Product & ReviewsAntibodies
Anti-PCK Antibody (Monoclonal, C-11+PCK-26+CY-90+KS-1A3+M20+A53-B/A2)
Product Details
- Cat. No.
- MA1081
- Type
- Primary Antibody
- Clonality
- Monoclonal
- Host
- Mouse

The supplier does not provide quotations for this antibody through SelectScience. You can search for similar antibodies in our Antibody Directory.
Description
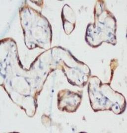
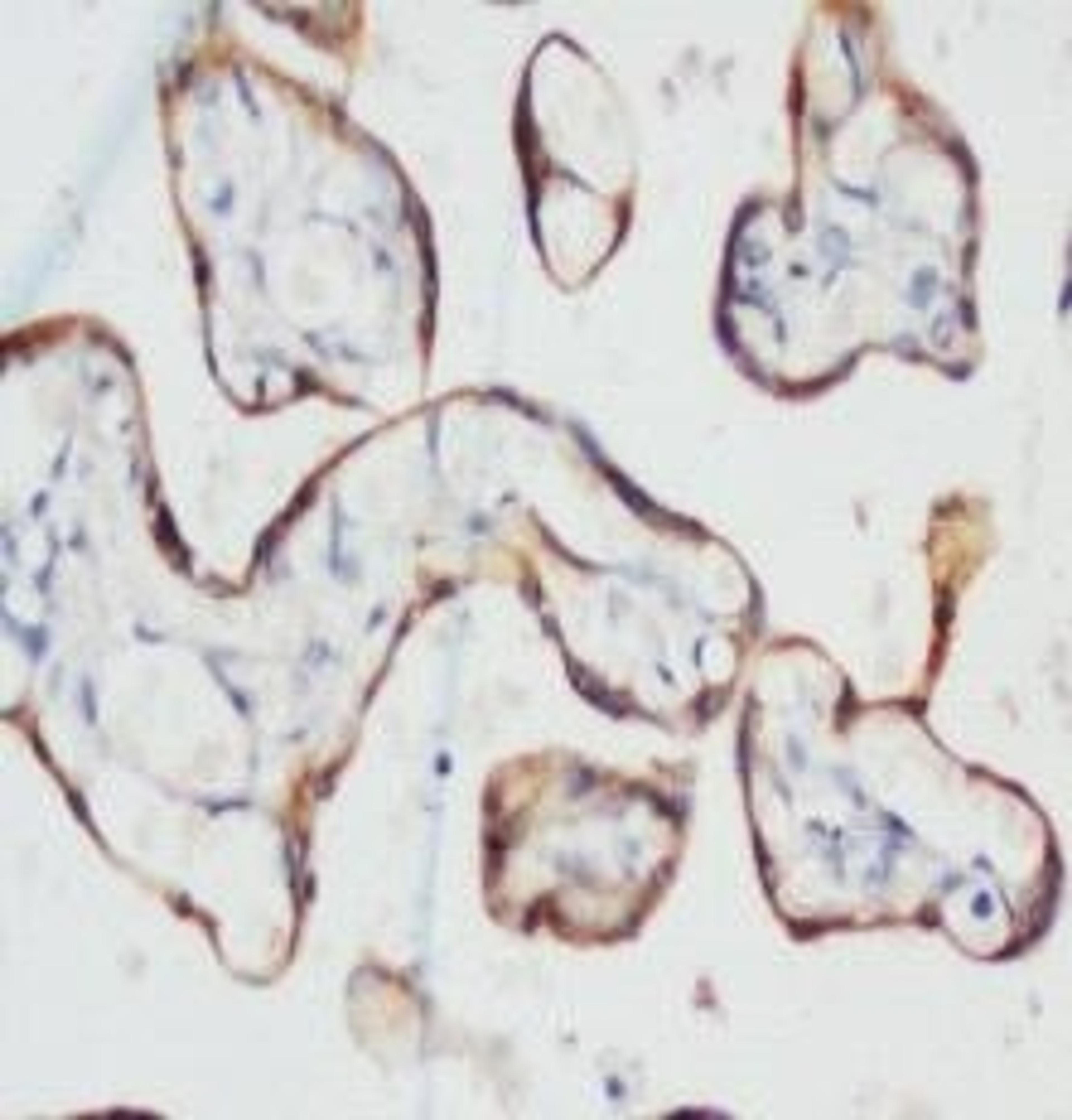
Boster Bio Anti-PCK Antibody (Monoclonal, C-11+PCK-26+CY-90+KS-1A3+M20+A53-B/A2) catalog # MA1081. Tested in IHC, WB applications. This antibody reacts with Human, Rat.
Biological Information
- Clonality: Monoclonal
- Host: Mouse
Handling
- Storage: Store at -20˚C for one year from date of receipt. After reconstitution, at 4˚C for one month. It can also be aliquotted and stored frozen at -20˚C for six months. Avoid repeated freeze-thaw cycles.


