Product & ReviewsAntibodies
Anti-PRDM2 Antibody Picoband™
Product Details
- Cat. No.
- A03223-2
- Type
- Primary Antibody
- Clonality
- Polyclonal
- Host
- Rabbit

The supplier does not provide quotations for this antibody through SelectScience. You can search for similar antibodies in our Antibody Directory.
Description
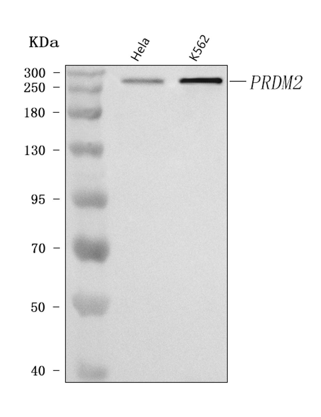
Boster Bio Anti-PRDM2 Antibody Picoband™ catalog # A03223-2. Tested in ELISA, IF, IHC, ICC, WB, Flow Cytometry (Intracellular) applications. This antibody reacts with Human, Mouse, Rat.
Biological Information
- Clonality: Polyclonal
- Host: Rabbit
Handling
- Storage: At -20°C for one year from date of receipt. After reconstitution, at 4°C for one month. It can also be aliquotted and stored frozen at -20°C for six months. Avoid repeated freezing and thawing.


