Product & ReviewsAntibodies
Caspase-3 Antibody
Product Details
- Cat. No.
- 3445
- Type
- Primary Antibody
- Clonality
- Polyclonal
- Host
- Rat

The supplier does not provide quotations for this antibody through SelectScience. You can search for similar antibodies in our Antibody Directory.
Description
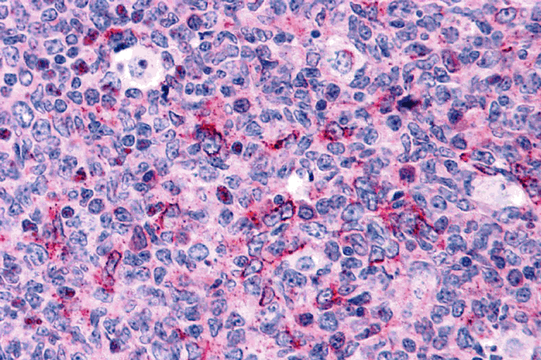
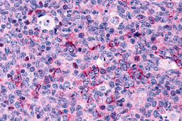
Caspase-3 Antibody raised in Rabbit validated in E, IHC-P in Human.
Biological Information
- Clonality: Polyclonal
- Host: Rat
- Conjugate: Unconjugated
Handling
- Quantity: 0.02 mg, 0.1 mg
- Storage: Caspase-3 antibody can be stored at 4˚C for three months and -20˚C, stable for up to one year. As with all antibodies care should be taken to avoid repeated freeze thaw cycles. Antibodies should not be exposed to prolonged high temperatures.
- Buffer: Caspase-3 Antibody is supplied in PBS containing 0.02% sodium azide.


