Product & ReviewsAntibodies
Anti-UBE2D1/2/3/4 Antibody Picoband™
Product Details
- Cat. No.
 - A04728-1
 - Type
 - Primary Antibody
 - Clonality
 - Polyclonal
 - Host
 - Rabbit
 

The supplier does not provide quotations for this antibody through SelectScience. You can search for similar antibodies in our Antibody Directory.
Description
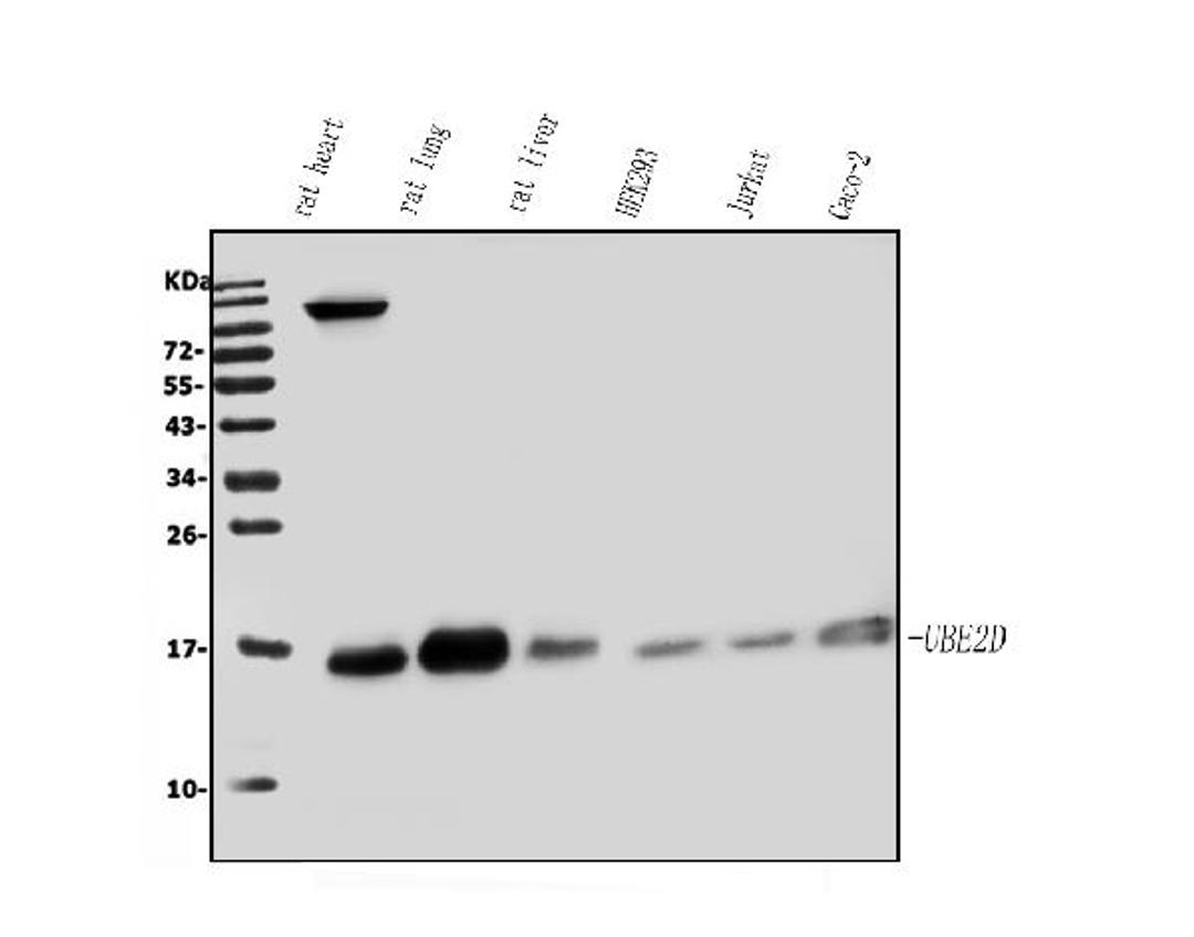
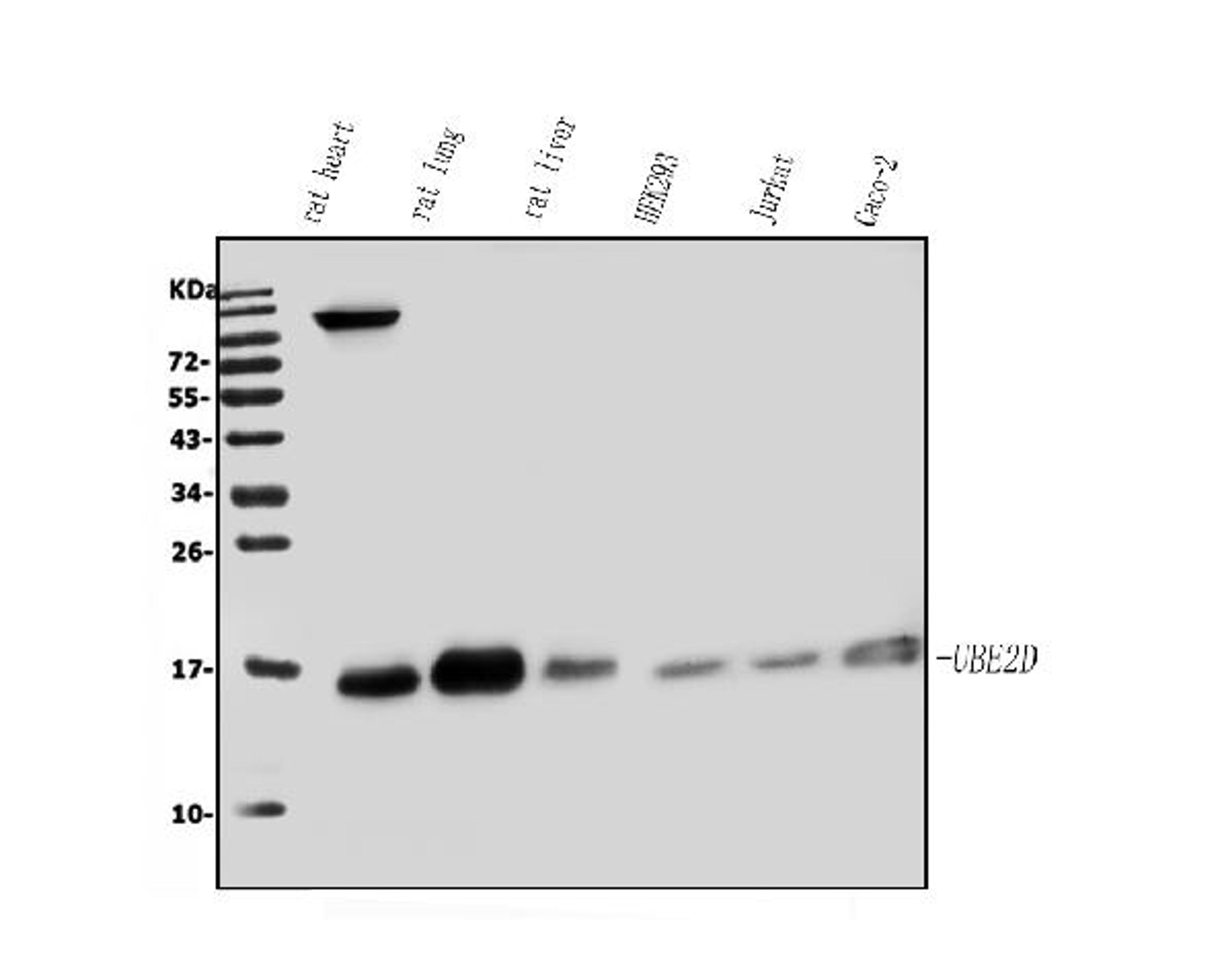
Boster Bio Anti-UBE2D1/2/3/4 Antibody Picoband™ catalog # A04728-1. Tested in ELISA, Flow Cytometry, IF, IHC, ICC, WB applications. This antibody reacts with Human, Mouse, Rat.
Biological Information
- Clonality: Polyclonal
 - Host: Rabbit
 
Handling
- Storage: Store at -20˚C for one year from date of receipt. After reconstitution, at 4˚C for one month. It can also be aliquotted and stored frozen at -20˚C for six months. Avoid repeated freeze-thaw cycles.
 


