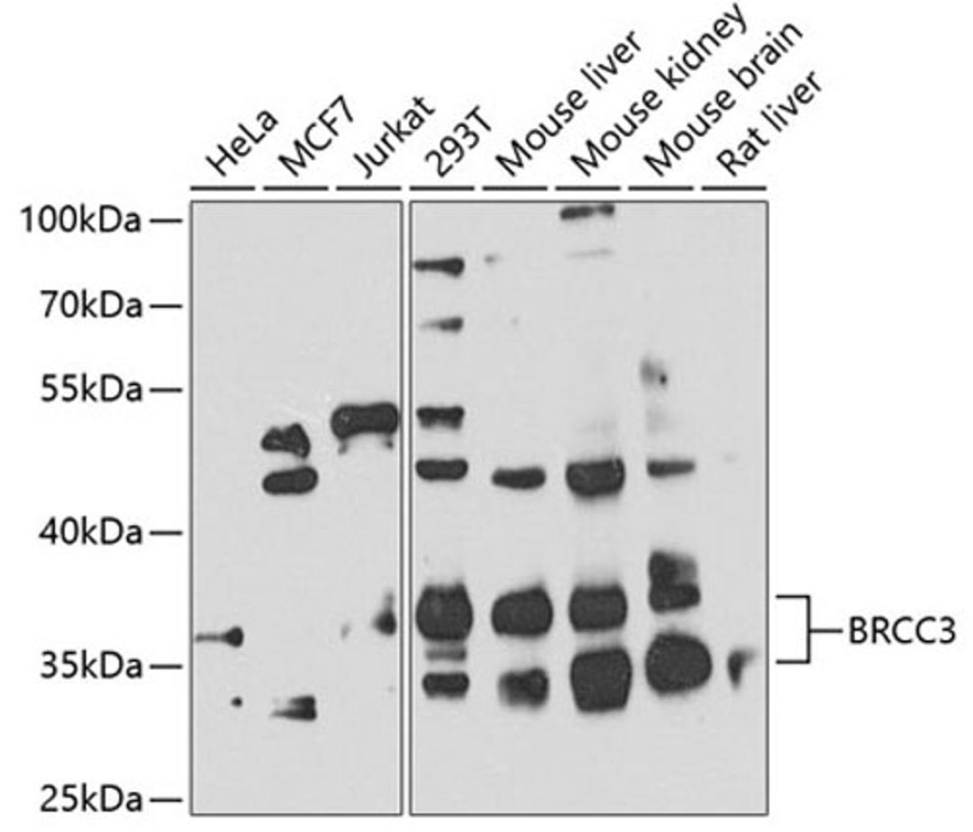
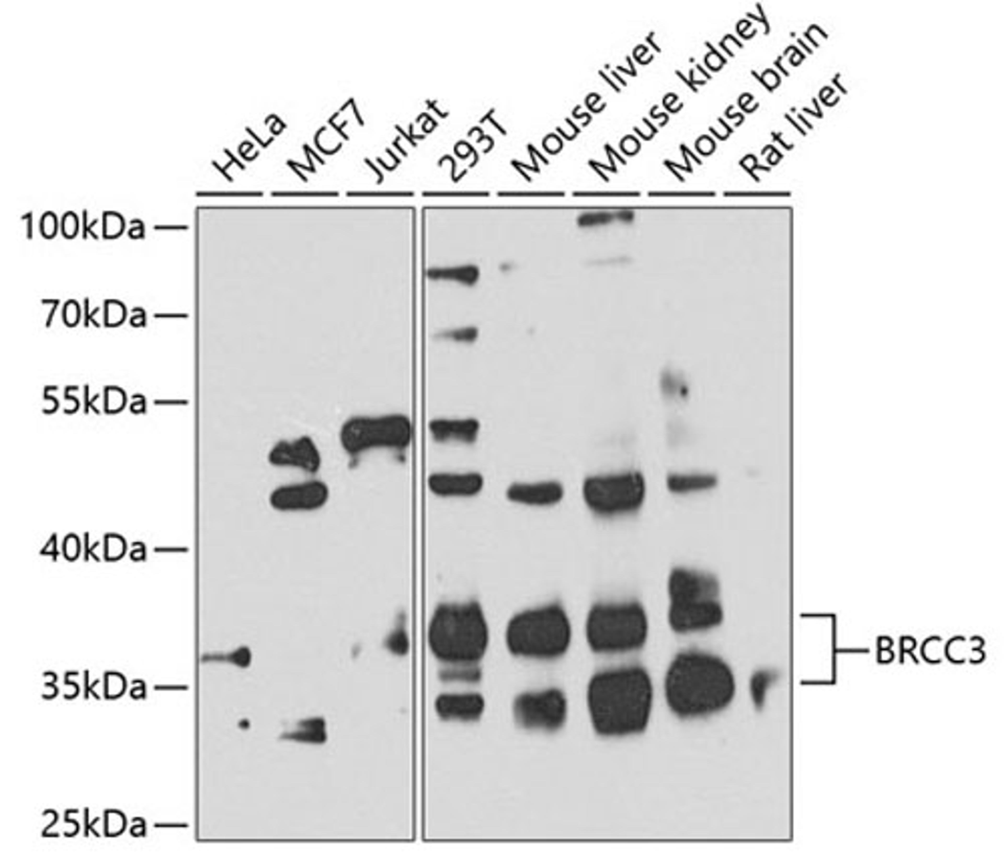
BRCC3 Rabbit pAb
Product Details
- Cat. No.
- A7995
- Type
- Primary Antibody
- Clonality
- Polyclonal
- Host
- Rabbit

The supplier does not provide quotations for this antibody through SelectScience. You can search for similar antibodies in our Antibody Directory.
Description
This gene encodes a subunit of the BRCA1-BRCA2-containing complex (BRCC), which is an E3 ubiquitin ligase. This complex plays a role in the DNA damage response, where it is responsible for the stable accumulation of BRCA1 at DNA break sites. The component encoded by this gene can specifically cleave Lys 63-linked polyubiquitin chains, and it regulates the abundance of these polyubiquitin chains in chromatin. The loss of this gene results in abnormal angiogenesis and is associated with syndromic moyamoya, a cerebrovascular angiopathy. Alternative splicing results in multiple transcript variants. A related pseudogene has been identified on chromosome 5.
Biological Information
- Clonality: Polyclonal
- Host: Rabbit
- Reactivity: Human, Mouse, Rat


