Product & ReviewsAntibodies
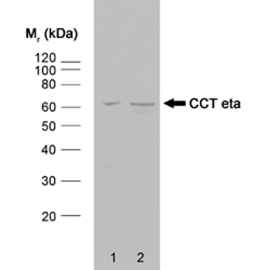
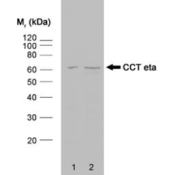
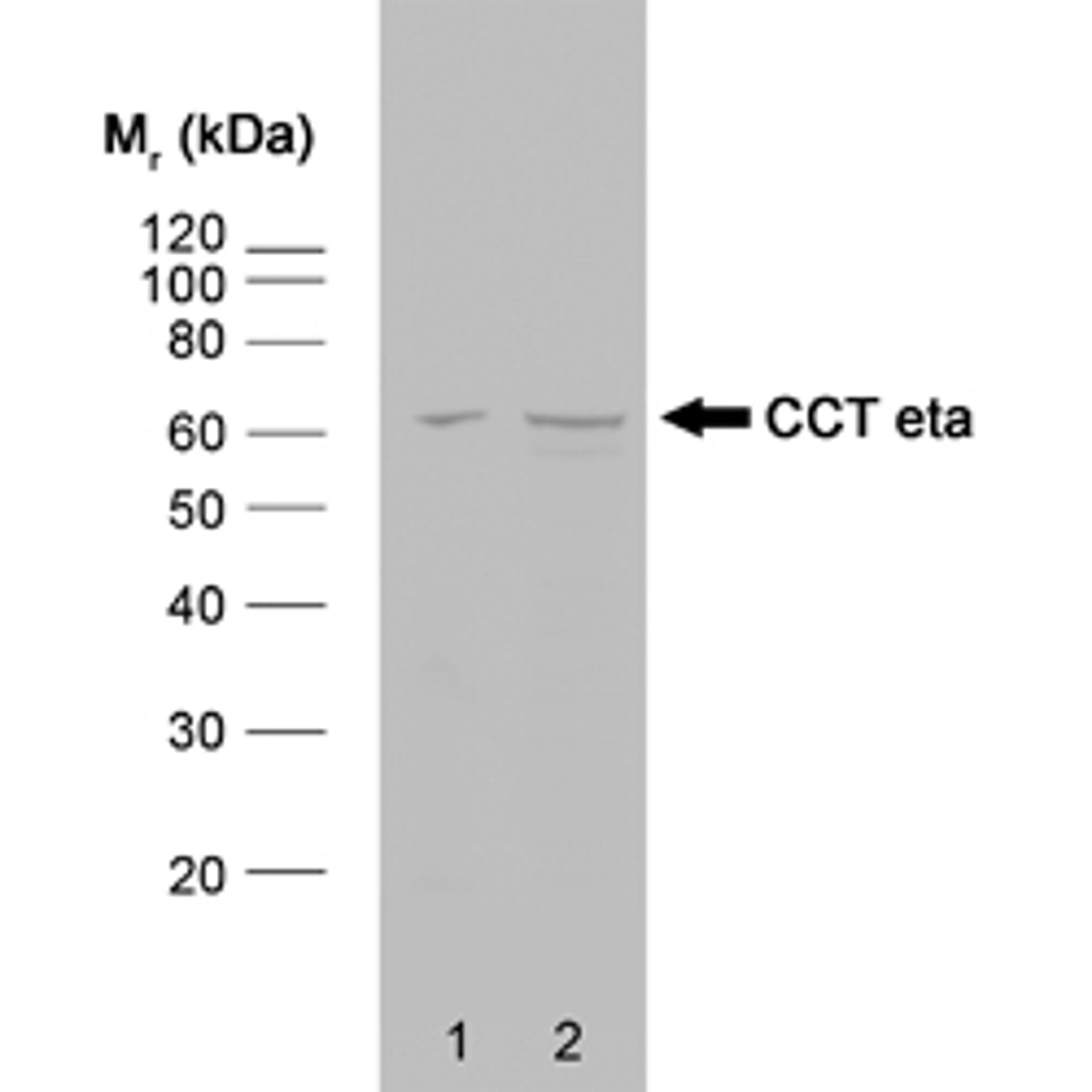
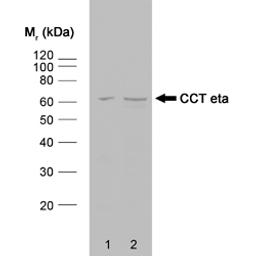
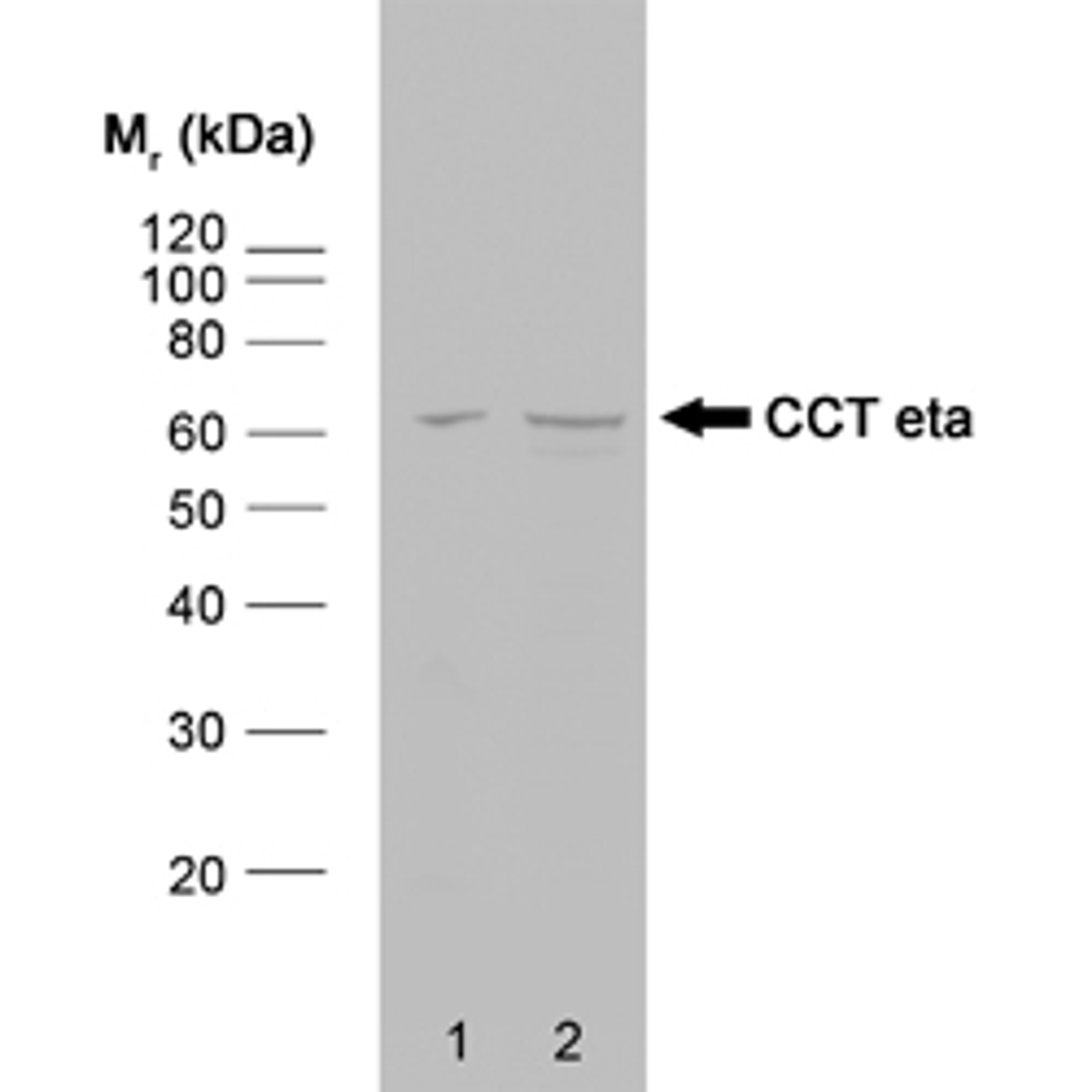
CCT ETA
Product Details
- Cat. No.
- MCA2179
- Type
- Primary Antibody
- Clonality
- Monoclonal
- Host
- Rat

The supplier does not provide quotations for this antibody through SelectScience. You can search for similar antibodies in our Antibody Directory.
Description
RAT ANTI CCT ETA
Biological Information
- Clonality: Monoclonal
- Host: Rat
Handling
- Quantity: 0.1 mg
Applications
- Immunohistochemistry (Paraffin-Embedded Sections) (IHC (P))
- Western Blotting (WB)


