Product & ReviewsAntibodies
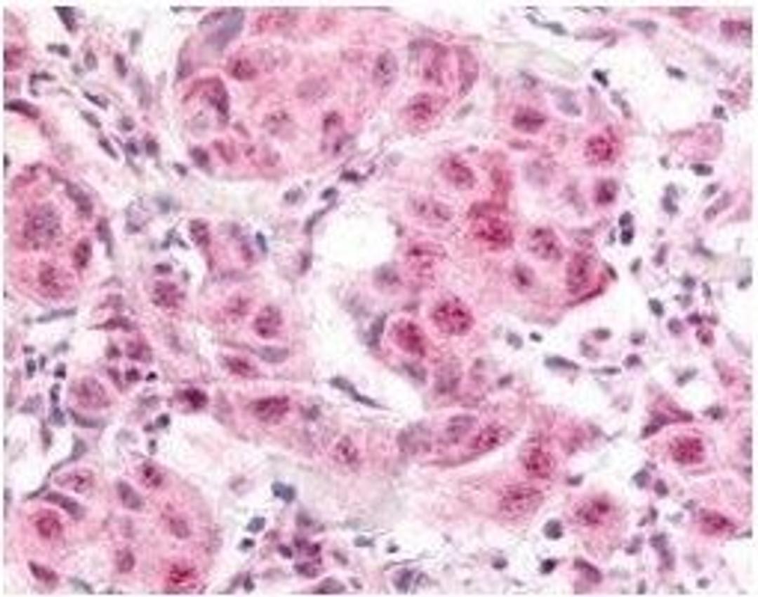
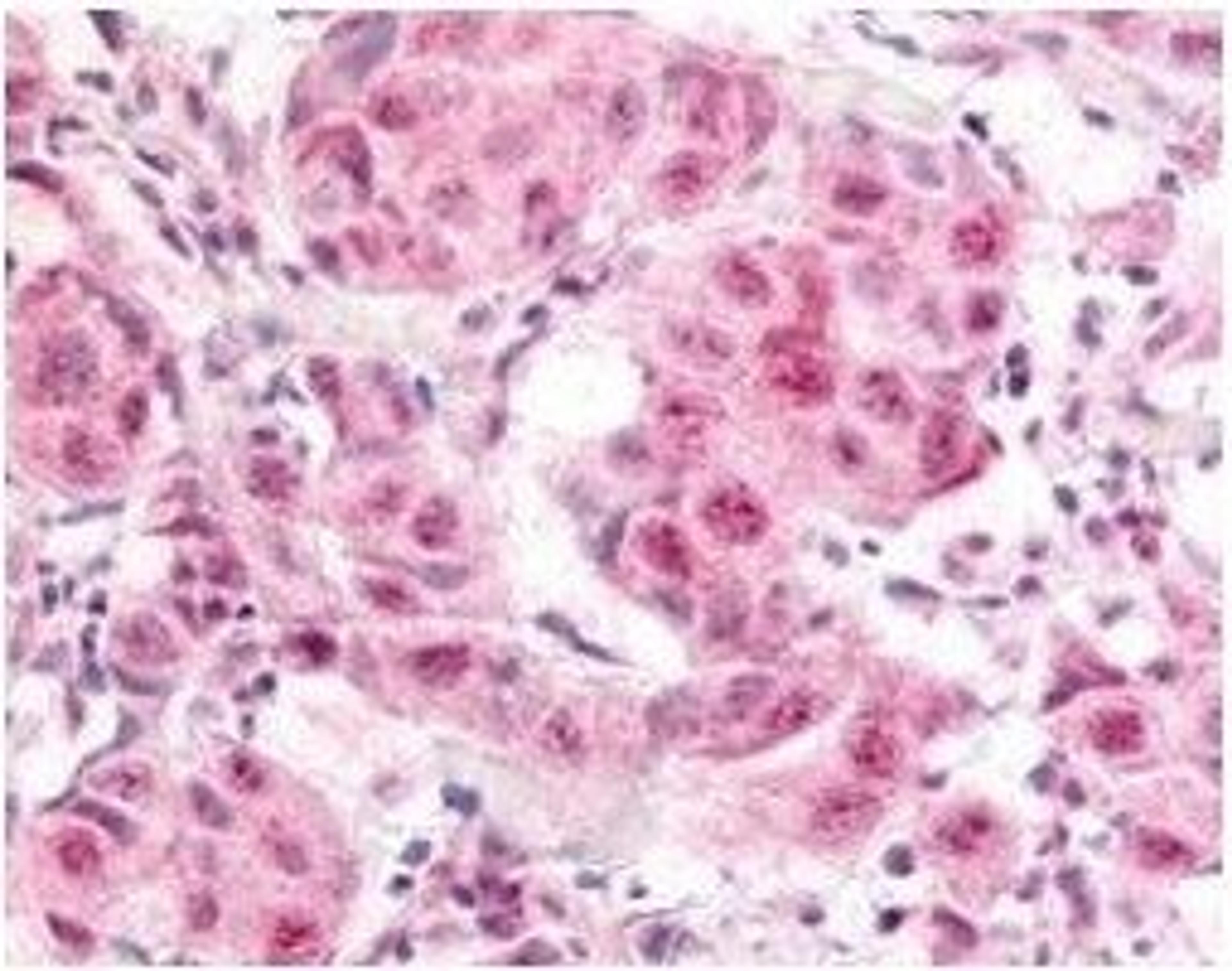
Aurora B (phospho-pT232) antibody
Product Details
- Cat. No.
- orb345466
- Type
- Primary Antibody
- Clonality
- Polyclonal
- Host
- Rabbit

The supplier does not provide quotations for this antibody through SelectScience. You can search for similar antibodies in our Antibody Directory.
Description
Rabbit polyclonal antibody to Aurora B (phospho-pT232)
Biological Information
- Clonality: Polyclonal
- Host: Rabbit
- Isotype: IgG
- Gene: 6872
Handling
- Quantity: 100 µg
- Storage: Store at 4°C for up to two weeks. For long term storage, aliquot and store at -20°C, avoid freeze/thaw cycles.
- Buffer: 0.02 M Potassium Phosphate, 0.15 M Sodium Chloride, pH 7.2
Applications
- ELISA (ELISA)
- Immunofluorescence (Paraffin-Embedded Sections) (IF (P))
- Western Blotting (WB)


