Product & ReviewsAntibodies
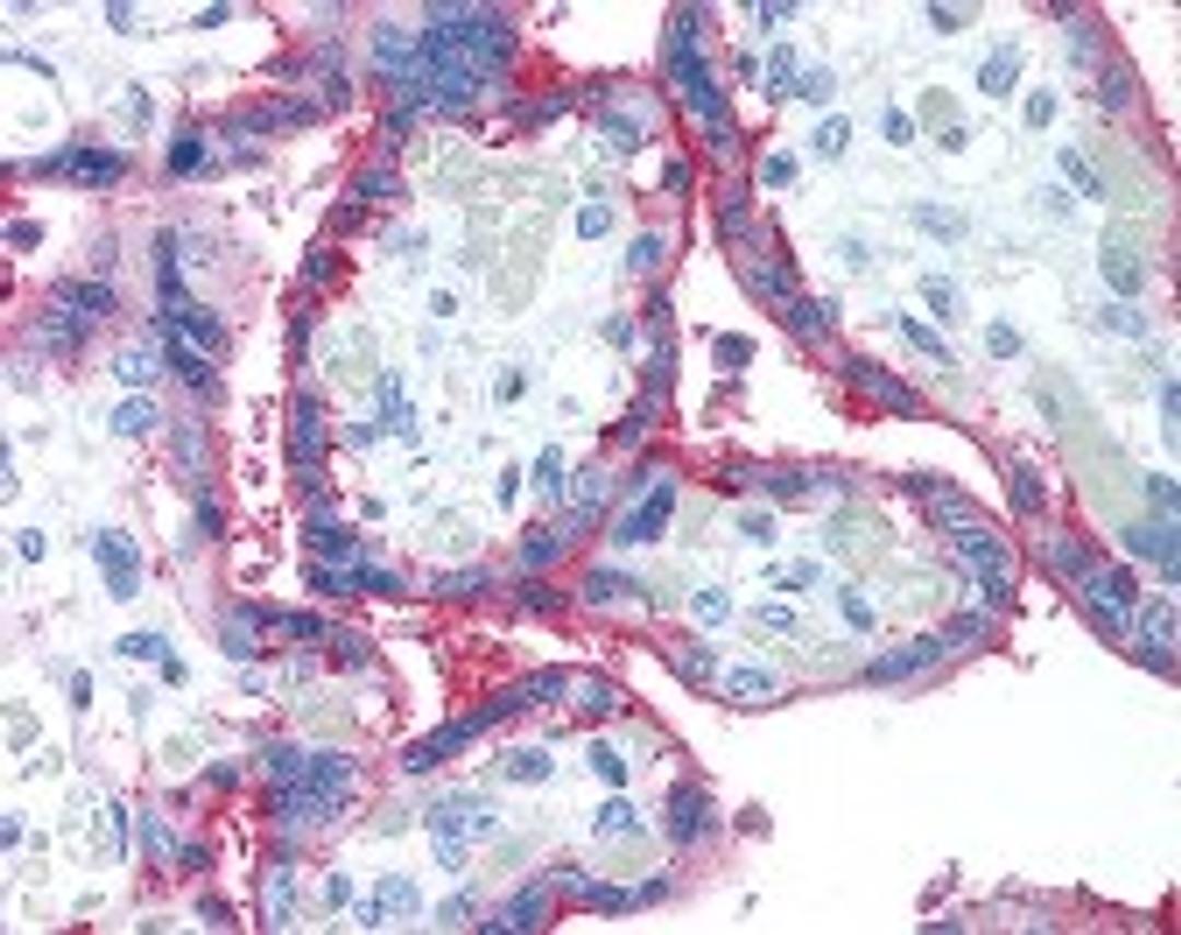
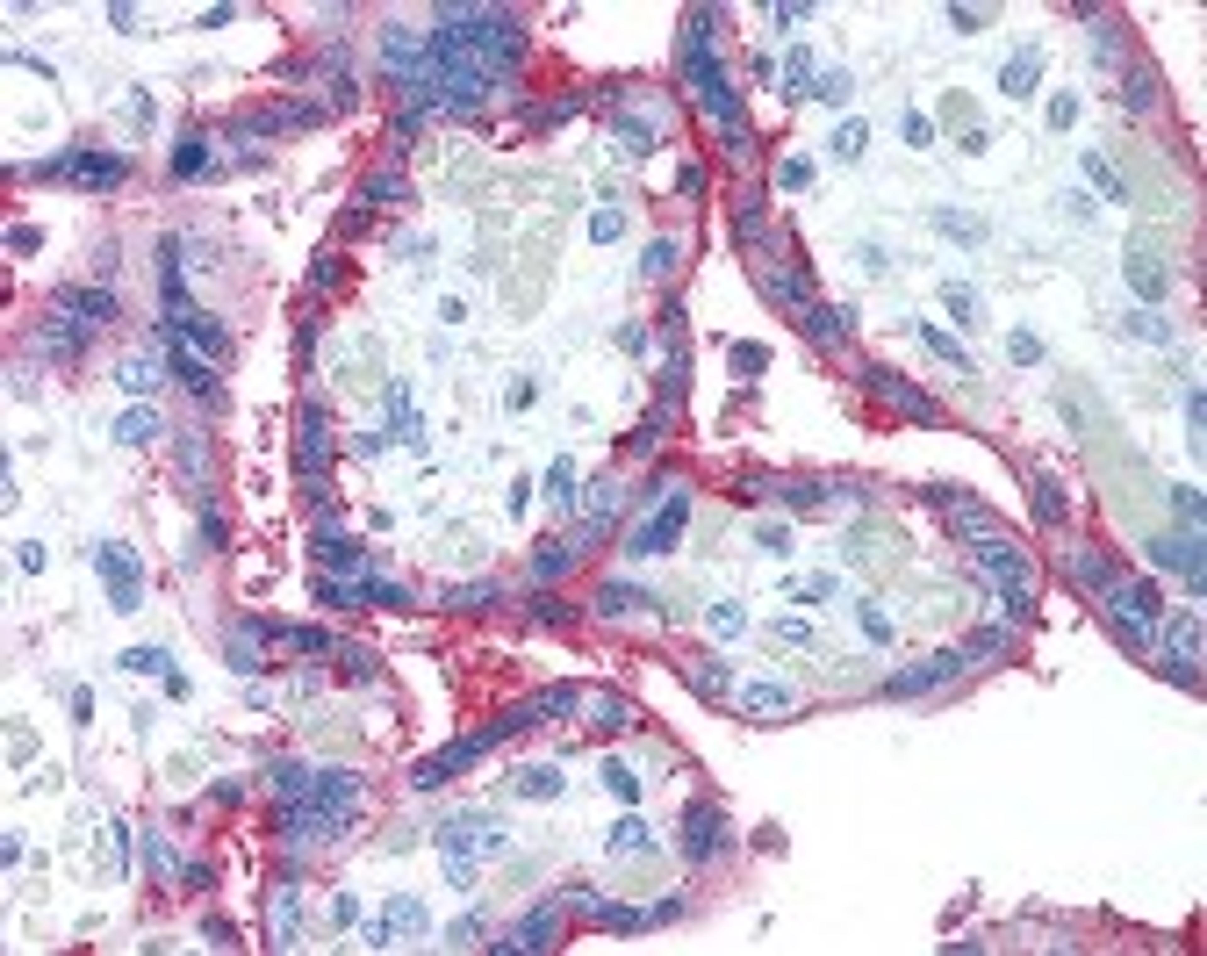
CD59 Antibody [p282]
Product Details
- Cat. No.
- 49-206
- Type
- Primary Antibody
- Clonality
- Monoclonal
- Host
- Mouse

The supplier does not provide quotations for this antibody through SelectScience. You can search for similar antibodies in our Antibody Directory.
Biological Information
- Clonality: Monoclonal
- Host: Mouse
- Reactivity: Baboon, Chimpanzee, Human, Monkey
- Antigen: CD59
- Clone: [p282
- Isotype: IgG2a,k
- Source: Affinity Chromatography
- Gene: 966
Handling
- Quantity: 0.05 mg
- Storage: Store CD59 antibody undiluted at 4 °C.
- Buffer: Phosphate-buffered solution, pH 7.2, 0.09% sodium azide.
Applications
- Flow Cytometry (FC)
- Immunohistochemistry (IHC)


