Product & ReviewsAntibodies
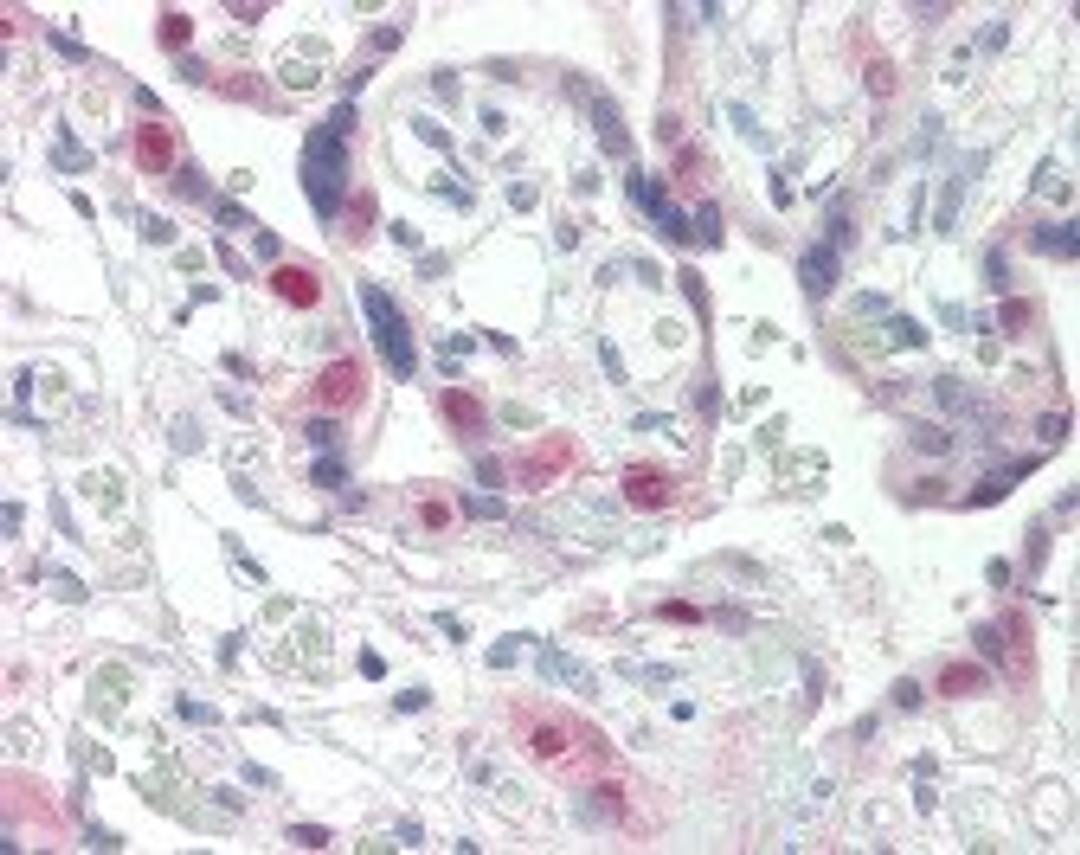
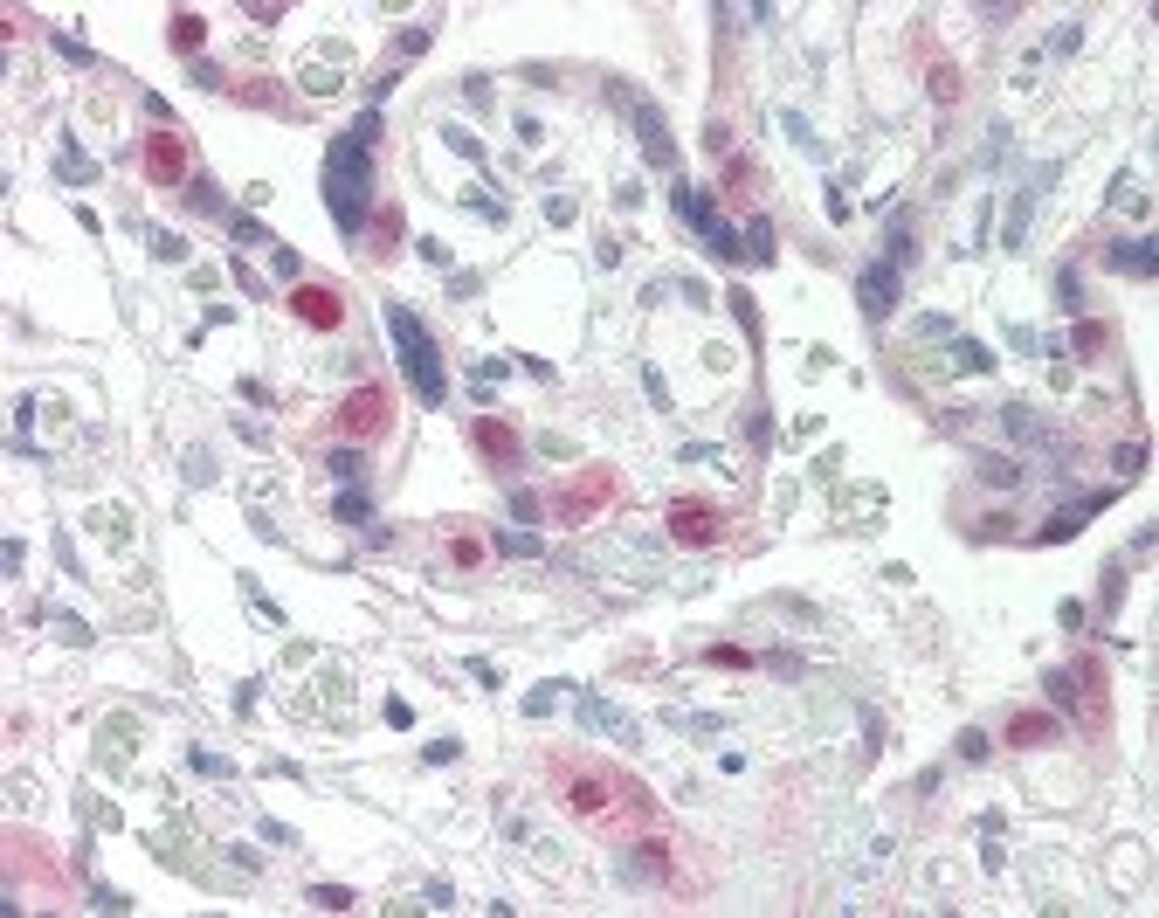
CDK2 Antibody, Monoclonal
Product Details
- Cat. No.
- 49-958
- Type
- Primary Antibody
- Clonality
- Monoclonal
- Host
- Mouse

The supplier does not provide quotations for this antibody through SelectScience. You can search for similar antibodies in our Antibody Directory.
Biological Information
- Clonality: Monoclonal
- Host: Mouse
- Antigen: CDK2
- Isotype: IgG
- Source: Protein G Column
- Gene: 1017
Handling
- Quantity: 0.05 mg
- Storage: Store CDK2 antibody at 4 °C or -20 °C. As with all antibodies avoid freeze/thaw cycles.
- Buffer: 0.1M Tris-glycine, pH 7.4, 0.15M sodium chloride, 0.05% sodium azide, before the addition of glycerol to 30%


