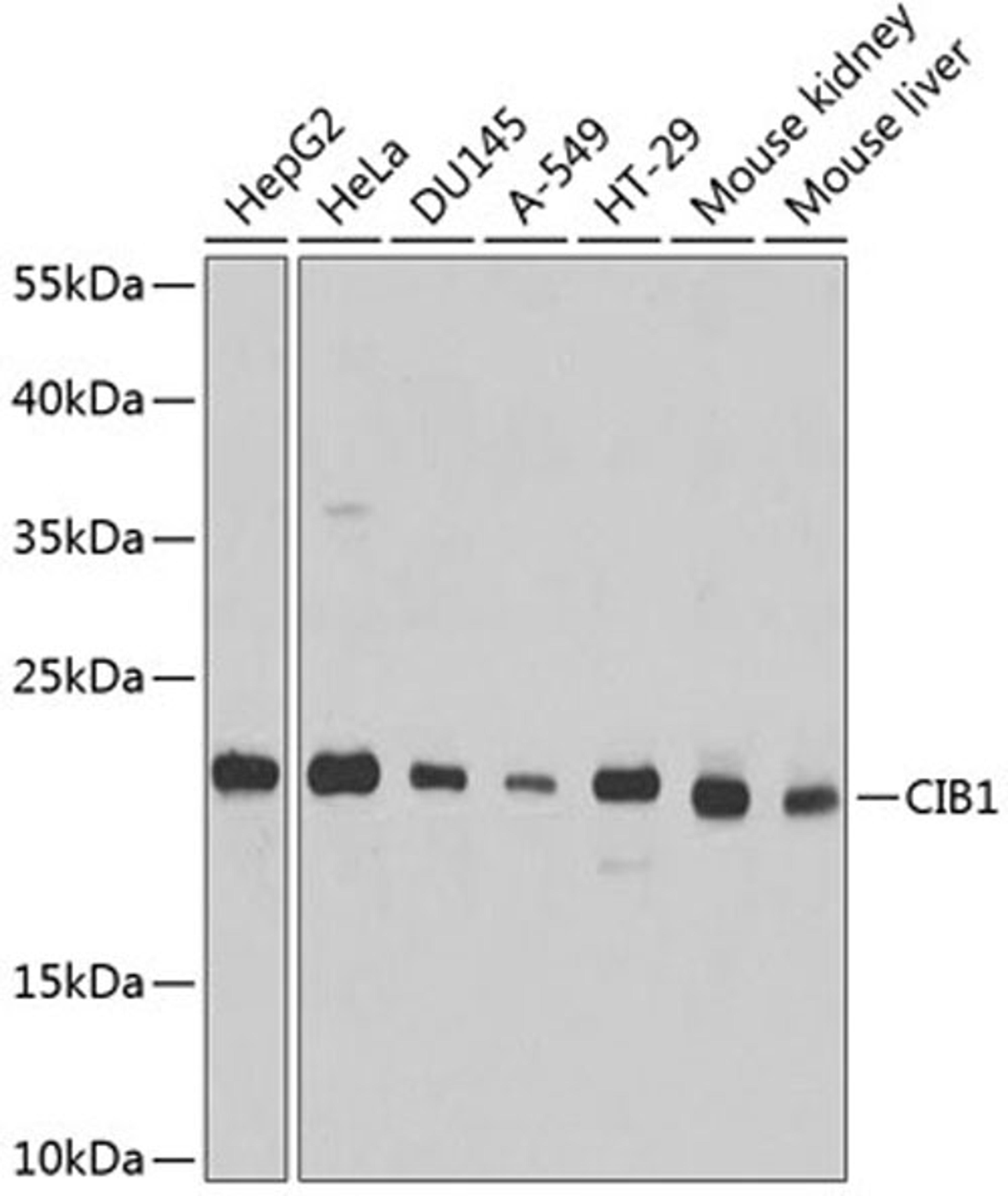
CIB1 Rabbit pAb
Product Details
- Cat. No.
- A4430
- Type
- Primary Antibody
- Clonality
- Polyclonal
- Host
- Rabbit

The supplier does not provide quotations for this antibody through SelectScience. You can search for similar antibodies in our Antibody Directory.
Description
This gene encodes a member of the EF-hand domain-containing calcium-binding superfamily. The encoded protein interacts with many other proteins, including the platelet integrin alpha-IIb-beta-3, DNA-dependent protein kinase, presenilin-2, focal adhesion kinase, p21 activated kinase, and protein kinase D. The encoded protein may be involved in cell survival and proliferation, and is associated with several disease states including cancer and Alzheimer's disease. Alternative splicing results in multiple transcript variants.
Biological Information
- Clonality: Polyclonal
- Host: Rabbit
- Reactivity: Human, Mouse, Rat


