Product & ReviewsAntibodies
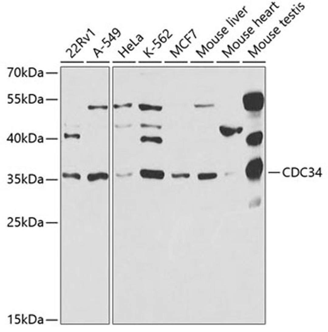
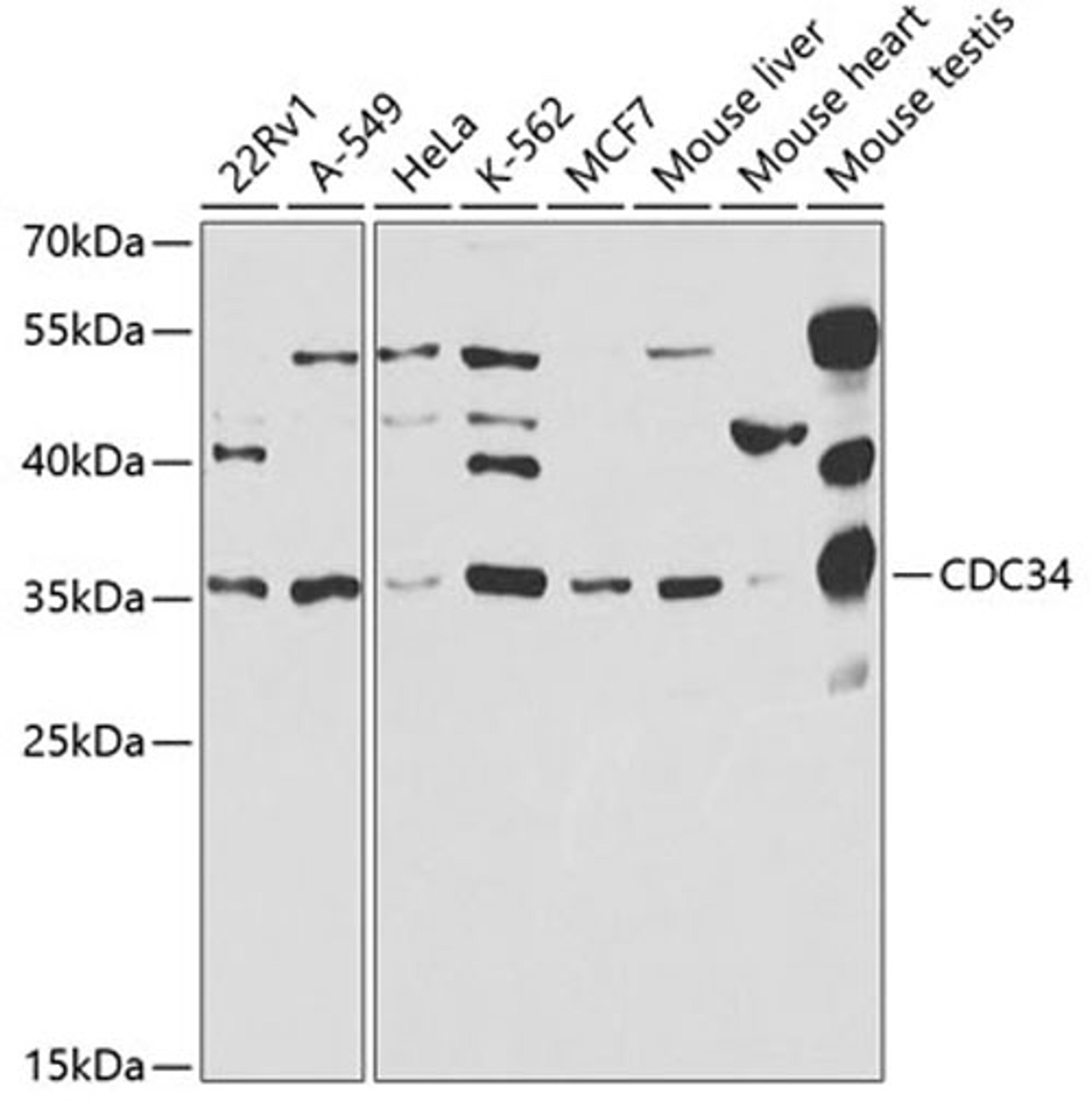
CDC34 Rabbit pAb
Product Details
- Cat. No.
- A5457
- Type
- Primary Antibody
- Clonality
- Polyclonal
- Host
- Rabbit

The supplier does not provide quotations for this antibody through SelectScience. You can search for similar antibodies in our Antibody Directory.
Description
The protein encoded by this gene is a member of the ubiquitin-conjugating enzyme family. Ubiquitin-conjugating enzyme catalyzes the covalent attachment of ubiquitin to other proteins. This protein is a part of the large multiprotein complex, which is required for ubiquitin-mediated degradation of cell cycle G1 regulators, and for the initiation of DNA replication.
Biological Information
- Clonality: Polyclonal
- Host: Rabbit
- Reactivity: Human, Mouse


