Product & ReviewsAntibodies
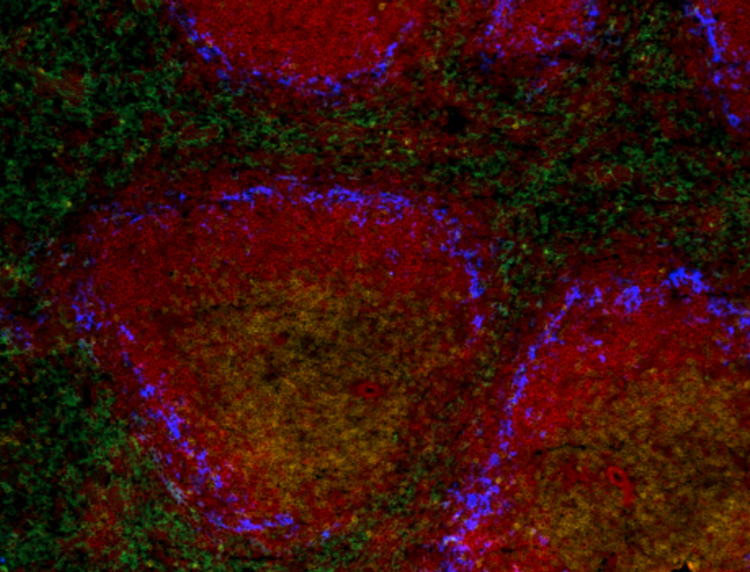
Brilliant Violet 421™ anti-mouse CD169 (Siglec-1)
Product Details
- Cat. No.
- 142421
- Type
- Flow Cytometry Reagents
- Clonality
- Monoclonal
- Host
- Mouse

The supplier does not provide quotations for this antibody through SelectScience. You can search for similar antibodies in our Antibody Directory.
Description
Brilliant Violet 421™ anti-mouse CD169 (Siglec-1); Clone: 3D6.112; Reactivity: Mouse; Apps: IHC-F; Size: 50 μg
Biological Information
- Clonality: Monoclonal
- Host: Mouse
- Reactivity: Mouse
- Clone: 3D6.112
- Conjugate: BV421
- Isotype: Rat IgG2a, κ
- Gene: 20612
Handling
- Quantity: 50 µg
- Storage: 2°C-8°C
Applications
- Immunohistochemistry (Formalin-Fixed Sections) (IHC (F))


