Product & ReviewsAntibodies
ATG4B Antibody
Product Details
- Cat. No.
- 48-951
- Type
- Primary Antibody
- Clonality
- Polyclonal
- Host
- Rat

The supplier does not provide quotations for this antibody through SelectScience. You can search for similar antibodies in our Antibody Directory.
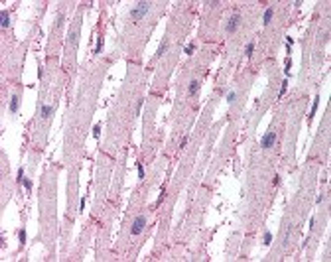
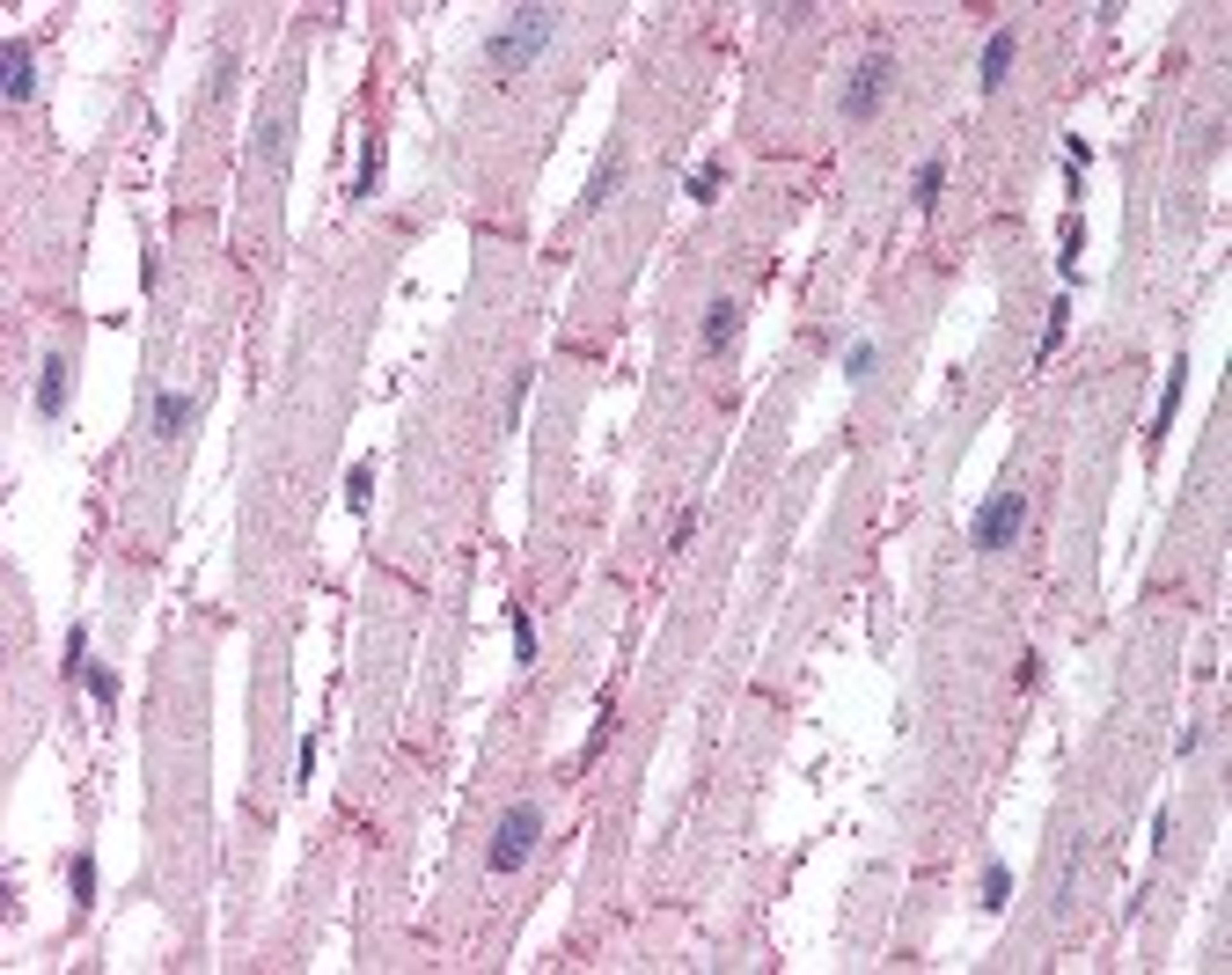
Description
ATG4B Antibody raised in Rabbit validated in WB, IHC in Chicken, Frog, Human, Mouse, Pufferfish, Rat, Zebrafish.
Biological Information
- Clonality: Polyclonal
- Host: Rat
- Conjugate: Unconjugated
Handling
- Quantity: 0.05 mg
- Storage: ATG4B antibody can be stored short term 4 ˚C. For long term storage aliquot and store at -20 ˚C. As with all antibodies avoid freeze/thaw cycles.
- Buffer: PBS, 0.2% gelatin, 0.05% sodium azide.


