Product & ReviewsAntibodies
BrdU Antibody [B8B0]
Product Details
- Cat. No.
- 15-747
- Type
- Primary Antibody
- Clonality
- Monoclonal
- Host
- Mouse

The supplier does not provide quotations for this antibody through SelectScience. You can search for similar antibodies in our Antibody Directory.
Description
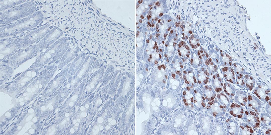
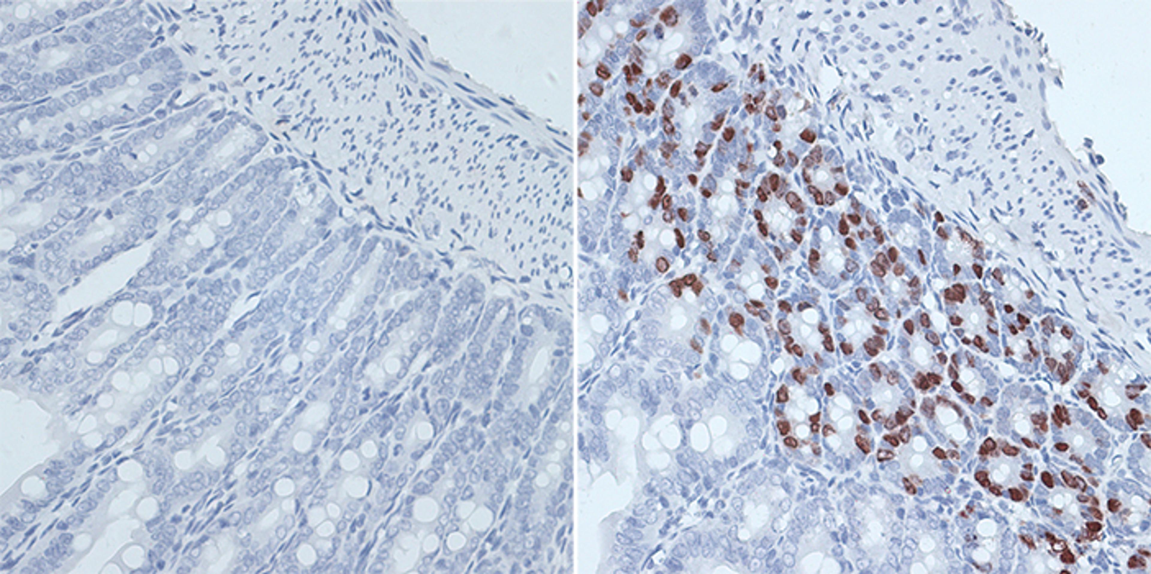
BrdU Antibody [B8B0] raised in Mouse validated in IHC,ICC,IF in All Species.
Biological Information
- Clonality: Monoclonal
- Host: Mouse
- Conjugate: Unconjugated
Handling
- Quantity: 50 uL
- Storage: Store at -20˚C. Avoid freeze / thaw cycles.
- Buffer: PBS with 0.02% sodium azide, 50% glycerol, pH7.3.


