Product & ReviewsAntibodies
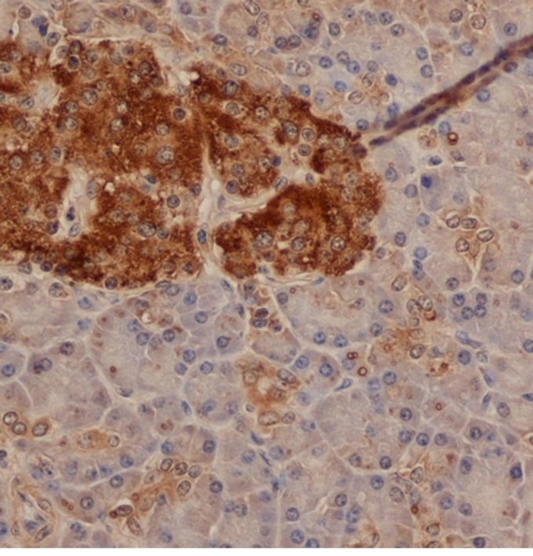
CHROMOGRANIN A
Product Details
- Cat. No.
- 2095-0220
- Type
- Primary Antibody
- Clonality
- Polyclonal
- Host
- Sheep

The supplier does not provide quotations for this antibody through SelectScience. You can search for similar antibodies in our Antibody Directory.
Description
SHEEP ANTI HUMAN CHROMOGRANIN A
Biological Information
- Clonality: Polyclonal
- Host: Sheep
Handling
- Quantity: 1 ml


