Product & ReviewsAntibodies
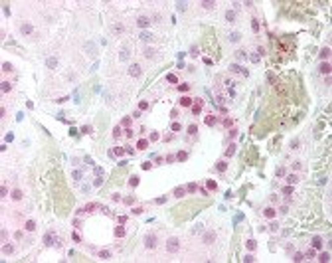
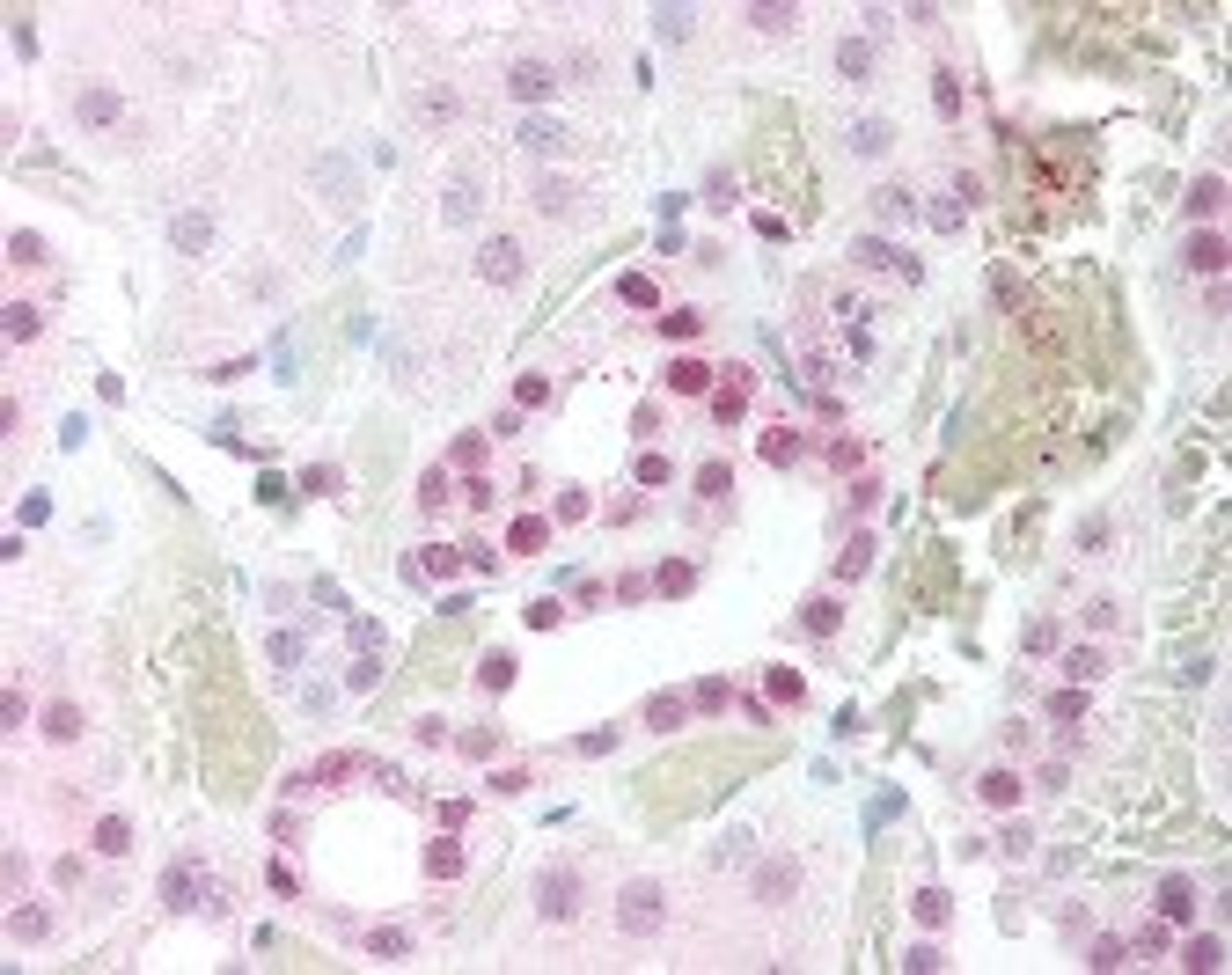
CHUK Antibody
Product Details
- Cat. No.
- 48-692
- Type
- Primary Antibody
- Clonality
- Polyclonal
- Host
- Rabbit

The supplier does not provide quotations for this antibody through SelectScience. You can search for similar antibodies in our Antibody Directory.
Biological Information
- Clonality: Polyclonal
- Host: Rabbit
- Reactivity: Human, Mouse, Rat
- Antigen: CHUK
- Isotype: IgG
- Source: Immunoaffinity Chromatography
- Gene: 1147
Handling
- Quantity: 0.05 mg
- Storage: Short term: -20°C; Long term: -70°C.
- Buffer: PBS, 0.02% sodium azide, 50% glycerol.
Applications
- Immunohistochemistry (IHC)
- Western Blotting (WB)


