Product & ReviewsAntibodies
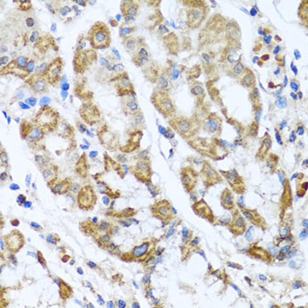
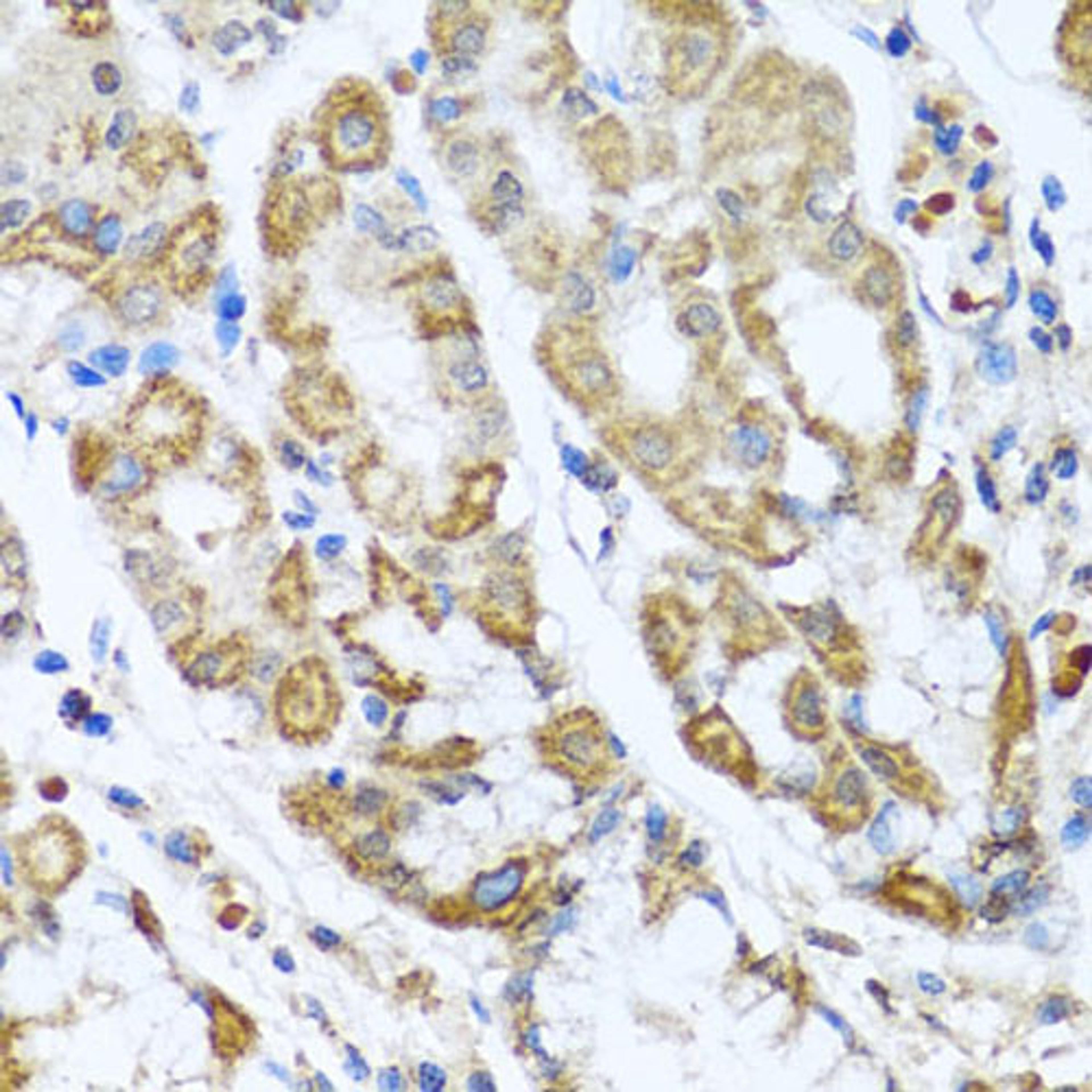
ANTXR2 Rabbit pAb
Product Details
- Cat. No.
- A6526
- Type
- Primary Antibody
- Clonality
- Polyclonal
- Host
- Rabbit

The supplier does not provide quotations for this antibody through SelectScience. You can search for similar antibodies in our Antibody Directory.
Description
This gene encodes a receptor for anthrax toxin. The protein binds to collagen IV and laminin, suggesting that it may be involved in extracellular matrix adhesion. Mutations in this gene cause juvenile hyaline fibromatosis and infantile systemic hyalinosis. Multiple transcript variants encoding different isoforms have been found for this gene.
Biological Information
- Clonality: Polyclonal
- Host: Rabbit
- Reactivity: Human, Mouse, Rat


