Product & ReviewsAntibodies
Anti-Tubulin alpha Picoband™ Antibody (monoclonal, 7B12)
Product Details
- Cat. No.
 - M03989-3
 - Type
 - Primary Antibody
 - Clonality
 - Monoclonal
 - Host
 - Mouse
 

The supplier does not provide quotations for this antibody through SelectScience. You can search for similar antibodies in our Antibody Directory.
Description
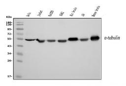
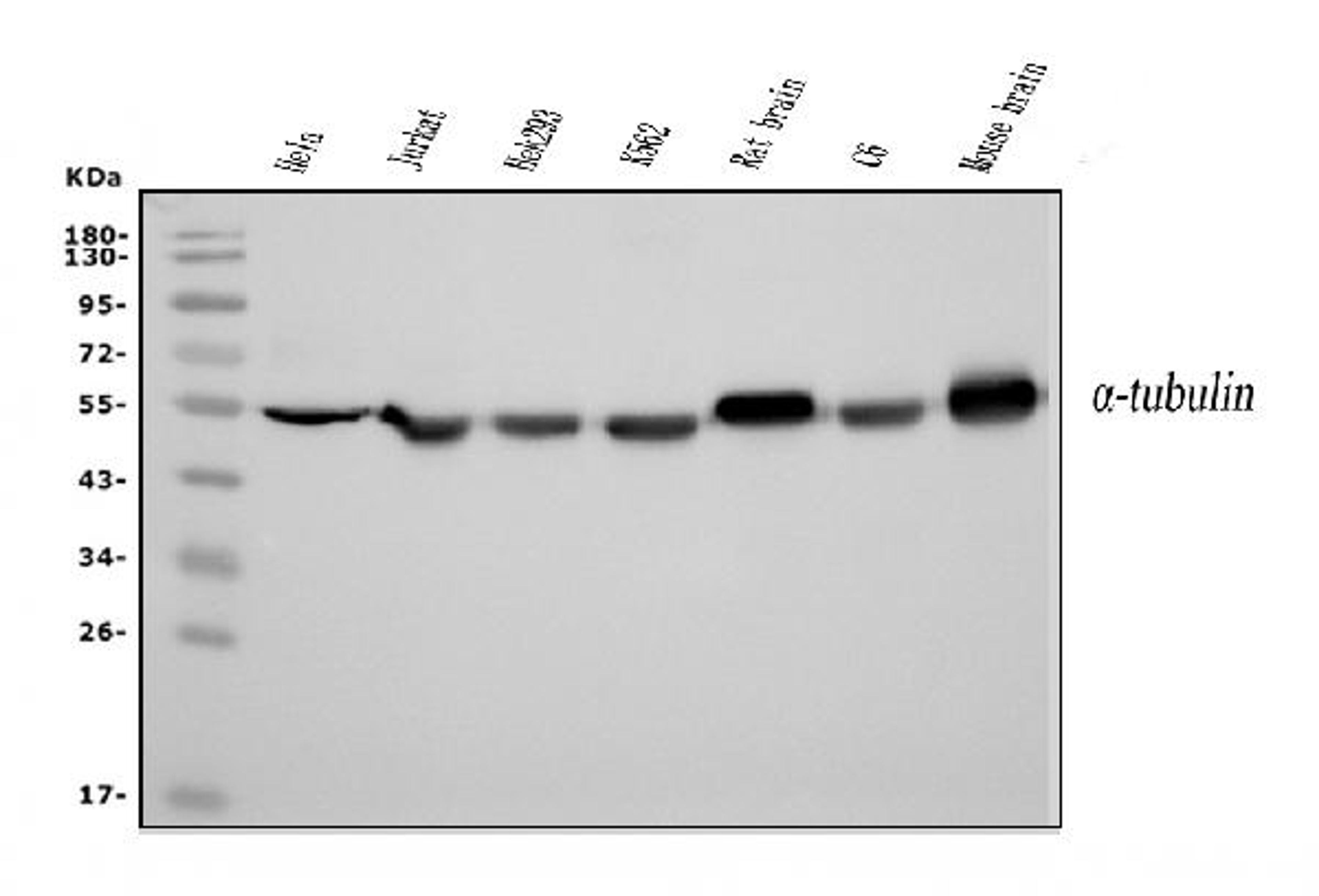
Boster Bio Anti-Tubulin alpha Picoband™ Antibody (monoclonal, 7B12) catalog # M03989-3. Tested in Flow Cytometry, IF, IHC, ICC, WB applications. This antibody reacts with Human, Mouse, Rat.
Biological Information
- Clonality: Monoclonal
 - Host: Mouse
 
Handling
- Storage: Store at -20˚C for one year from date of receipt. After reconstitution, at 4˚C for one month. It can also be aliquotted and stored frozen at -20˚C for six months. Avoid repeated freeze-thaw cycles.
 


