Product & ReviewsAntibodies
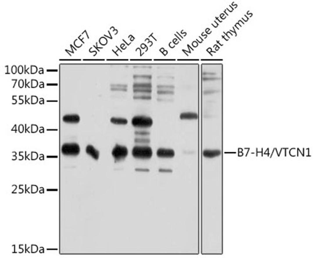
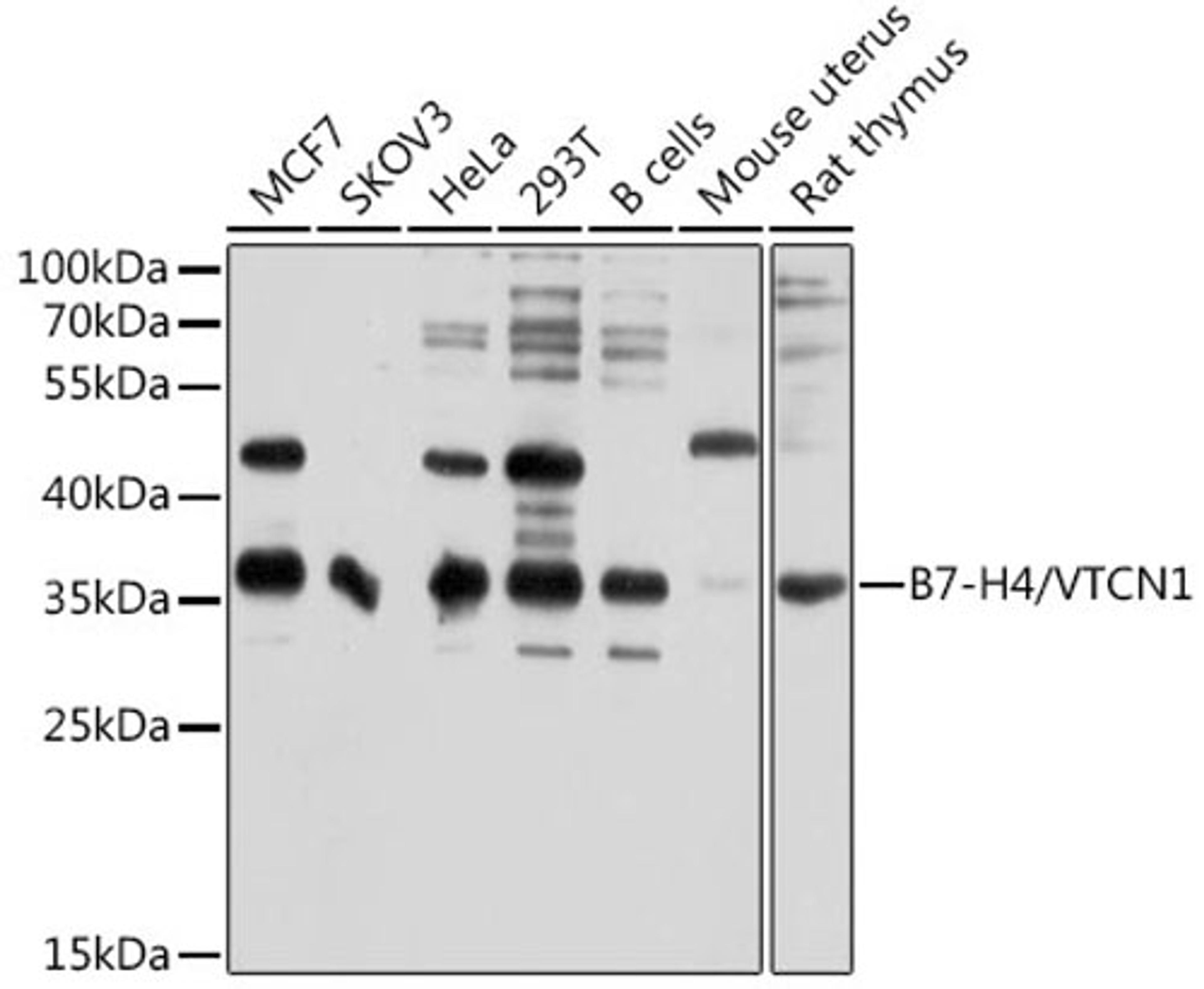
B7-H4/VTCN1 Rabbit pAb
Product Details
- Cat. No.
- A10412
- Type
- Primary Antibody
- Clonality
- Polyclonal
- Host
- Rabbit

The supplier does not provide quotations for this antibody through SelectScience. You can search for similar antibodies in our Antibody Directory.
Description
This gene encodes a protein belonging to the B7 costimulatory protein family. Proteins in this family are present on the surface of antigen-presenting cells and interact with ligand bound to receptors on the surface of T cells. Studies have shown that high levels of the encoded protein has been correlated with tumor progression. A pseudogene of this gene is located on chromosome 20. Multiple transcript variants encoding different isoforms have been found for this gene.
Biological Information
- Clonality: Polyclonal
- Host: Rabbit
- Reactivity: Human, Mouse, Rat


