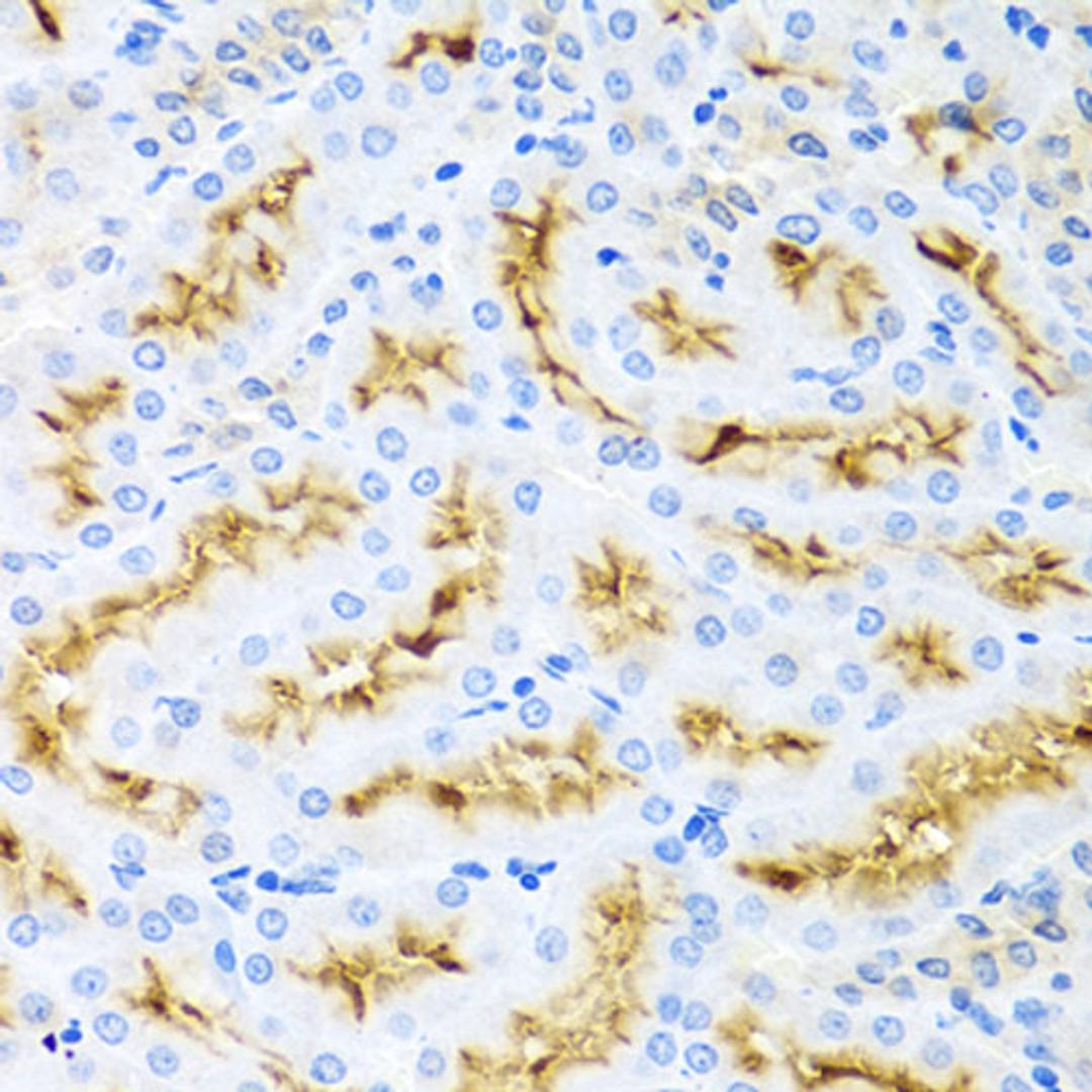
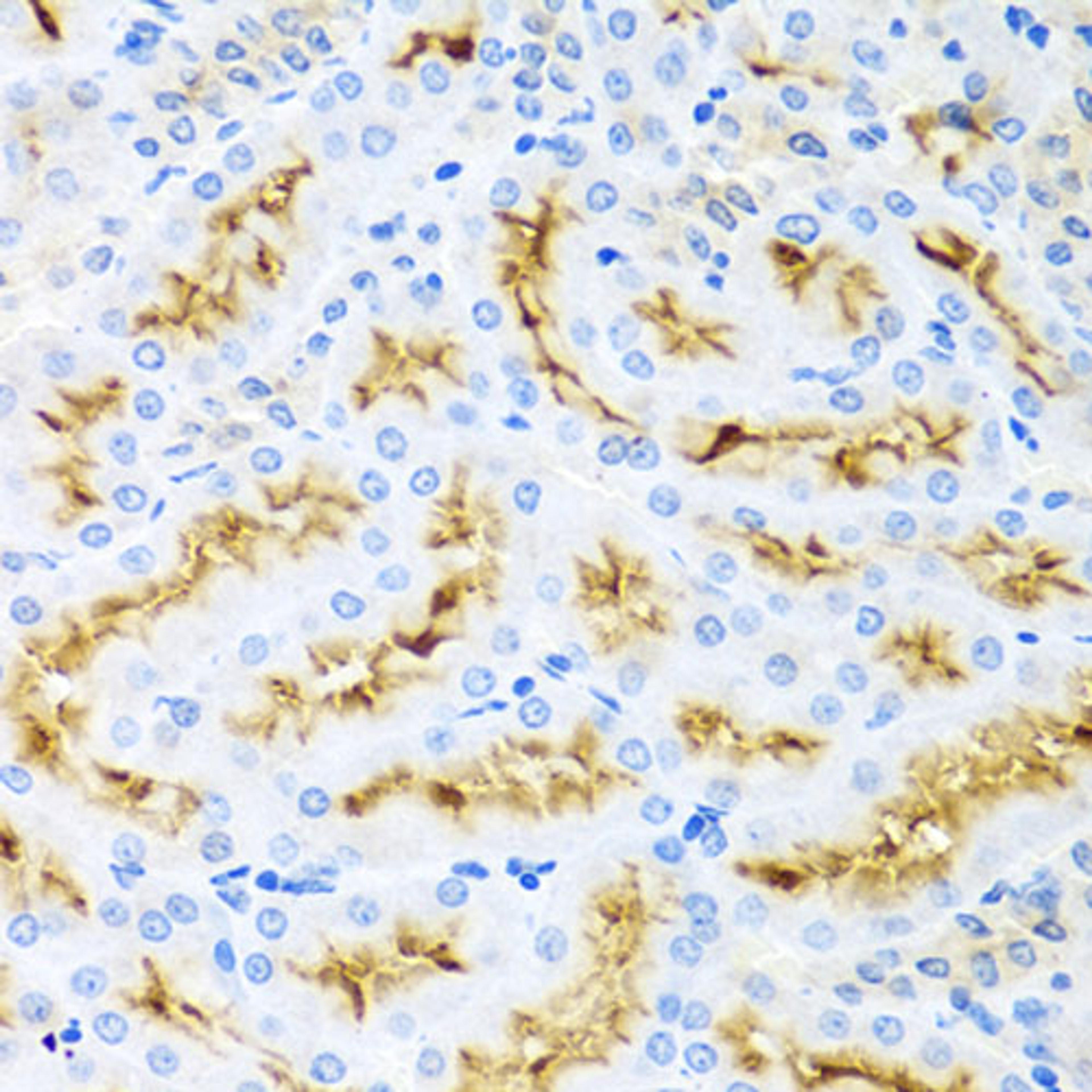
CCL22 Rabbit pAb
Product Details
- Cat. No.
- A1966
- Type
- Primary Antibody
- Clonality
- Polyclonal
- Host
- Rabbit

The supplier does not provide quotations for this antibody through SelectScience. You can search for similar antibodies in our Antibody Directory.
Description
This antimicrobial gene is one of several Cys-Cys (CC) cytokine genes clustered on the q arm of chromosome 16. Cytokines are a family of secreted proteins involved in immunoregulatory and inflammatory processes. The CC cytokines are proteins characterized by two adjacent cysteines. The cytokine encoded by this gene displays chemotactic activity for monocytes, dendritic cells, natural killer cells and for chronically activated T lymphocytes. It also displays a mild activity for primary activated T lymphocytes and has no chemoattractant activity for neutrophils, eosinophils and resting T lymphocytes. The product of this gene binds to chemokine receptor CCR4. This chemokine may play a role in the trafficking of activated T lymphocytes to inflammatory sites and other aspects of activated T lymphocyte physiology.
Biological Information
- Clonality: Polyclonal
- Host: Rabbit
- Reactivity: Human, Rat


