Product & ReviewsAntibodies
BAG5 Antibody
Product Details
- Cat. No.
- 49-612
- Type
- Primary Antibody
- Clonality
- Polyclonal
- Host
- Rabbit

The supplier does not provide quotations for this antibody through SelectScience. You can search for similar antibodies in our Antibody Directory.
Biological Information
- Clonality: Polyclonal
- Host: Rabbit
- Reactivity: Human
- Antigen: BAG5
- Source: Purified
- Gene: 9529
Handling
- Quantity: 0.05 mg
- Storage: Store BAG5 antibody at -20 °C. Aliquot to avoid freeze/thaw cycles.
- Buffer: PBS, 0.08% sodium azide.
Applications
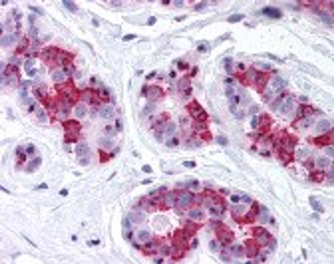
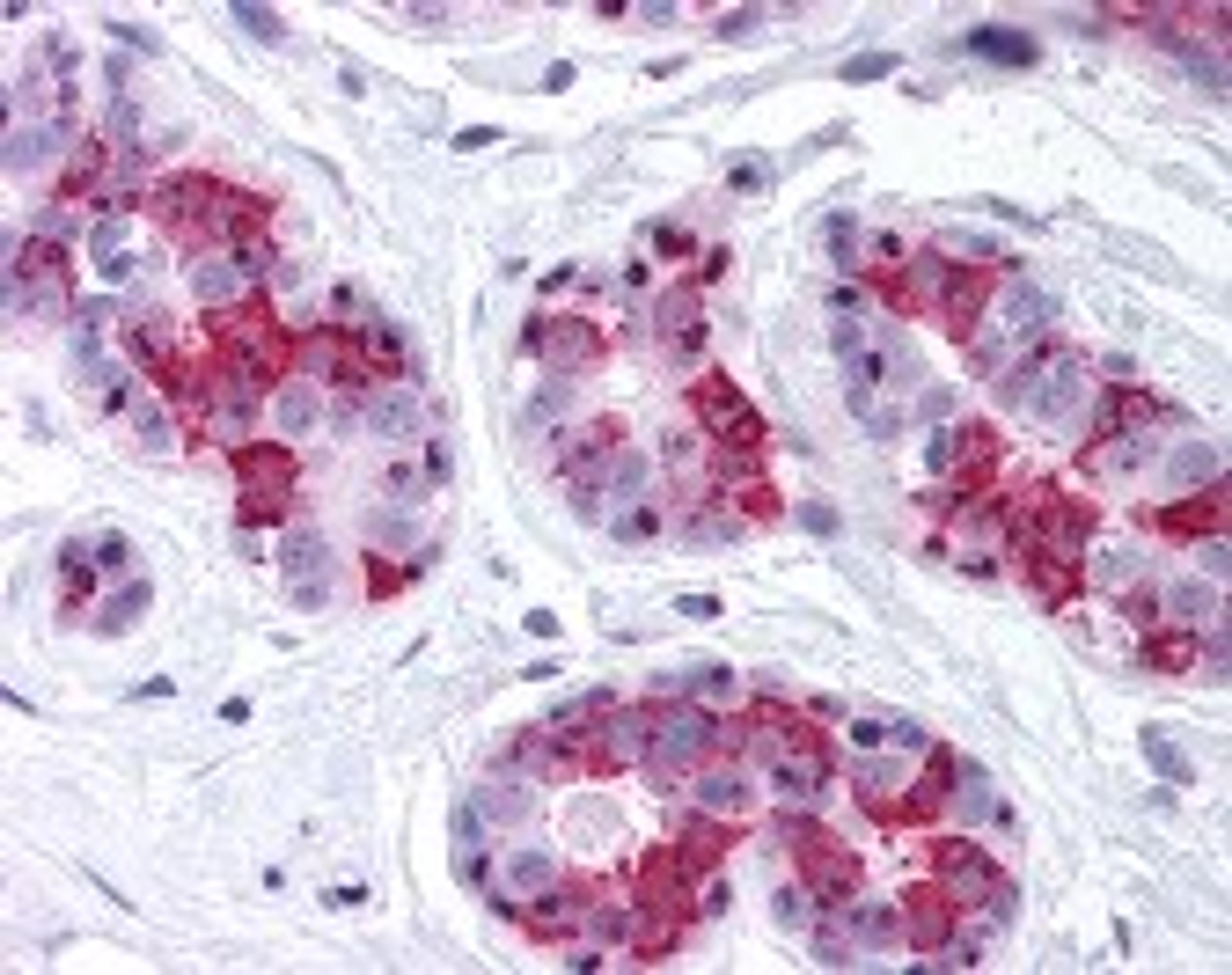
- Immunohistochemistry (IHC)
- Western Blotting (WB)


