Product & ReviewsAntibodies
APIP Antibody
Product Details
- Cat. No.
- 61-295
- Type
- Primary Antibody
- Clonality
- Polyclonal
- Host
- Rat

The supplier does not provide quotations for this antibody through SelectScience. You can search for similar antibodies in our Antibody Directory.
Description
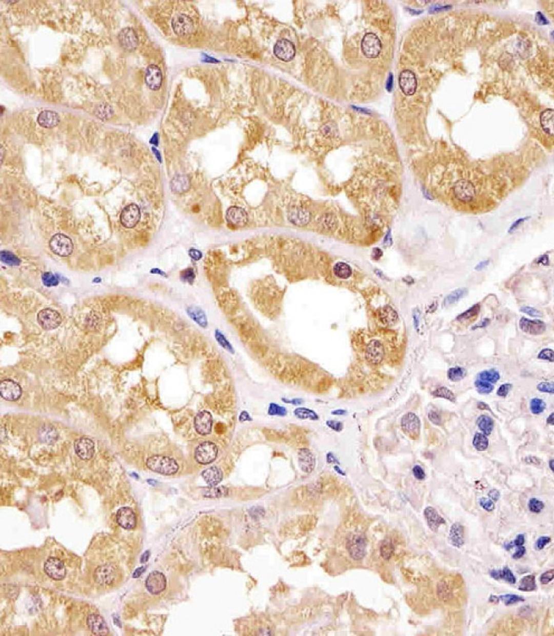
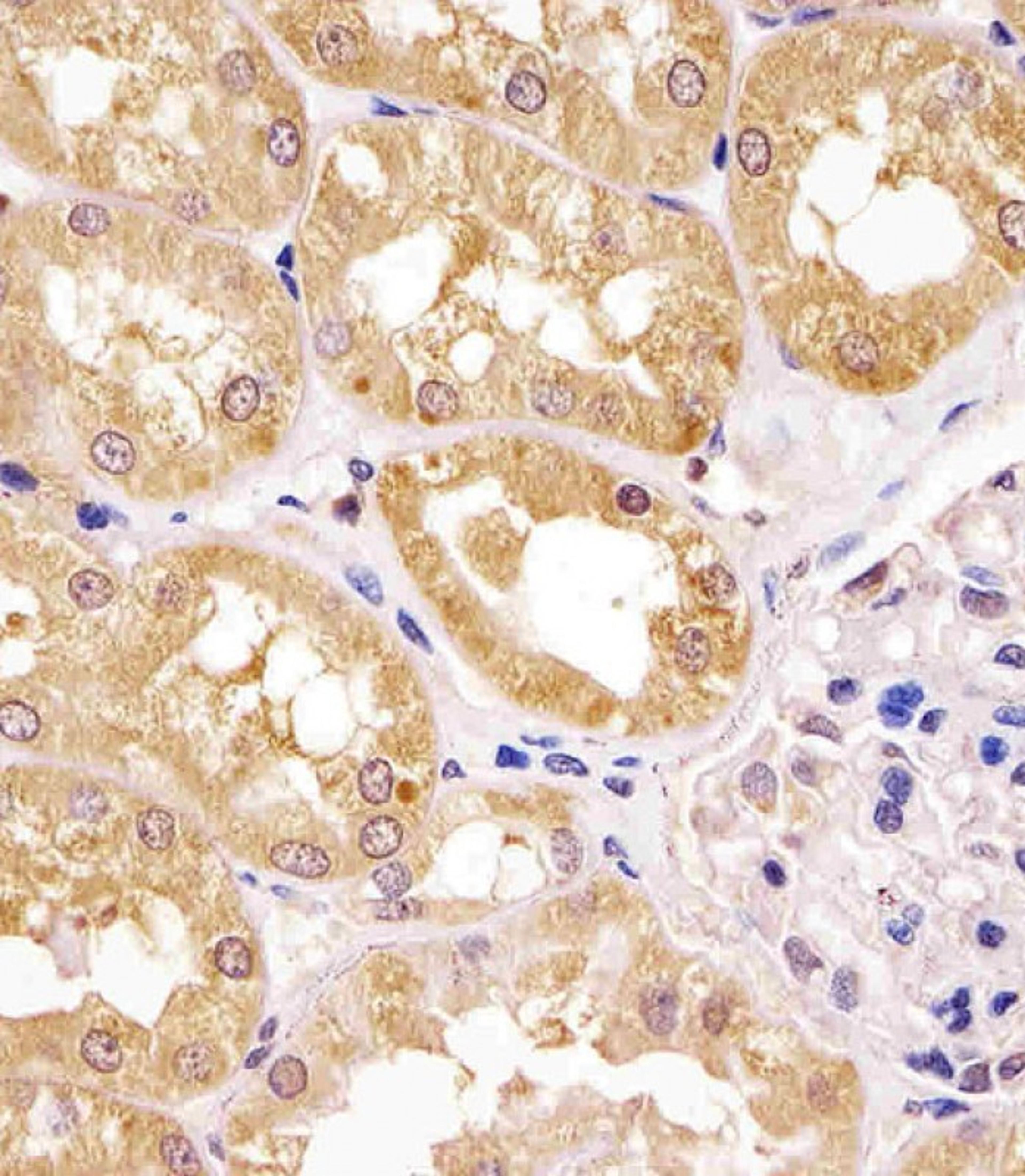
APIP Antibody raised in Rabbit validated in WB, IHC-P in Human.
Biological Information
- Clonality: Polyclonal
- Host: Rat
- Conjugate: Unconjugated
Handling
- Quantity: 200 ul
- Storage: Store at 4˚C for three months and -20˚C, stable for up to one year. As with all antibodies care should be taken to avoid repeated freeze thaw cycles. Antibodies should not be exposed to prolonged high temperatures.
- Buffer: Supplied in PBS with 0.09% (W/V) sodium azide.


