Product & ReviewsAntibodies
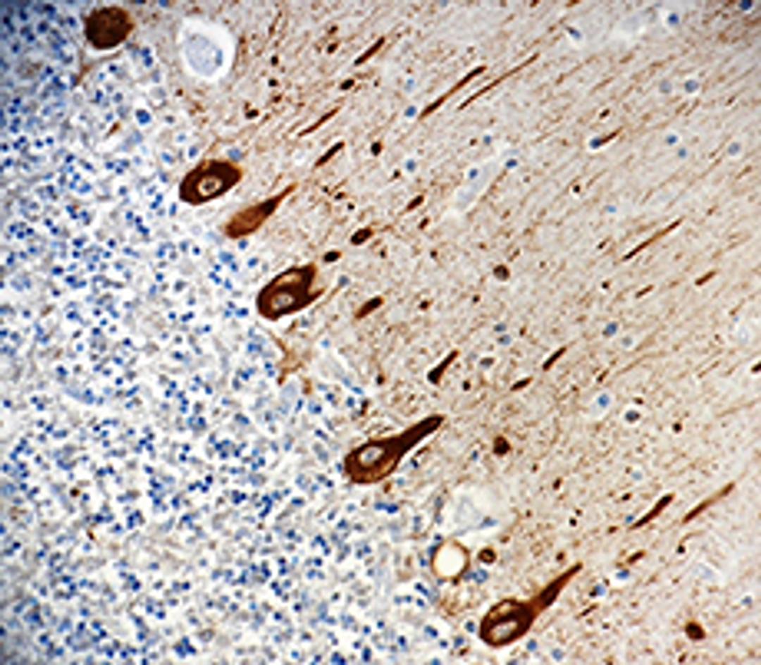
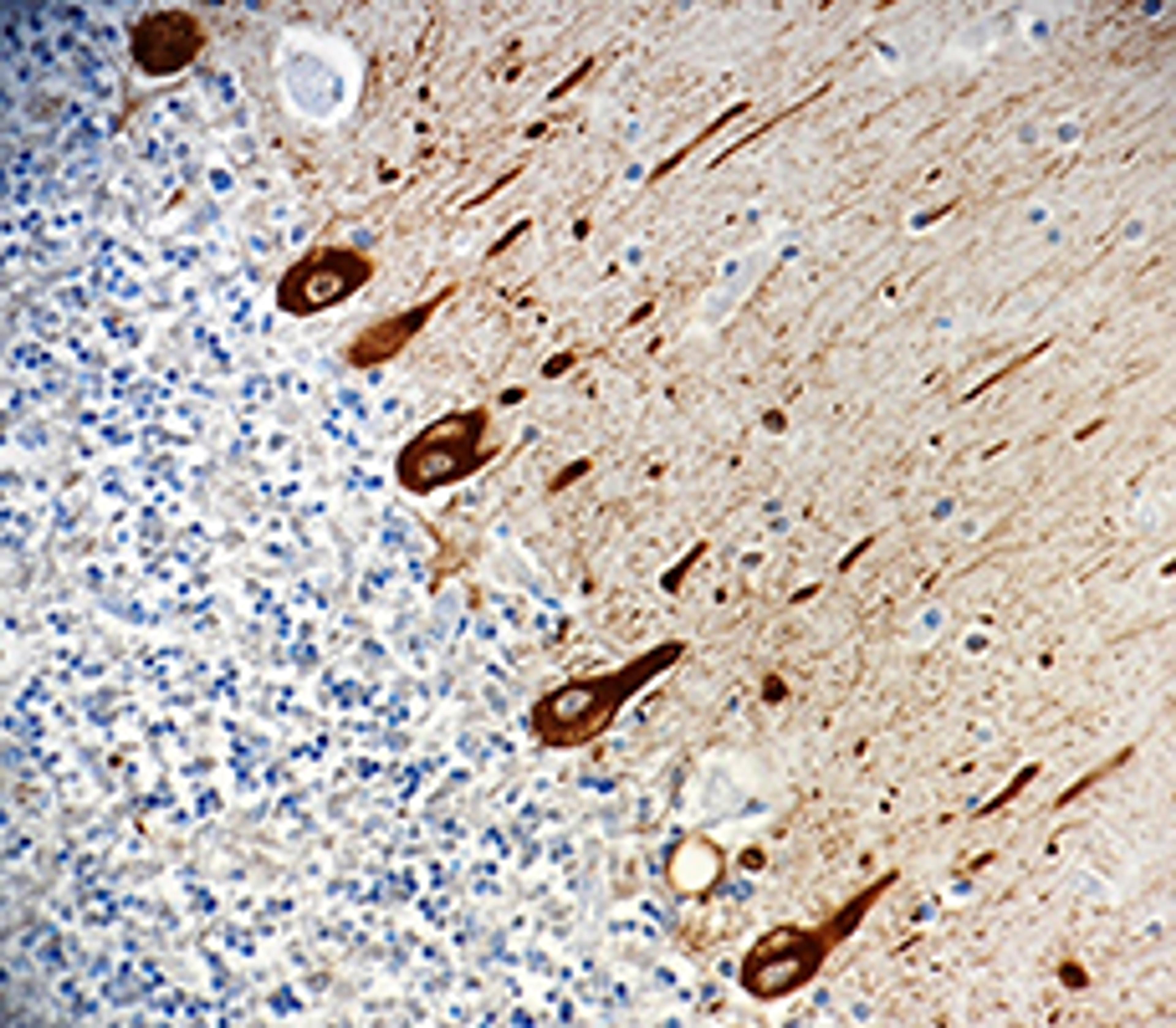
Anti-Neurofilament H & M (NF-H/NF-M), Non-Phosphorylated
Product Details
- Cat. No.
- 835401
- Type
- Primary Antibody
- Clonality
- Monoclonal
- Host
- Mouse

The supplier does not provide quotations for this antibody through SelectScience. You can search for similar antibodies in our Antibody Directory.
Description
Anti-Neurofilament H & M (NF-H/NF-M), Non-Phosphorylated; Clone: SMI 33; Reactivity: Mammalian, Xenopus; Apps: IHC, WB, ICC, ELISA; Size: 100 μl
Biological Information
- Clonality: Monoclonal
- Host: Mouse
- Reactivity: Mammalian, Xenopus laevis
- Clone: SMI 33
- Conjugate: Ascites
- Isotype: Mouse IgM
- Gene: 4744
Handling
- Quantity: 100 microl
- Storage: -20°C
Applications
- ELISA (ELISA)
- Immunocytochemistry (ICC)
- Immunohistochemistry (IHC)
- Western Blotting (WB)


