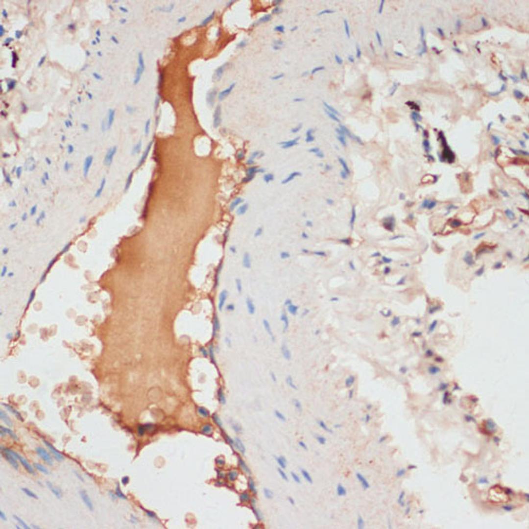
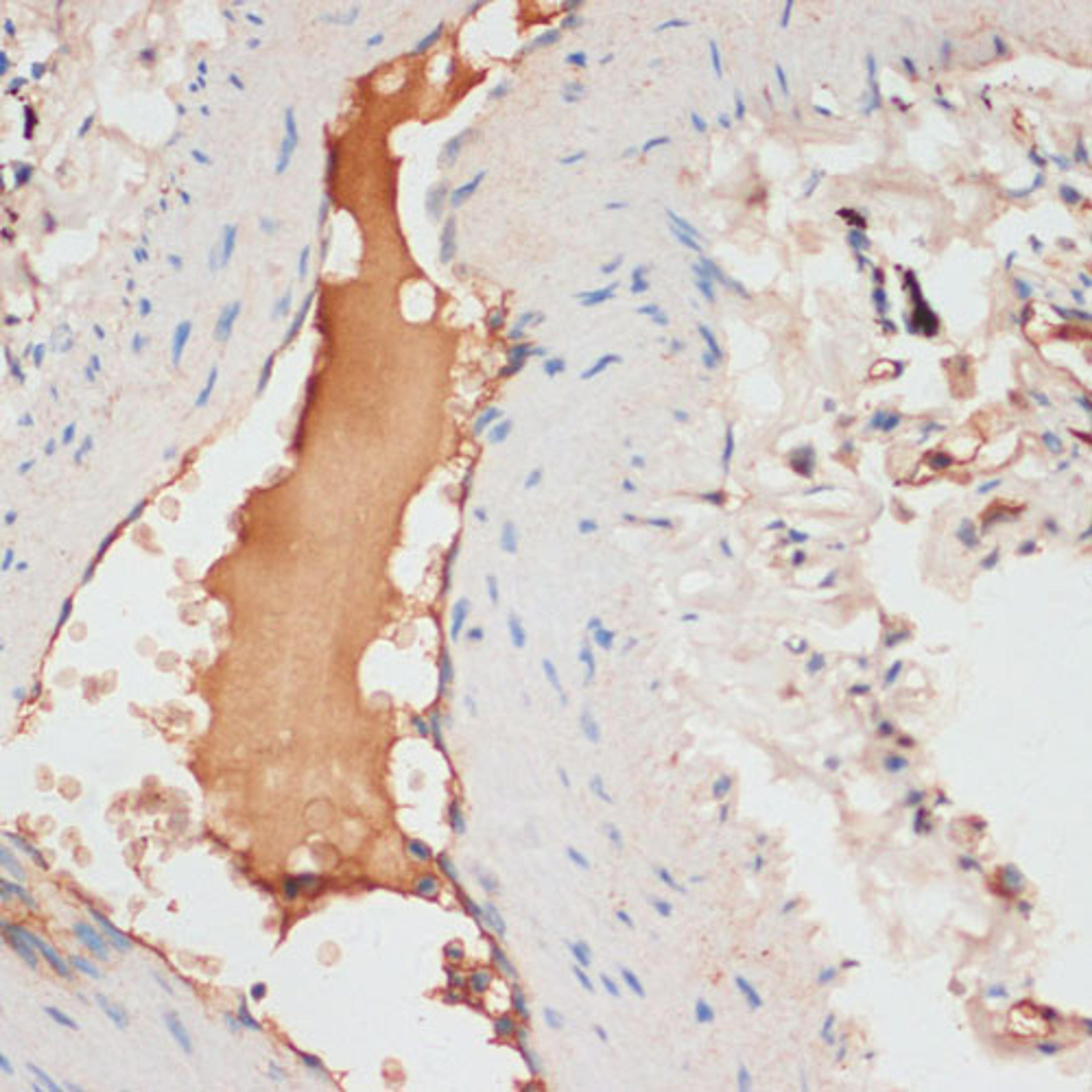
APOC1 Rabbit pAb
Product Details
- Cat. No.
- A5629
- Type
- Primary Antibody
- Clonality
- Polyclonal
- Host
- Rabbit

The supplier does not provide quotations for this antibody through SelectScience. You can search for similar antibodies in our Antibody Directory.
Description
This gene encodes a member of the apolipoprotein C1 family. This gene is expressed primarily in the liver, and it is activated when monocytes differentiate into macrophages. The encoded protein plays a central role in high density lipoprotein (HDL) and very low density lipoprotein (VLDL) metabolism. This protein has also been shown to inhibit cholesteryl ester transfer protein in plasma. A pseudogene of this gene is located 4 kb downstream in the same orientation, on the same chromosome. This gene is mapped to chromosome 19, where it resides within a apolipoprotein gene cluster. Alternative splicing and the use of alternative promoters results in multiple transcript variants.
Biological Information
- Clonality: Polyclonal
- Host: Rabbit
- Reactivity: Human, Rat


