Product & ReviewsAntibodies
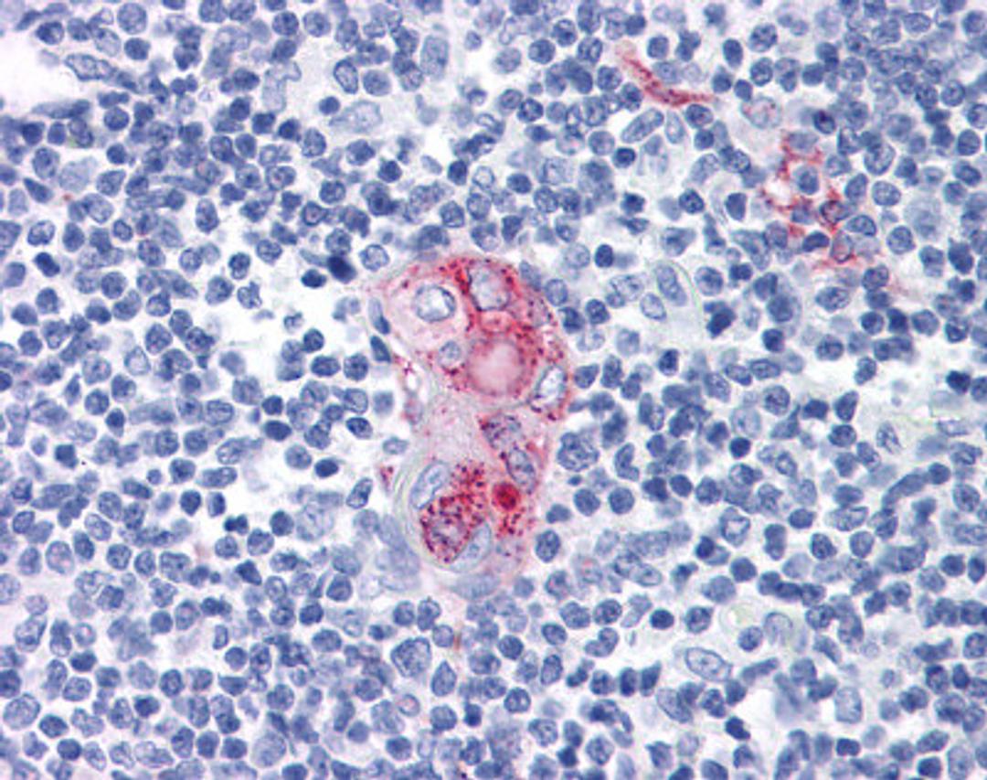
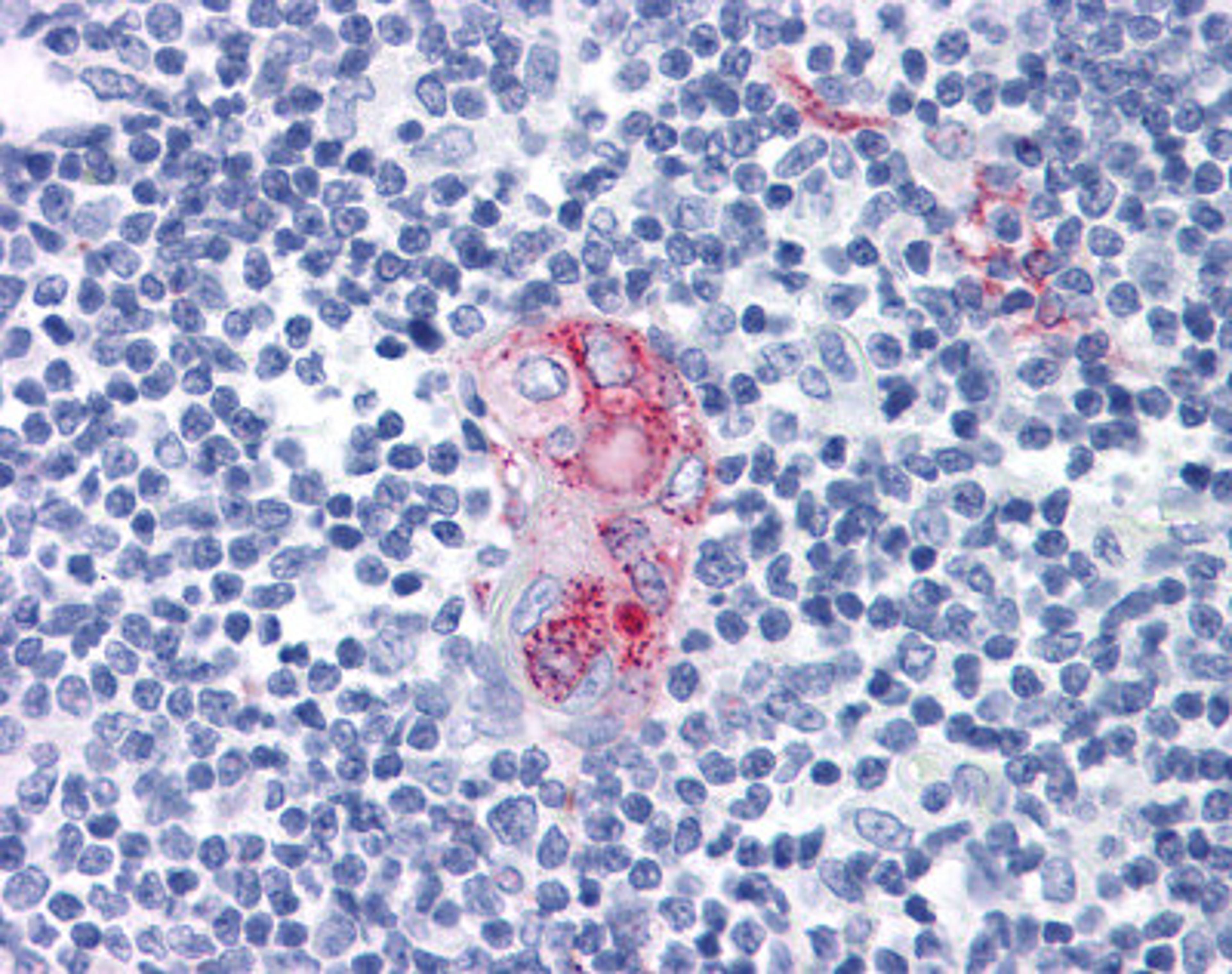
CD1D Antibody [51.1]
Product Details
- Cat. No.
- 51-335
- Type
- Primary Antibody
- Clonality
- Monoclonal
- Host
- Mouse

The supplier does not provide quotations for this antibody through SelectScience. You can search for similar antibodies in our Antibody Directory.
Description
CD1D Antibody [51.1] raised in Mouse validated in IHC, Flow in Human.
Biological Information
- Clonality: Monoclonal
- Host: Mouse
- Conjugate: Unconjugated
Handling
- Quantity: 0.05 mg
- Storage: Store CD1D antibody at 4 ˚C. As with all antibodies avoid freeze/thaw cycles
- Buffer: PBS, pH 7.2, <=0.09% sodium azide


