Product & ReviewsAntibodies
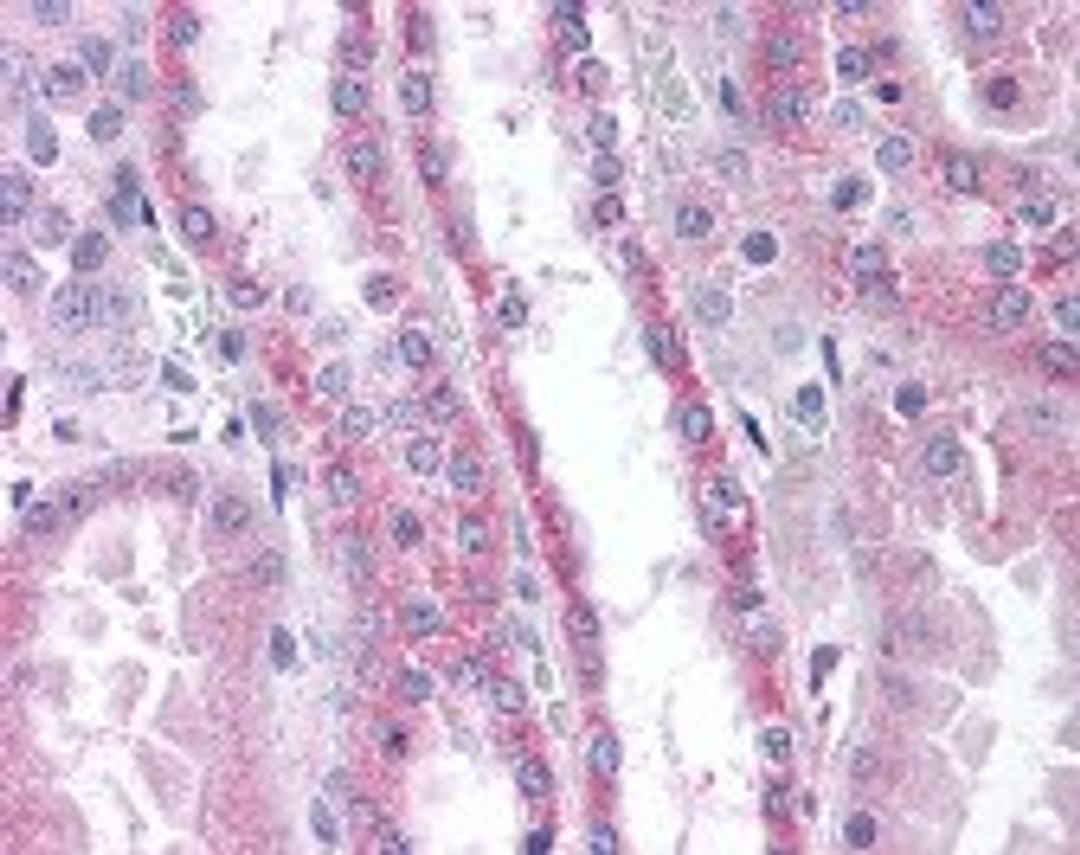
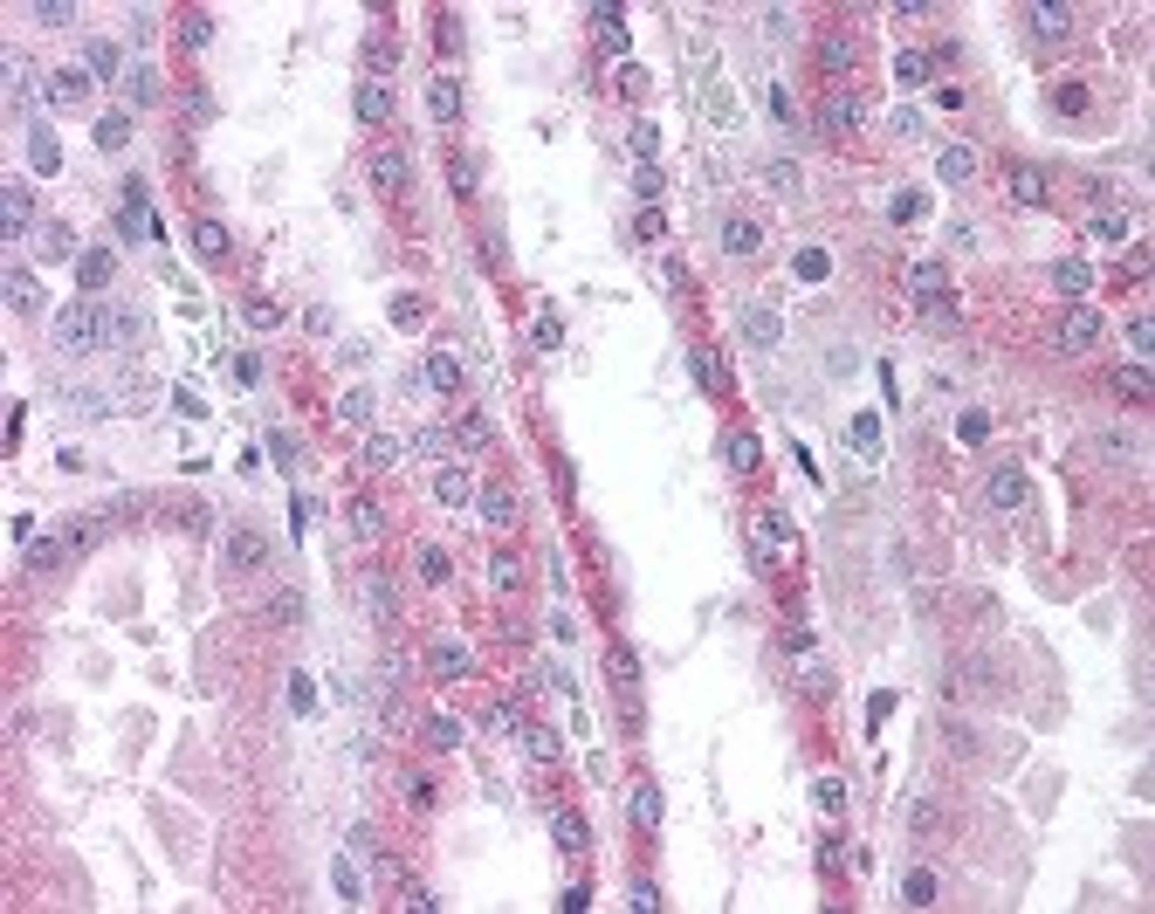
Apolipoprotein D Antibody
Product Details
- Cat. No.
- 49-770
- Type
- Primary Antibody
- Clonality
- Polyclonal
- Host
- Rat

The supplier does not provide quotations for this antibody through SelectScience. You can search for similar antibodies in our Antibody Directory.
Description
Apolipoprotein D Antibody raised in Rabbit validated in WB, IHC in Human, Mouse, Rat.
Biological Information
- Clonality: Polyclonal
- Host: Rat
- Conjugate: Unconjugated
Handling
- Quantity: 0.05 mg
- Storage: Apolipoprotein D antibody can be stored short term 4 ˚C. For long term storage aliquot and store at -20 ˚C. As with all antibodies avoid freeze/thaw cycles.
- Buffer: PBS, 0.01% sodium azide, 50% glycerol.


