Product & ReviewsAntibodies
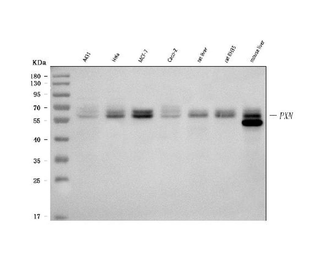
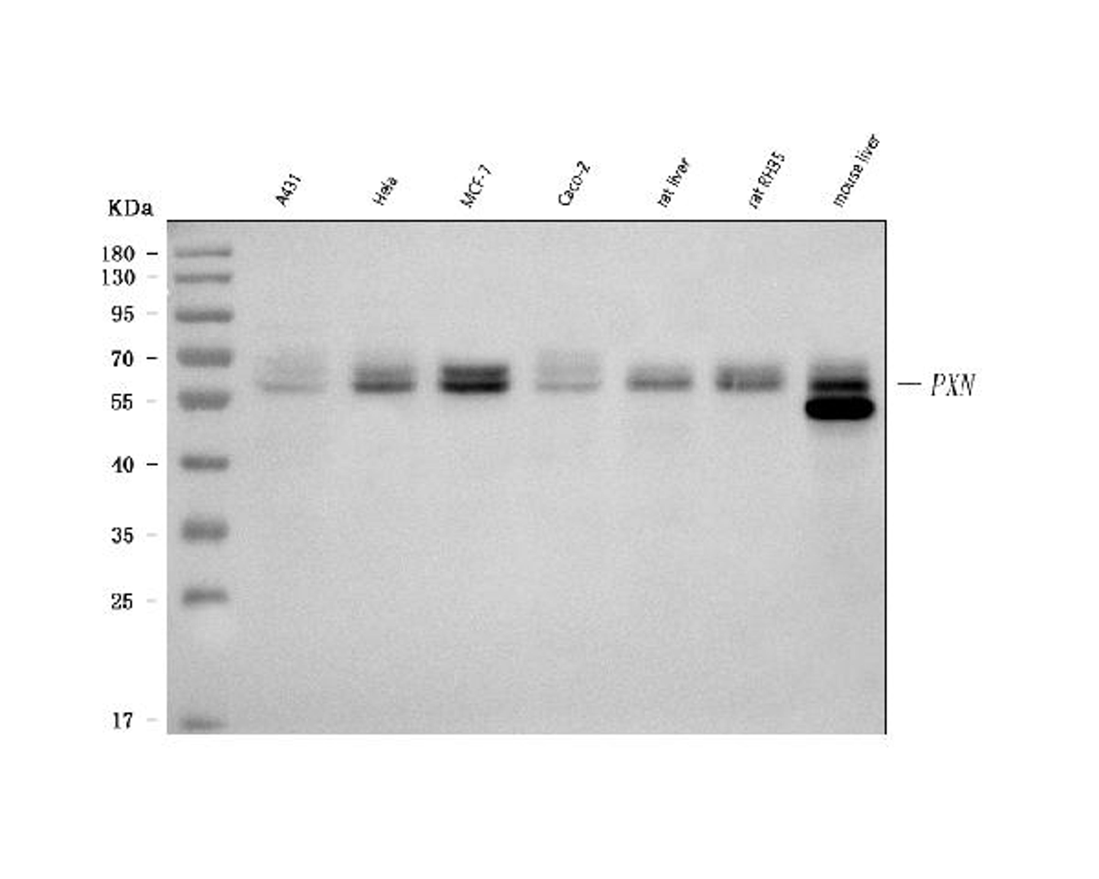
Anti-Paxillin Pxn Antibody (Monoclonal, PXC-10)
Product Details
- Cat. No.
- MA1080
- Type
- Primary Antibody
- Clonality
- Monoclonal
- Host
- Mouse

The supplier does not provide quotations for this antibody through SelectScience. You can search for similar antibodies in our Antibody Directory.


