Product & ReviewsAntibodies
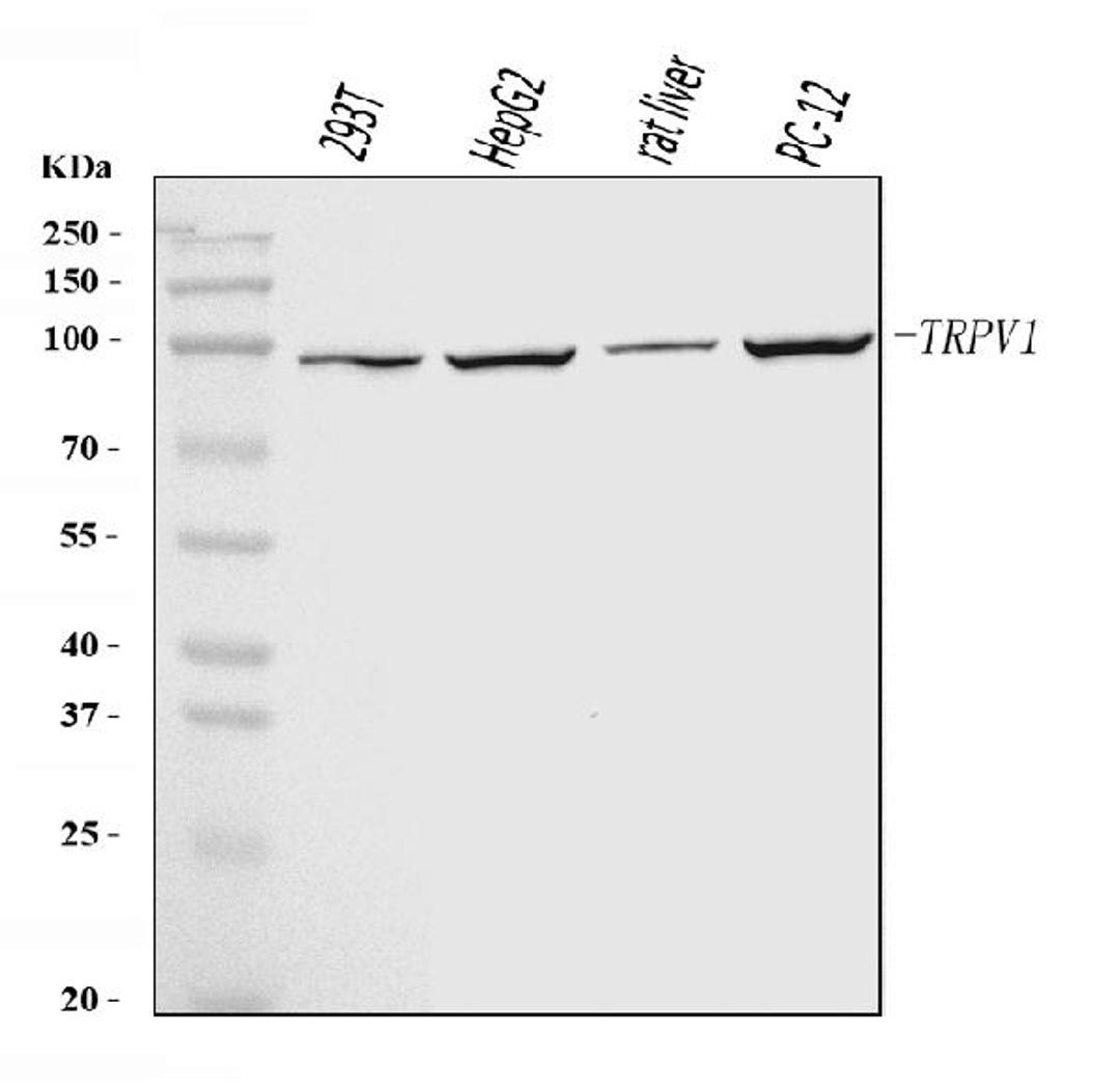
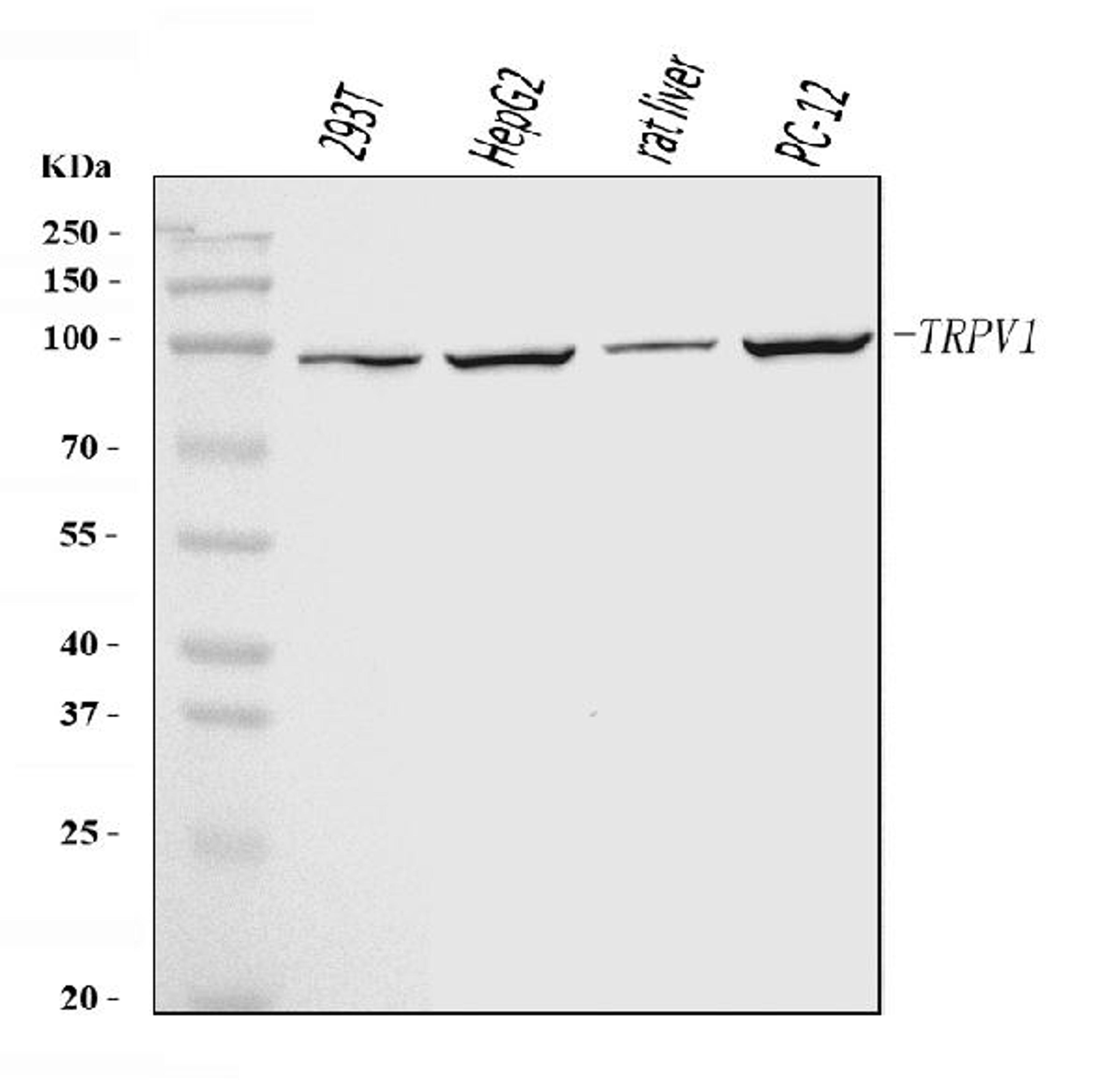
Anti-TRPV1 Antibody Picoband™
Product Details
- Cat. No.
 - A00128-4
 - Type
 - Primary Antibody
 - Clonality
 - Polyclonal
 - Host
 - Rabbit
 

The supplier does not provide quotations for this antibody through SelectScience. You can search for similar antibodies in our Antibody Directory.
Description
Boster Bio Anti-TRPV1 Antibody Picoband™ catalog # A00128-4. Tested in ELISA, Flow Cytometry, IF, ICC, WB applications. This antibody reacts with Human, Rat.
Biological Information
- Clonality: Polyclonal
 - Host: Rabbit
 
Handling
- Storage: At -20°C for one year from date of receipt. After reconstitution, at 4°C for one month. It can also be aliquotted and stored frozen at -20°C for six months. Avoid repeated freezing and thawing.
 


