Product & ReviewsAntibodies
Borrelia burgdorferi (Lyme) Antibody
Product Details
- Cat. No.
- 35-113
- Type
- Primary Antibody
- Clonality
- Polyclonal
- Host
- Rabbit

The supplier does not provide quotations for this antibody through SelectScience. You can search for similar antibodies in our Antibody Directory.
Biological Information
- Clonality: Polyclonal
- Host: Rabbit
- Reactivity: Bacteria
- Antigen: Borrelia burgdorferi
- Clone: PY20
- Isotype: IgG2b
- Source: Protein G affinity chromatography
Handling
- Quantity: 100 ug
- Storage: Aliquot and Store at 2-8°C. Avoid freez-thaw cycles.
- Buffer: PBS with 0.1 mg/ml BSA and 0.05% sodium azide
Applications
- Flow Cytometry (FC)
- Immunofluorescence (IF)
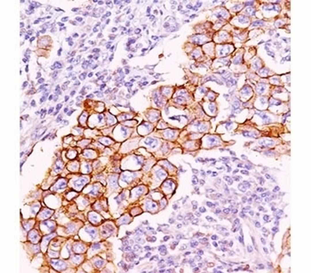
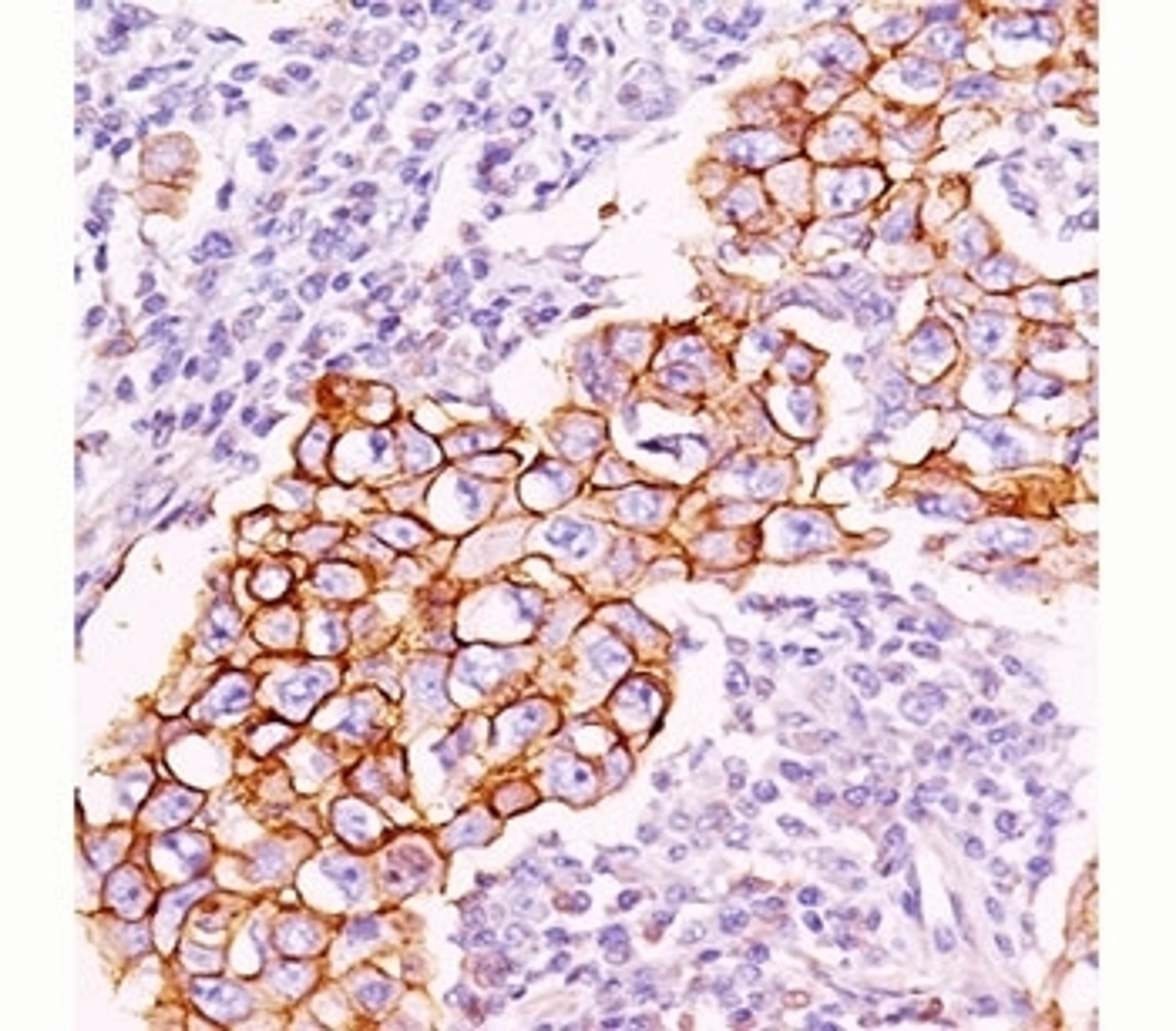
- Immunohistochemistry (IHC)
- Western Blotting (WB)


