Product & ReviewsAntibodies
CD3 Antibody [CT-3]
Product Details
- Cat. No.
- 99-201
- Type
- Primary Antibody
- Clonality
- Monoclonal
- Host
- Mouse

The supplier does not provide quotations for this antibody through SelectScience. You can search for similar antibodies in our Antibody Directory.
Description
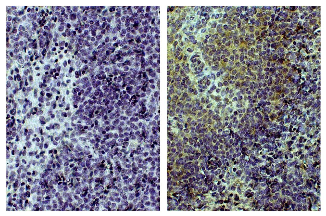
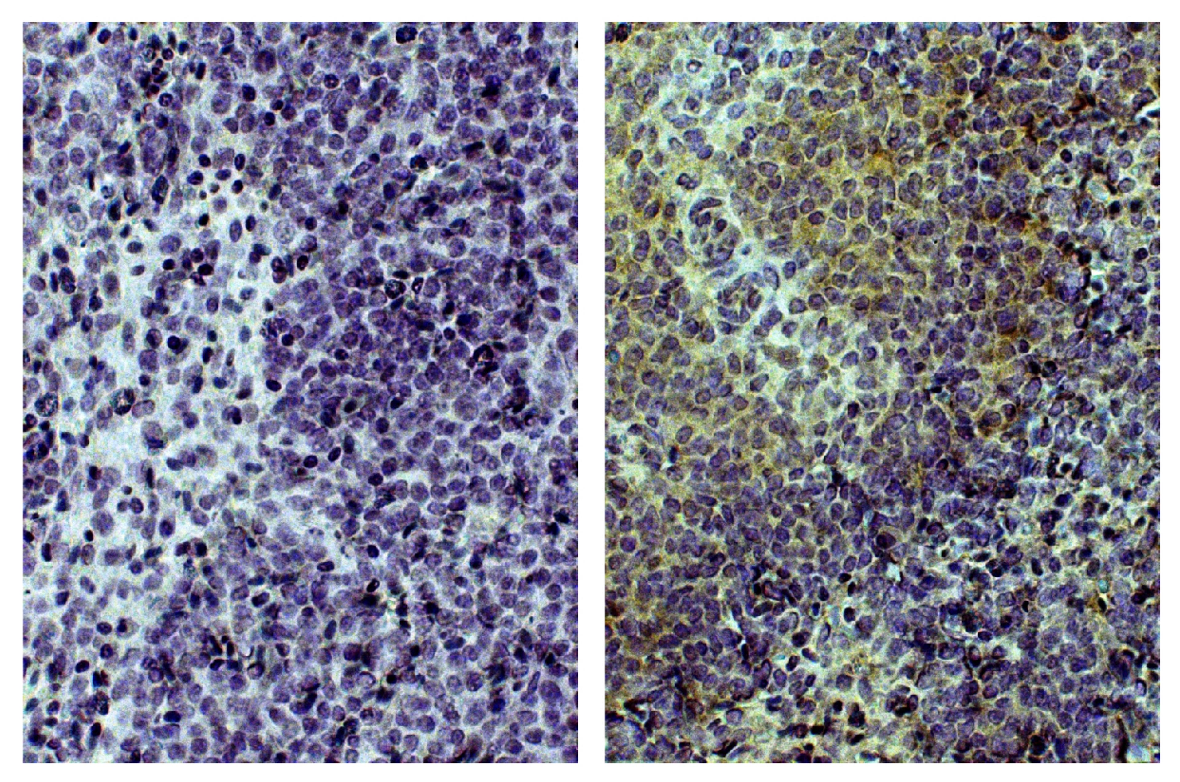
CD3 Antibody [CT-3] raised in Mouse validated in IHC-Fr, Flow in Chicken, Pigeon.
Biological Information
- Clonality: Monoclonal
- Host: Mouse
- Conjugate: Unconjugated
Handling
- Quantity: 0.5 mg
- Storage: Store vial at 2-8˚C
- Buffer: Supplied in borate buffered saline, pH 8.2; No preservatives or amine-containing buffer salts added


