Product & ReviewsAntibodies
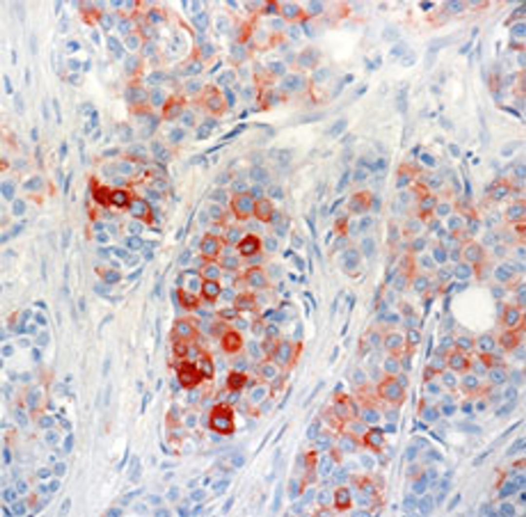
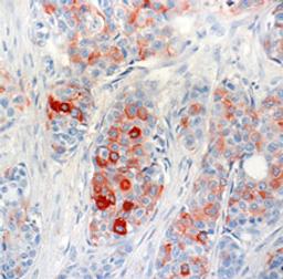
BRST-2 (GCDFP-15) Monoclonal Antibody, Purified
Product Details
- Cat. No.
- 915102
- Type
- Primary Antibody
- Clonality
- Monoclonal
- Host
- Mouse

The supplier does not provide quotations for this antibody through SelectScience. You can search for similar antibodies in our Antibody Directory.
Description
BRST-2 (GCDFP-15) Monoclonal Antibody, Purified ; Clone: D6; Reactivity: Human; Apps: IHC; Size: 6 ml
Biological Information
- Clonality: Monoclonal
- Host: Mouse
- Reactivity: Human
- Clone: D6
- Conjugate: PURE
- Isotype: Mouse IgG2a
- Gene: 5304
Handling
- Quantity: 6 ml
- Storage: 2°C-8°C
Applications
- Immunohistochemistry (IHC)


