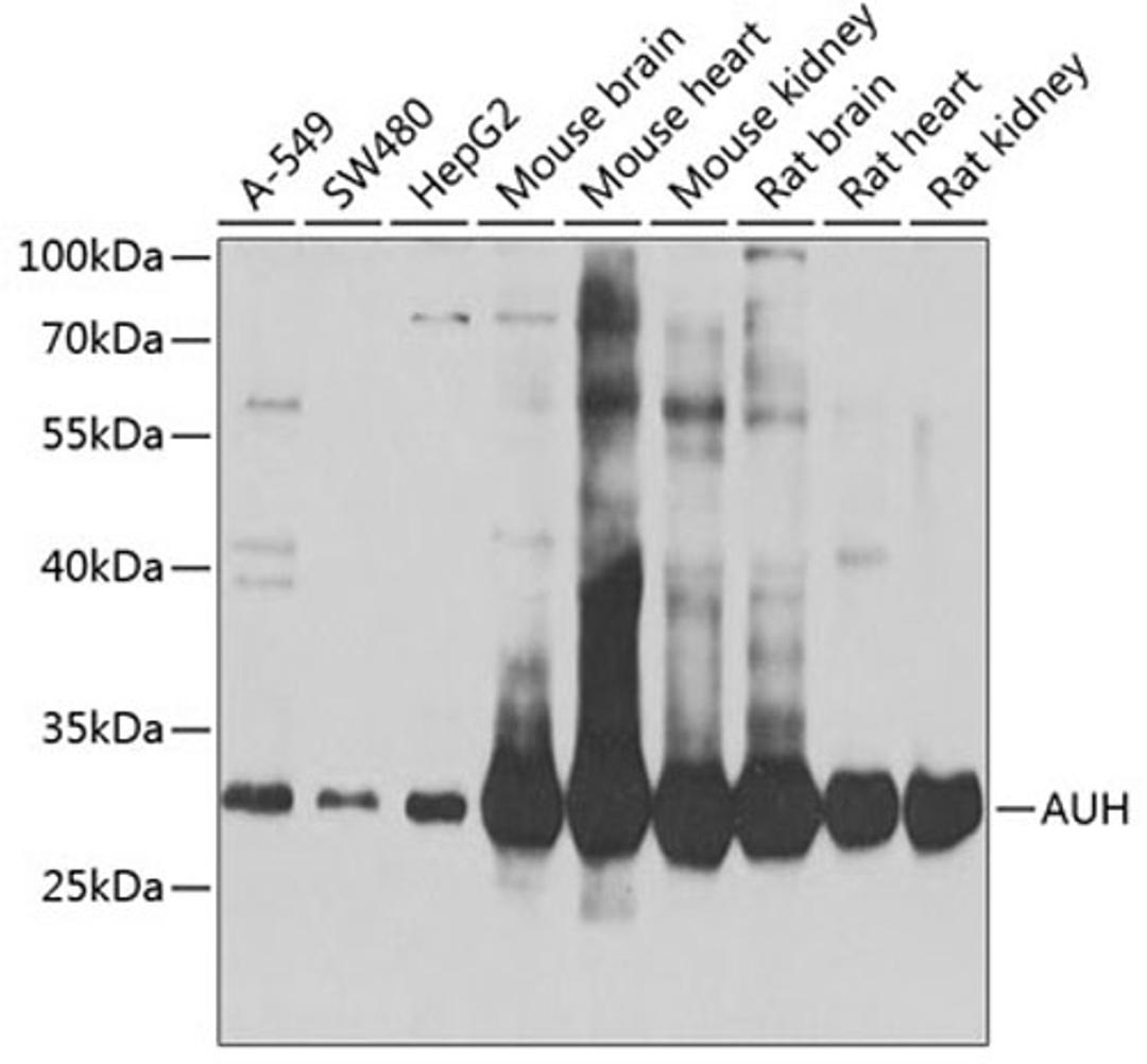
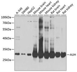
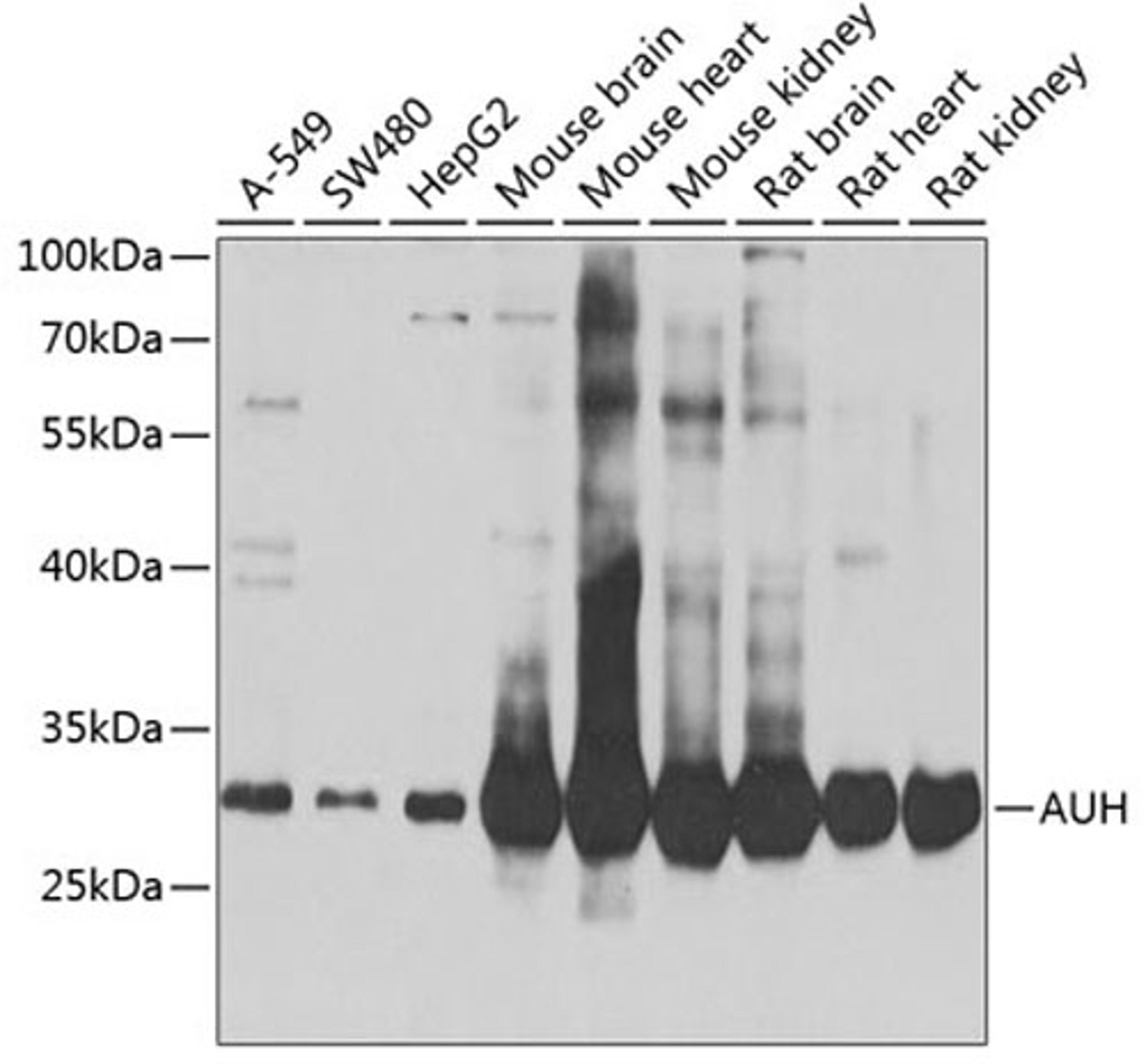
AUH Rabbit pAb
Product Details
- Cat. No.
- A7424
- Type
- Primary Antibody
- Clonality
- Polyclonal
- Host
- Rabbit

The supplier does not provide quotations for this antibody through SelectScience. You can search for similar antibodies in our Antibody Directory.
Description
This gene encodes bifunctional mitochondrial protein that has both RNA-binding and hydratase activities. The encoded protein is a methylglutaconyl-CoA hydratase that catalyzes the hydration of 3-methylglutaconyl-CoA to 3-hydroxy-3-methyl-glutaryl-CoA, a critical step in the leucine degradation pathway. This protein also binds AU-rich elements (AREs) found in the 3' UTRs of rapidly decaying mRNAs including c-fos, c-myc and granulocyte/ macrophage colony stimulating factor. ARE elements are involved in directing RNA to rapid degradation and deadenylation. This protein is localizes to the mitochondrial matrix and the inner mitochondrial membrane and may be involved in mitochondrial protein synthesis. Mutations in this gene are the cause of 3-methylglutaconic aciduria, type I. Alternative splicing results in multiple transcript variants.
Biological Information
- Clonality: Polyclonal
- Host: Rabbit
- Reactivity: Human, Mouse, Rat


